A Case Report of Management of Intestinal Obstruction in a Patient with Situs Inversus Abdominalis

Mounir Bouali
Mounir Bouali
Kabira Falousse
Kabira Falousse
Anas EL-Wassi
Anas EL-Wassi
Abdelilah El-Bakouri
Abdelilah El-Bakouri
Khalid El-Hattabi
Khalid El-Hattabi
Fatima Zahra Bensardi
Fatima Zahra Bensardi
Abdelaziz Fadil
Abdelaziz Fadil

Send Message

To: Author

A Case Report of Management of Intestinal Obstruction in a Patient with Situs Inversus Abdominalis

Article Fingerprint

ReserarchID

859WW

A Case Report of Management of Intestinal Obstruction in a Patient with Situs Inversus Abdominalis Banner

AI TAKEAWAY

Connecting with the Eternal Ground
  • English
  • Afrikaans
  • Albanian
  • Amharic
  • Arabic
  • Armenian
  • Azerbaijani
  • Basque
  • Belarusian
  • Bengali
  • Bosnian
  • Bulgarian
  • Catalan
  • Cebuano
  • Chichewa
  • Chinese (Simplified)
  • Chinese (Traditional)
  • Corsican
  • Croatian
  • Czech
  • Danish
  • Dutch
  • Esperanto
  • Estonian
  • Filipino
  • Finnish
  • French
  • Frisian
  • Galician
  • Georgian
  • German
  • Greek
  • Gujarati
  • Haitian Creole
  • Hausa
  • Hawaiian
  • Hebrew
  • Hindi
  • Hmong
  • Hungarian
  • Icelandic
  • Igbo
  • Indonesian
  • Irish
  • Italian
  • Japanese
  • Javanese
  • Kannada
  • Kazakh
  • Khmer
  • Korean
  • Kurdish (Kurmanji)
  • Kyrgyz
  • Lao
  • Latin
  • Latvian
  • Lithuanian
  • Luxembourgish
  • Macedonian
  • Malagasy
  • Malay
  • Malayalam
  • Maltese
  • Maori
  • Marathi
  • Mongolian
  • Myanmar (Burmese)
  • Nepali
  • Norwegian
  • Pashto
  • Persian
  • Polish
  • Portuguese
  • Punjabi
  • Romanian
  • Russian
  • Samoan
  • Scots Gaelic
  • Serbian
  • Sesotho
  • Shona
  • Sindhi
  • Sinhala
  • Slovak
  • Slovenian
  • Somali
  • Spanish
  • Sundanese
  • Swahili
  • Swedish
  • Tajik
  • Tamil
  • Telugu
  • Thai
  • Turkish
  • Ukrainian
  • Urdu
  • Uzbek
  • Vietnamese
  • Welsh
  • Xhosa
  • Yiddish
  • Yoruba
  • Zulu
Font Type
Font Size
Font Size
Bedground

Abstract

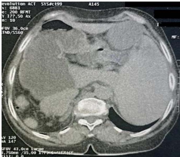
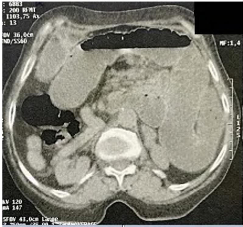
Situs inversus totalis is a rare congenital malformation that results in mirror positioning of the thoracic and abdominal organs. Situs inversus abdominalis is a right-left inversion limited to the abdomen; The association of situs inversus with intestinal band occlusion is infrequent; We report a case of acute intestinal obstruction associated with situs inversus abdominalis, the diagnosis was confirmed by abdominopelvic CT scan, and the treatment consisted of a gallbladder resection with anastomosis, with good postoperative results.

Generating HTML Viewer...

References

13 Cites in Article
  1. Laparoscopic Roux-en-Y gastric bypass in a patient with situs inversus totalis: Case report, technical tips and review of the literature -PubMed.
  2. Danika Jurat,Adrian Teo (2020). Small bowel obstruction with situs inversus abdominalis.
  3. Ademolaolusegun Talabi,Oludayoadedapo Sowande,Adebayogbenga Tanimola,Olusanya Adejuyigbe (2013). Situs inversus in association with duodenal atresia.
  4. A Kitasato,T Miyoshi,T Okamoto,A Yoneda,H Takeshita,T Kuroki (2022). Hepatocellular carcinoma with situs inversus totalis treated by caudate lobectomy: A case report.
  5. Rahul Gupta,Varsha Soni,Prakash Valse,Ram Goyal,Arun Gupta,Praveen Mathur (2017). Neonatal intestinal obstruction associated with situs inversus totalis: two case reports and a review of the literature.
  6. Di Buono,G Maienza,E Buscemi,S Randisi,B Romano,G Agrusa,A (2020). Acute appendicitis in a patient with situs viscerum inversus totalis: Role of laparoscopic approach. A case report and brief literature review.
  7. H Bedioui,F Chebbi,S Ayadi,A Makni,F Fteriche,R Ksantini (2006). Cholécystectomie laparoscopique chez un patient porteur d'un situs inversus.
  8. Nabonswindé Ouédraogo,Korotimi Sanogo,Mohamed Traoré,Jacques Simporé,Si Traoré (2020). A case report of management of gastric perforation in situs inversus totalis in a 45-year-old adult. A case report.
  9. Deng Xiang,Jiannan He,Zimeng Fan,Fangfang Xiong,Gang Liu,Sufen Chen,Wu Wen,Jianfeng Li,Junhua Ai,Renhua Wan,Gongxian Wang,Jun Shi (2018). Situs inversus totalis with solid pseudopapillary pancreatic tumor.
  10. R Gupta,V Soni,P Valse,R Goyal,A Gupta,P Mathur (2017). Neonatal intestinal obstruction associated with situs inversus totalis: two case reports and a review of the literature.
  11. Kengo Shibata,Hideki Kawamura,Nobuki Ichikawa,Kazuaki Shibuya,Tadashi Yoshida,Yosuke Ohno,Shigenori Homma,Akinobu Taketomi (2018). Laparoscopic total gastrectomy for advanced gastric cancer in a patient with situs inversus totalis.
  12. Abhishek Chinya,Kirti Naranje,Ankur Mandelia (2019). Situs inversus abdominalis, polysplenia, complex jejunal atresia and malrotation in a neonate.
  13. E Masson Situs inversus totalis révélé par un syndrome occlusif : à propos d'une observation.

Funding

No external funding was declared for this work.

Conflict of Interest

The authors declare no conflict of interest.

Ethical Approval

No ethics committee approval was required for this article type.

Data Availability

Not applicable for this article.

How to Cite This Article

Mounir Bouali. 2026. \u201cA Case Report of Management of Intestinal Obstruction in a Patient with Situs Inversus Abdominalis\u201d. Global Journal of Medical Research - K: Interdisciplinary GJMR-K Volume 23 (GJMR Volume 23 Issue K4).

Download Citation

Intrusive intestinal obstruction diagnosis in abdomen.
Journal Specifications

Crossref Journal DOI 10.17406/gjmra

Print ISSN 0975-5888

e-ISSN 2249-4618

Version of record

v1.2

Issue date
June 28, 2023

Language
en
Experiance in AR

Explore published articles in an immersive Augmented Reality environment. Our platform converts research papers into interactive 3D books, allowing readers to view and interact with content using AR and VR compatible devices.

Read in 3D

Your published article is automatically converted into a realistic 3D book. Flip through pages and read research papers in a more engaging and interactive format.

Article Matrices
Total Views: 1204
Total Downloads: 48
2026 Trends
Related Research
Our website is actively being updated, and changes may occur frequently. Please clear your browser cache if needed. For feedback or error reporting, please email [email protected]

Request Access

Please fill out the form below to request access to this research paper. Your request will be reviewed by the editorial or author team.
X

Quote and Order Details

Contact Person

Invoice Address

Notes or Comments

This is the heading

Lorem ipsum dolor sit amet, consectetur adipiscing elit. Ut elit tellus, luctus nec ullamcorper mattis, pulvinar dapibus leo.

High-quality academic research articles on global topics and journals.

A Case Report of Management of Intestinal Obstruction in a Patient with Situs Inversus Abdominalis

Mounir Bouali
Mounir Bouali
Kabira Falousse
Kabira Falousse
Anas EL-Wassi
Anas EL-Wassi
Abdelilah El-Bakouri
Abdelilah El-Bakouri
Khalid El-Hattabi
Khalid El-Hattabi
Fatima Zahra Bensardi
Fatima Zahra Bensardi
Abdelaziz Fadil
Abdelaziz Fadil

Research Journals