Biochemical Changes of Mancozeb-Induced AlteBiochemical Changes of Mancozeb-Induced Alternations in Testes and Thyroid gland of Male Ratsrnations in Testes and Thyroid gland of Male Rats

Ahmed Abdelrafea
Ahmed Abdelrafea
Prof. Hesham Zaki Ibrahim
Prof. Hesham Zaki Ibrahim
Prof. Sabah Gaber El –Banna
Prof. Sabah Gaber El –Banna

Send Message

To: Author

Biochemical Changes of Mancozeb-Induced AlteBiochemical Changes of Mancozeb-Induced Alternations in Testes and Thyroid gland of Male Ratsrnations in Testes and Thyroid gland of Male Rats

Article Fingerprint

ReserarchID

HH472

Biochemical Changes of Mancozeb-Induced AlteBiochemical Changes of Mancozeb-Induced Alternations in Testes and Thyroid gland of Male Ratsrnations in Testes and Thyroid gland of Male Rats Banner

AI TAKEAWAY

Connecting with the Eternal Ground
  • English
  • Afrikaans
  • Albanian
  • Amharic
  • Arabic
  • Armenian
  • Azerbaijani
  • Basque
  • Belarusian
  • Bengali
  • Bosnian
  • Bulgarian
  • Catalan
  • Cebuano
  • Chichewa
  • Chinese (Simplified)
  • Chinese (Traditional)
  • Corsican
  • Croatian
  • Czech
  • Danish
  • Dutch
  • Esperanto
  • Estonian
  • Filipino
  • Finnish
  • French
  • Frisian
  • Galician
  • Georgian
  • German
  • Greek
  • Gujarati
  • Haitian Creole
  • Hausa
  • Hawaiian
  • Hebrew
  • Hindi
  • Hmong
  • Hungarian
  • Icelandic
  • Igbo
  • Indonesian
  • Irish
  • Italian
  • Japanese
  • Javanese
  • Kannada
  • Kazakh
  • Khmer
  • Korean
  • Kurdish (Kurmanji)
  • Kyrgyz
  • Lao
  • Latin
  • Latvian
  • Lithuanian
  • Luxembourgish
  • Macedonian
  • Malagasy
  • Malay
  • Malayalam
  • Maltese
  • Maori
  • Marathi
  • Mongolian
  • Myanmar (Burmese)
  • Nepali
  • Norwegian
  • Pashto
  • Persian
  • Polish
  • Portuguese
  • Punjabi
  • Romanian
  • Russian
  • Samoan
  • Scots Gaelic
  • Serbian
  • Sesotho
  • Shona
  • Sindhi
  • Sinhala
  • Slovak
  • Slovenian
  • Somali
  • Spanish
  • Sundanese
  • Swahili
  • Swedish
  • Tajik
  • Tamil
  • Telugu
  • Thai
  • Turkish
  • Ukrainian
  • Urdu
  • Uzbek
  • Vietnamese
  • Welsh
  • Xhosa
  • Yiddish
  • Yoruba
  • Zulu
Font Type
Font Size
Font Size
Bedground

Abstract

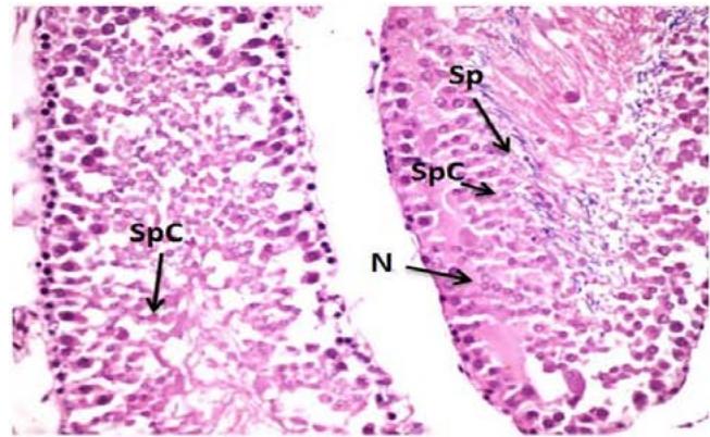
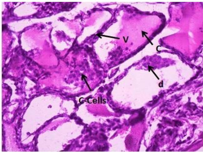
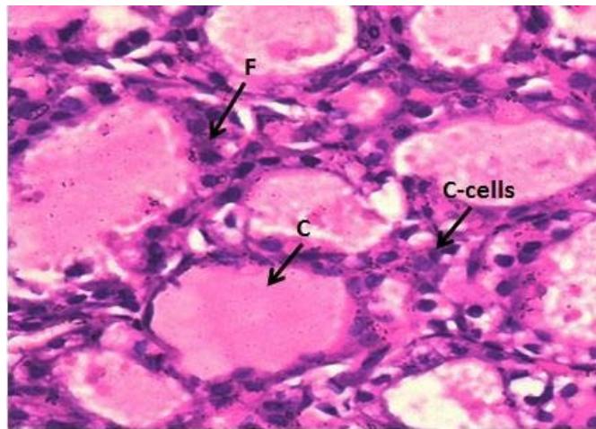
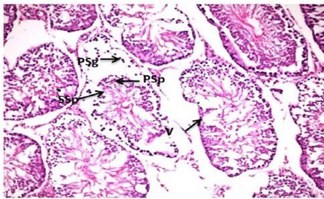
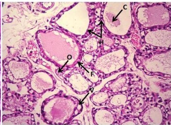
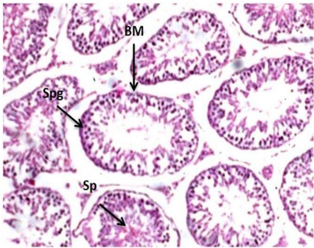
Mancozeb manganese ethylene bis dithiocarbamate polymeric complex -with zinc salts is a very important protective non-systemic fungicide, classified as an ethylene bis dithiocarbamate fungicide. Mancozeb used for controlling fungal diseases for a wide variety of crops because of its broad-spectrum as fungicidal effects and high compatibility with agrochemicals. The objective of this study was to investigate the results of the fungicide mancozeb at different doses on some biochemical parameters, reproductive performance, and histological changes in testes and thyroid gland. The low amount equals 1/7 of LD 50 manczeb-d 1 , and the high amount equals 1/3.5 of LD 50 mancozeb-d 1 . Amounts of mancozeb (mancozeb-d1 and mancozeb-d 2 ) adjusted according to the rat’s body weights. The results showed that mancozeb decreased plasma testosterone level, sperm count, viability, motility, and significantly (P

Generating HTML Viewer...

References

29 Cites in Article
  1. O López-Fernández,E Pose-Juan,R Rial-Otero,J Simal-Gándara (2017). Effects of hydrochemistry variables on the half-life of mancozeb and on the hazard index associated to the sum of mancozeb and ethylenethiourea.
  2. E Hwang,J Cash,M Zabik (2003). Determination of degradation products and pathways of mancozeb and ethylenethiourea (ETU) in solutions due to ozone and chlorine dioxide treatments.
  3. M Gullino,F Tinivella,A Garibaldi,G Kemmitt,L Bacci,B Sheppard (2010). Mancozeb: past, present, and future.
  4. Olalla López-Fernández,Remedios Yáñez,Raquel Rial-Otero,Jesús Simal-Gándara (2016). Kinetic modelling of mancozeb hydrolysis and photolysis to ethylenethiourea and other by-products in water.
  5. Anna Pirozzi,Antonietta Stellavato,Annalisa La Gatta,Monica Lamberti,Chiara Schiraldi (2016). Mancozeb, a fungicide routinely used in agriculture, worsens nonalcoholic fatty liver disease in the human HepG2 cell model.
  6. Daeho Kwon,Hwa-Kyoung Chung,Woon-Seob Shin,Yoon-Sun Park,Seong-Chun Kwon,Jae Song,Byong-Gon Park (2018). Toxicological evaluation of dithiocarbamate fungicide mancozeb on the endocrine functions in male rats.
  7. Fiorella Belpoggi,Morando Soffritti,Marina Guarino,Luca Lambertini,Daniela Cevolani,Cesare Maltoni (2002). Results of Long‐Term Experimental Studies on the Carcinogenicity of Ethylene‐bis‐Dithiocarbamate (Mancozeb) in Rats.
  8. Dennis Tierney (2005). Overview of Atrazine Interim Reregistration Eligibility Decision (IRED): Watershed Mitigation Components.
  9. J Greer,J Foerster,J Lukens,Wintrobe (2003). s Clinical Hematology.
  10. O Daniel,P Kind,E King (1954). Urinary Excretion of Acid Phosphatase.
  11. Darhl Foreman,Lawrence Gaylor,Eric Evans,Cynthia Trella (1073). A modification of the Roe procedure for determination of fructose in tissues with increased specificity.
  12. J Nash,B. Davail- Cuisset,S Bhattacharyya,H Suter,F Le Menn,D Kime (2000). An enzyme linked immunosorbant assay (ELISA) for testosterone, estradiol, and 17,20β-dihydroxy-4-pregenen-3-one using acetylcholinesterase as tracer: application to measurement of diel patterns in rainbow trout (Oncorhynchus mykiss).
  13. C Thakur,T Saikia,R Yadav (1997). Total Serum Levels of Triiodothyronine (T3) Thyroxine (T4) and Thyrotropine (TSH) in School going Children of Dibrugarh District: An Endemic Goitre Region of Assam.
  14. C Liu,D Hermsen,J Domberg,C Graeber,H Hautzel,Y Duan,K Xu,C Liu,X Mao,K Cupisti,W Scherbaum,M Schott (2008). Comparison of M22-based ELISA and Human-TSH-Receptor-based Luminescence Assay for the Measurement of Thyrotropin Receptor Antibodies in Patients with Thyroid Diseases.
  15. Ivančica Trošić,Mirjana Mataušić-Pišl,Ivan Pavičić,Ana Marjanović (2013). Histological and Cytological Examination of Rat Reproductive Tissue After Short-Time Intermittent Radiofrequency Exposure.
  16. A Wyrobek,W Bruce (1975). Chemical induction of sperm abnormalities in mice..
  17. Rafael Tejada,J Mitchell,Amos Norman,Jaroslav Marik,Stanley Friedman (1984). A test for the practical evaluation of male fertility by acridine orange (AO) fluorescence.
  18. J Erenpreiss,J Bars,V Lipatnikovai,J Erenpreisa (2001). Comparative study of cytochemical tests for sperm chromatin integrity.
  19. R Drury,E Wallington (1980). Preparation and fixation of tissues.
  20. M Norušis (2006). SPSS 14.0 guide to data analysis.
  21. Ketaki Desai,Nilofer Moid,Pragnesh Patel,Hyacinth Highland (2016). Evaluation of Deltamethrin induced reproductive toxicity in male Swiss Albino mice.
  22. N Trang,V Huyen,N Linh,T Sang (2018). Seminal Fructose Concentration in Man Infertility and the Fructose Test's Meaning In Diagnosis Reason of Azoospermia Man.
  23. Janice Hwang,Lihong Jiang,Muhammad Hamza,Feng Dai,Renata Belfort-Deaguiar,Gary Cline,Douglas Rothman,Graeme Mason,Robert Sherwin (2017). The human brain produces fructose from glucose.
  24. G Ananthan,B Kumaran (2013). Effects of mancozeb on the specific activities of testicular phosphatases and Protective role of vitamin C in Albino rats.
  25. Y Adjrah,S Karou,A Agbonon,K Eklu-Gadegbeku,C De Souza,M Gbeassor (2013). Effect of mancozeb-treated lettuce (<i>Lactuca sativa</i>) on wistar rat liver.
  26. E Yahia,M Aiche,A Chouabbia,M Boulakoud (2014). Subchronic mancozeb treatment induced liver toxicity via oxidative stress in male wistar rats.
  27. Hesham Ibrahim,Sabah Banna,Ahmed Rafea (2010). Acetamiprid, Insecticide-Induced Oxidative Damage on Reproductive Parameters Male Rats.
  28. S Joshi,N Gulati,A Gajraj (2005). Evaluation of toxic impacts of mancozeb on testis in rats.
  29. Reena Kackar,Mithilesh Srivastava,Rajendra Raizada (1997). Induction of Gonadal Toxicity to Male Rats after Chronic Exposure to Mancozeb..

Funding

No external funding was declared for this work.

Conflict of Interest

The authors declare no conflict of interest.

Ethical Approval

No ethics committee approval was required for this article type.

Data Availability

Not applicable for this article.

How to Cite This Article

Ahmed Abdelrafea. 2026. \u201cBiochemical Changes of Mancozeb-Induced AlteBiochemical Changes of Mancozeb-Induced Alternations in Testes and Thyroid gland of Male Ratsrnations in Testes and Thyroid gland of Male Rats\u201d. Global Journal of Medical Research - L: Nutrition GJMR-L Volume 22 (GJMR Volume 22 Issue L1).

Download Citation

Mice blood test results show biochemical alterations due to thyroid gland damage from MRL rats.
Journal Specifications

Crossref Journal DOI 10.17406/gjmra

Print ISSN 0975-5888

e-ISSN 2249-4618

Keywords
Classification
GJMR-L Classification DDC Code: 612.44 LCC Code: QP188.T54
Version of record

v1.2

Issue date
July 9, 2022

Language
en
Experiance in AR

Explore published articles in an immersive Augmented Reality environment. Our platform converts research papers into interactive 3D books, allowing readers to view and interact with content using AR and VR compatible devices.

Read in 3D

Your published article is automatically converted into a realistic 3D book. Flip through pages and read research papers in a more engaging and interactive format.

Article Matrices
Total Views: 1549
Total Downloads: 32
2026 Trends
Related Research
Our website is actively being updated, and changes may occur frequently. Please clear your browser cache if needed. For feedback or error reporting, please email [email protected]

Request Access

Please fill out the form below to request access to this research paper. Your request will be reviewed by the editorial or author team.
X

Quote and Order Details

Contact Person

Invoice Address

Notes or Comments

This is the heading

Lorem ipsum dolor sit amet, consectetur adipiscing elit. Ut elit tellus, luctus nec ullamcorper mattis, pulvinar dapibus leo.

High-quality academic research articles on global topics and journals.

Biochemical Changes of Mancozeb-Induced AlteBiochemical Changes of Mancozeb-Induced Alternations in Testes and Thyroid gland of Male Ratsrnations in Testes and Thyroid gland of Male Rats

Ahmed Abdelrafea
Ahmed Abdelrafea
Prof. Hesham Zaki Ibrahim
Prof. Hesham Zaki Ibrahim
Prof. Sabah Gaber El –Banna
Prof. Sabah Gaber El –Banna

Research Journals