Ana Stela Fonseca Improving Quality of Life in Children with Cerebral Palsy Through Animal Assisted Therapy With Ponies
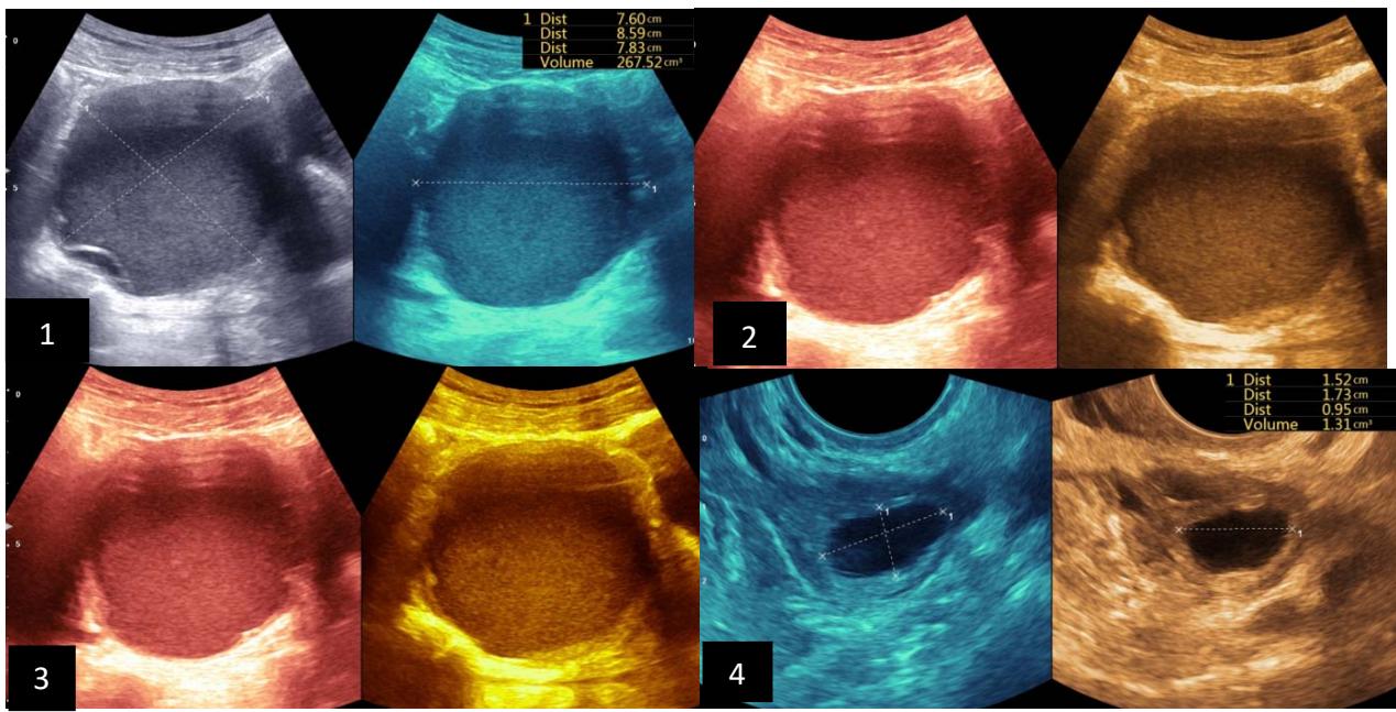
Tshibasu Tshienda et al. Percutaneous Radio-Guided Chemical Ablation with Absolute Ethanol of Cystic and Solid Lesions in Kinshasa Hospital Environments
Tshibasu Tshienda et al. Assessment of Interventional Radiology Practice and Knowledge in the Democratic Republic of Congo
Taiwo O. Ogunwale et al. Assessment of Levels of Immunization and Factors Associated with the Non-completion Routine Immunization within (9-12 Months) Attending Primary Healthcare Centres in Ibadan North and South East, Nigeria
Dr. Rajat Gupta et al. Impact of Reducing Intermammary Cleavage Gap on Breast Shape and Aesthetics in Hybrid Breast Augmentation: A Case Series
Tshibasu Tshienda et al. Safety and Diagnostic Accuracy of Biopsy of Targeted Splenic Lesions Under Ultrasound Guidance Using the Multiple-Pass Technique Without Co-Axial in Kinshasa Hospitals