CapillaryX: A Software Design Pattern for Analyzing Medical Images in Real-time using Deep Learning

Maged Abdalla Helmy Abdou
Maged Abdalla Helmy Abdou
Tuyen Trung Truong
Tuyen Trung Truong
Paulo Ferreira
Paulo Ferreira
Eric Jul
Eric Jul
University of Oslo University of Oslo

Send Message

To: Author

CapillaryX: A Software Design Pattern for Analyzing Medical Images in Real-time using Deep Learning

Article Fingerprint

ReserarchID

CSTSDEGWUWS

CapillaryX: A Software Design Pattern for Analyzing Medical Images in Real-time using Deep Learning Banner

AI TAKEAWAY

Connecting with the Eternal Ground
  • English
  • Afrikaans
  • Albanian
  • Amharic
  • Arabic
  • Armenian
  • Azerbaijani
  • Basque
  • Belarusian
  • Bengali
  • Bosnian
  • Bulgarian
  • Catalan
  • Cebuano
  • Chichewa
  • Chinese (Simplified)
  • Chinese (Traditional)
  • Corsican
  • Croatian
  • Czech
  • Danish
  • Dutch
  • Esperanto
  • Estonian
  • Filipino
  • Finnish
  • French
  • Frisian
  • Galician
  • Georgian
  • German
  • Greek
  • Gujarati
  • Haitian Creole
  • Hausa
  • Hawaiian
  • Hebrew
  • Hindi
  • Hmong
  • Hungarian
  • Icelandic
  • Igbo
  • Indonesian
  • Irish
  • Italian
  • Japanese
  • Javanese
  • Kannada
  • Kazakh
  • Khmer
  • Korean
  • Kurdish (Kurmanji)
  • Kyrgyz
  • Lao
  • Latin
  • Latvian
  • Lithuanian
  • Luxembourgish
  • Macedonian
  • Malagasy
  • Malay
  • Malayalam
  • Maltese
  • Maori
  • Marathi
  • Mongolian
  • Myanmar (Burmese)
  • Nepali
  • Norwegian
  • Pashto
  • Persian
  • Polish
  • Portuguese
  • Punjabi
  • Romanian
  • Russian
  • Samoan
  • Scots Gaelic
  • Serbian
  • Sesotho
  • Shona
  • Sindhi
  • Sinhala
  • Slovak
  • Slovenian
  • Somali
  • Spanish
  • Sundanese
  • Swahili
  • Swedish
  • Tajik
  • Tamil
  • Telugu
  • Thai
  • Turkish
  • Ukrainian
  • Urdu
  • Uzbek
  • Vietnamese
  • Welsh
  • Xhosa
  • Yiddish
  • Yoruba
  • Zulu
Font Type
Font Size
Font Size
Bedground

Abstract

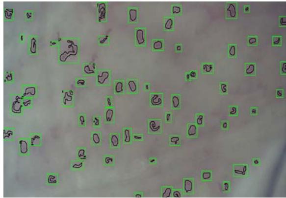
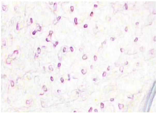
Recent advances in digital imaging, e.g., increased number of pixels captured, have meant that the volume of data to be processed and analyzed from these images has also increased. Deep learning algorithms are state-of-the-art for analyzing such images, given their high accuracy when trained with a large data volume of data. Nevertheless, such analysis requires considerable computational power, making such algorithms time-and resourcedemanding. Such high demands can be met by using third-party cloud service providers. However, analyzing medical images using such services raises several legal and privacy challenges and do not necessarily provide real-time results. This paper provides a computing architecture that locally and in parallel can analyze medical images in real-time using deep learning thus avoiding the legal and privacy challenges stemming from uploading data to a thirdparty cloud provider. To make local image processing efficient on modern multi-core processors, we utilize parallel execution to offset the resourceintensive demands of deep neural networks. We focus on a specific medical-industrial case study, namely the quantifying of blood vessels in microcirculation images for which we have developed a working system.

Generating HTML Viewer...

References

72 Cites in Article
  1. R Duncan (1990). A survey of parallel computer architectures.
  2. Q Zhang,L Yang,Z Chen,P Li (2018). A survey on deep learning for big data.
  3. Neil Thompson,Kristjan Greenewald,Keeheon Lee,Gabriel Manso (2020). The Computational Limits of Deep Learning.
  4. Sarunya Pumma,Min Si,Wu-Chun Feng,Pavan Balaji (2017). Parallel I/O Optimizations for Scalable Deep Learning.
  5. John Rumbold,Barbara Pierscionek (2017). The Effect of the General Data Protection Regulation on Medical Research.
  6. M Parker,N Mcgill (2019). The established and evolving role of nailfold capillaroscopy in Connective-Tissue disease.
  7. V Nama,J Onwude,I Manyonda,T Antonios (2011). Is capillary rarefaction an independent risk marker for cardiovascular disease in South Asians?.
  8. B Fagrell,M Intaglietta (1997). Microcirculation: Its significance in clinical and molecular medicine.
  9. Alfons Houben,Remy Martens,Coen Stehouwer (2017). Assessing Microvascular Function in Humans from a Chronic Disease Perspective.
  10. Torjus Wester,Zaheer Awan,Tobias Kvernebo,Göran Salerud,Knut Kvernebo (2014). Skin microvascular morphology and hemodynamics during treatment with veno-arterial extra-corporeal membrane oxygenation.
  11. A L´opez (2015). Effects of early hemodynamic resuscitation on left ventricular performance and microcirculatory function during endotoxic shock.
  12. Glenn Hernandez,Alejandro Bruhn,Can Ince (2013). Microcirculation in Sepsis: New Perspectives.
  13. M Helmy,A Dykyy,T Truong,P Ferreira,E Jul (2021). Capillarynet: An automated system to analyze microcirculation videos from handheld vital microscopy.
  14. A Holmes (2012). Hadoop in practice.
  15. D Borthakur (2008). Hdfs architecture guide.
  16. Konstantin Shvachko,Hairong Kuang,Sanjay Radia,Robert Chansler (2010). The Hadoop Distributed File System.
  17. Jeffrey Dean,Sanjay Ghemawat (2008). MapReduce.
  18. Jeffrey Dean,Sanjay Ghemawat (2010). MapReduce.
  19. M Saouabi,A Ezzati (2017). A comparative between hadoop mapreduce and apache spark on hdfs.
  20. Satish Gopalani,Rohan Arora (2015). Comparing Apache Spark and Map Reduce with Performance Analysis using K-Means.
  21. Khadija Aziz,Dounia Zaidouni,Mostafa Bellafkih (2018). Real-time data analysis using Spark and Hadoop.
  22. G Van Rossum (2007). Python programming language.
  23. Martin Odersky (2004). The evolution of Scala.
  24. K Arnold,J Gosling,D Holmes (2005). The Java programming language.
  25. A Spark (2018). Apache spark.
  26. P Moritz (2018). Ray: A distributed framework for emerging ai applications.
  27. Matthew Rocklin (2015). Dask: Parallel Computation with Blocked algorithms and Task Scheduling.
  28. M Dugr´e,V Hayot-Sasson,T Glatard (2019). A performance comparison of dask and apache spark for dataintensive neuroimaging pipelines.
  29. Parmita Mehta,Sven Dorkenwald,Dongfang Zhao,Tomer Kaftan,Alvin Cheung,Magdalena Balazinska,Ariel Rokem,Andrew Connolly,Jacob Vanderplas,Yusra Alsayyad (2016). Comparative evaluation of big-data systems on scientific image analytics workloads.
  30. D (2021). Distributed Computing with Dask and Apache Spark: A Comparative Study.
  31. Robert Nishihara,Philipp Moritz,Stephanie Wang,Alexey Tumanov,William Paul,Johann Schleier-Smith,Richard Liaw,Mehrdad Niknami,Michael Jordan,Ion Stoica (2017). Real-Time Machine Learning.
  32. Hui Li,Geoffrey Fox,Judy Qiu (2012). Performance Model for Parallel Matrix Multiplication with Dryad: Dataflow Graph Runtime.
  33. Sergey Bykov,Alan Geller,Gabriel Kliot,James Larus,Ravi Pandya,Jorgen Thelin (2011). Orleans.
  34. P Bernstein,S Bykov,A Geller,G Kliot,J Thelin (2014). Orleans: Distributed virtual actors for programmability and scalability.
  35. T Webpage (2021). Tensorflow.
  36. F Aslam,H Mohammed,P Lokhande (2015). Efficient way of web development using python and flask.
  37. C Olston (2017). Tensorflow-serving: Flexible, highperformance ml serving.
  38. Geert Litjens,Thijs Kooi,Babak Bejnordi,Arnaud Setio,Francesco Ciompi,Mohsen Ghafoorian,Jeroen Van Der Laak,Bram Van Ginneken,Clara Sánchez (2017). A survey on deep learning in medical image analysis.
  39. S Han (2017). Efficient methods and hardware for deep learning.
  40. M Zaharia (2012). Resilient distributed datasets: A fault-tolerant abstraction for in-memory cluster computing.
  41. C Cheng,C Lee,C Daskalakis (2015). A reproducible computerized method for quantitation of capillary density using nailfold capillaroscopy.
  42. Arya Tama,Tati Mengko,Hasballah Zakaria (2015). Nailfold capillaroscopy image processing for morphological parameters measurement.
  43. Sherry Clendenon,Xiao Fu,Robert Von Hoene,Jeffrey Clendenon,James Sluka,Seth Winfree,Henry Mang,Michelle Martinez,Adele Filson,James Klaunig,James Glazier,Kenneth Dunn (2019). A simple automated method for continuous fieldwise measurement of microvascular hemodynamics.
  44. P Prentaˇsi´c (2016). Segmentation of the foveal microvasculature using deep learning networks.
  45. R Nivedha,M Brinda,K Suma,Bheemsain Rao (2016). Classification of nailfold capillary images in patients with hypertension using non-linear SVM.
  46. William Noble (2006). What is a support vector machine?.
  47. K Suma,K Indira,B Rao (2017). Fuzzy logic based classification of nailfold capillary images in healthy, hypertensive and diabetic subjects.
  48. K Suma,V Sasi,B Rao (2018). A novel approach to classify nailfold capillary images in indian population using usb digital microscope.
  49. Perikumar Javia,Aman Rana,Nathan Shapiro,Pratik Shah (2018). Machine Learning Algorithms for Classification of Microcirculation Images from Septic and Non-septic Patients.
  50. K He,X Zhang,S Ren,J Sun (2016). Deep residual learning for image recognition.
  51. Fei Ye,Songchao Yin,Meirong Li,Yujie Li,Jingang Zhong (2020). In-vivo full-field measurement of microcirculatory blood flow velocity based on intelligent object identification.
  52. C Ning,H Zhou,Y Song,J Tang (2017). Inception single shot multibox detector for object detection.
  53. Yuli Hariyani,Heesang Eom,Cheolsoo Park (2020). DA-Capnet: Dual Attention Deep Learning Based on U-Net for Nailfold Capillary Segmentation.
  54. G Dai (2020). Exploring the effect of hypertension on retinal microvasculature using deep learning on east asian population.
  55. H.-C Jo,H Jeong,J Lee,K.-S Na,D.-Y Kim (2021). Quantification of blood flow velocity in the human conjunctival microvessels using deep learningbased stabilization algorithm.
  56. O Oktay (2018). Figure 2: Attention U-Net segmentation model and schematic of attention gates (Oktay et al., 2018)..
  57. G Bradski,A Kaehler (2000). Robot-Vision Signal Processing Primitives [Applications Corner].
  58. R Nishihara,P Moritz Unknown Title.
  59. P Kaewtrakulpong,R Bowden (2002). An improved adaptive background mixture model for real-time tracking with shadow detection.
  60. Z Wang,A Bovik (2009). Mean squared error: Love it or leave it? a new look at signal fidelity measures.
  61. Z Wang,A Bovik,H Sheikh,E Simoncelli (2004). Image quality assessment: From error visibility to structural similarity.
  62. openCV, Contour approximation method.
  63. V Nair,G Hinton (2010). Rectified linear units improve restricted boltzmann machines.
  64. Chigozie Nwankpa,Solomon Eze,Winifred Ijomah,Anthony Gachagan,Stephen Marshall (2018). Achieving remanufacturing inspection using deep learning.
  65. R Nishihara,P Moritz (2001). Ray.
  66. K Srinath (2017). Python-the fastest growing programming language.
  67. A Saabith,M Fareez,T Vinothraj (2019). Python current trend applications-an overview.
  68. Sebastian Raschka,Joshua Patterson,Corey Nolet (2020). Machine Learning in Python: Main Developments and Technology Trends in Data Science, Machine Learning, and Artificial Intelligence.
  69. I Stan ˇcin,A Jovi´c (2019). An overview and comparison of free python libraries for data mining and big data analysis.
  70. G Piatetsky (2019). Python leads the 11 top data science.
  71. F Pedregosa (2011). Getting Started with Scikit‐learn for Machine Learning.
  72. Cristóbal Navarro,Nancy Hitschfeld-Kahler,Luis Mateu (2014). A Survey on Parallel Computing and its Applications in Data-Parallel Problems Using GPU Architectures.

Funding

No external funding was declared for this work.

Conflict of Interest

The authors declare no conflict of interest.

Ethical Approval

No ethics committee approval was required for this article type.

Data Availability

Not applicable for this article.

How to Cite This Article

Maged Abdalla Helmy Abdou. 2026. \u201cCapillaryX: A Software Design Pattern for Analyzing Medical Images in Real-time using Deep Learning\u201d. Global Journal of Computer Science and Technology - C: Software & Data Engineering GJCST-C Volume 22 (GJCST Volume 22 Issue C2).

Download Citation

AI-powered software for analyzing medical images with deep learning in real-time.
Journal Specifications

Crossref Journal DOI 10.17406/gjcst

Print ISSN 0975-4350

e-ISSN 0975-4172

Keywords
Classification
GJCST-C Classification DDC Code: 020.3 LCC Code: Z1006
Version of record

v1.2

Issue date
July 19, 2022

Language
en
Experiance in AR

Explore published articles in an immersive Augmented Reality environment. Our platform converts research papers into interactive 3D books, allowing readers to view and interact with content using AR and VR compatible devices.

Read in 3D

Your published article is automatically converted into a realistic 3D book. Flip through pages and read research papers in a more engaging and interactive format.

Article Matrices
Total Views: 2798
Total Downloads: 33
2026 Trends
Related Research
Our website is actively being updated, and changes may occur frequently. Please clear your browser cache if needed. For feedback or error reporting, please email [email protected]

Request Access

Please fill out the form below to request access to this research paper. Your request will be reviewed by the editorial or author team.
X

Quote and Order Details

Contact Person

Invoice Address

Notes or Comments

This is the heading

Lorem ipsum dolor sit amet, consectetur adipiscing elit. Ut elit tellus, luctus nec ullamcorper mattis, pulvinar dapibus leo.

High-quality academic research articles on global topics and journals.

CapillaryX: A Software Design Pattern for Analyzing Medical Images in Real-time using Deep Learning

Maged Abdalla Helmy Abdou
Maged Abdalla Helmy Abdou <p>University of Oslo</p>
Tuyen Trung Truong
Tuyen Trung Truong
Paulo Ferreira
Paulo Ferreira
Eric Jul
Eric Jul

Research Journals