Clinical and Epidemiological Profile of Patients with Ewings Sarcoma

Matheus Amorim Grigorio
Matheus Amorim Grigorio Reviewer
Henrique Hollanda Larangeira
Henrique Hollanda Larangeira
Tábata de Oliveira Silva
Tábata de Oliveira Silva
Rafaela da Silva Schottz
Rafaela da Silva Schottz
Ingrid Fabric Gouveia Lima
Ingrid Fabric Gouveia Lima
Lina Borges Cavalcante
Lina Borges Cavalcante
Marcus Antonio Studart da Cunha Frota
Marcus Antonio Studart da Cunha Frota
Janaína Gomes da Rocha
Janaína Gomes da Rocha
Lorena de Sousa Moura
Lorena de Sousa Moura

Send Message

To: Author

Clinical and Epidemiological Profile of Patients  with Ewings Sarcoma

Article Fingerprint

ReserarchID

PDDTM36P3H

Clinical and Epidemiological Profile of Patients  with Ewings Sarcoma Banner

AI TAKEAWAY

Connecting with the Eternal Ground
  • English
  • Afrikaans
  • Albanian
  • Amharic
  • Arabic
  • Armenian
  • Azerbaijani
  • Basque
  • Belarusian
  • Bengali
  • Bosnian
  • Bulgarian
  • Catalan
  • Cebuano
  • Chichewa
  • Chinese (Simplified)
  • Chinese (Traditional)
  • Corsican
  • Croatian
  • Czech
  • Danish
  • Dutch
  • Esperanto
  • Estonian
  • Filipino
  • Finnish
  • French
  • Frisian
  • Galician
  • Georgian
  • German
  • Greek
  • Gujarati
  • Haitian Creole
  • Hausa
  • Hawaiian
  • Hebrew
  • Hindi
  • Hmong
  • Hungarian
  • Icelandic
  • Igbo
  • Indonesian
  • Irish
  • Italian
  • Japanese
  • Javanese
  • Kannada
  • Kazakh
  • Khmer
  • Korean
  • Kurdish (Kurmanji)
  • Kyrgyz
  • Lao
  • Latin
  • Latvian
  • Lithuanian
  • Luxembourgish
  • Macedonian
  • Malagasy
  • Malay
  • Malayalam
  • Maltese
  • Maori
  • Marathi
  • Mongolian
  • Myanmar (Burmese)
  • Nepali
  • Norwegian
  • Pashto
  • Persian
  • Polish
  • Portuguese
  • Punjabi
  • Romanian
  • Russian
  • Samoan
  • Scots Gaelic
  • Serbian
  • Sesotho
  • Shona
  • Sindhi
  • Sinhala
  • Slovak
  • Slovenian
  • Somali
  • Spanish
  • Sundanese
  • Swahili
  • Swedish
  • Tajik
  • Tamil
  • Telugu
  • Thai
  • Turkish
  • Ukrainian
  • Urdu
  • Uzbek
  • Vietnamese
  • Welsh
  • Xhosa
  • Yiddish
  • Yoruba
  • Zulu
Font Type
Font Size
Font Size
Bedground

Abstract

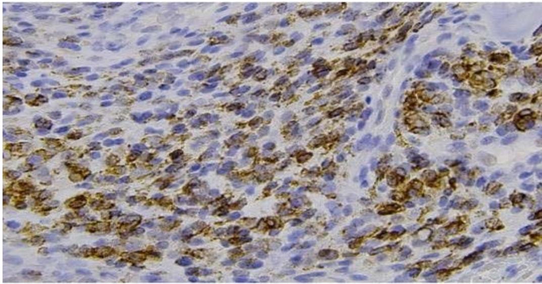
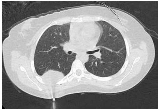
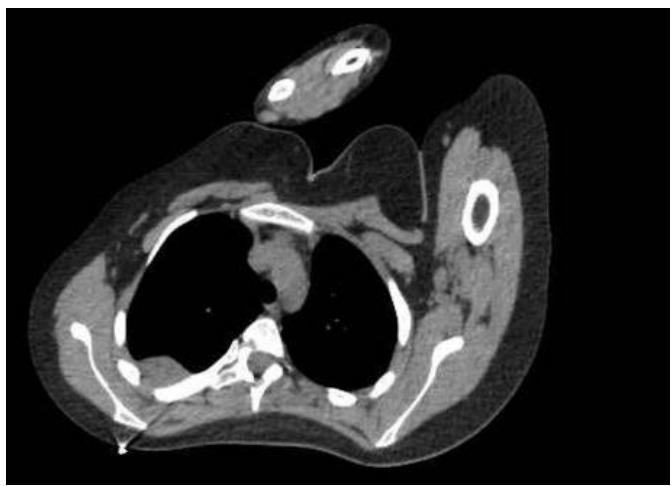
Introduction: Understanding that cancer is a pathology that is challenging to detect, treat, and comprehend is what makes the study of cancer so important. The goal of this case study is to show how a 20-year-old woman was affected by a variety of factors and symptoms that, when combined, raised suspicion of Ewing’s sarcoma, the second most common primary tumor in children and young adults. Ewing’s sarcoma has the characteristics of being an aggressive malignancy originating in the bones.

Generating HTML Viewer...

References

7 Cites in Article
  1. Marta Sbaraglia (2020). Ewing sarcoma and Ewinglike tumors.
  2. A Croci,O Camargo,Nrb Oliveira (1996). Tratamento cirúrgico do sarcoma de Ewing: avaliaçãooncológica e funcional.
  3. Giovanna Lopes,Cunha Da,Castro Unknown Title.
  4. Monika Scheer,Christian Vokuhl,Bernd Blank,Erika Hallmen,Thekla Von Kalle,Marc Münter,Rüdiger Wessalowski,Maite Hartwig,Monika Sparber‐sauer,Paul‐gerhardt Schlegel,Christof Kramm,Udo Kontny,Bernd Spriewald,Thomas Kegel,Sebastian Bauer,Bernarda Kazanowska,Felix Niggli,Ruth Ladenstein,Gustaf Ljungman,Kirsi Jahnukainen,Jörg Fuchs,Stefan Bielack,Thomas Klingebiel,Ewa Koscielniak (2019). Desmoplastic small round cell tumors: Multimodality treatment and new risk factors.
  5. John Scott E Kilpatrick,Brian Reith,Rubin (2018). Ewing Sarcoma and the History of Similar ans Possibily RelatedSmall Round Cell Tumors: From Whence Have We Come and Where are We Going?.
  6. Contran,Robbins,Ossos (2016). articulações e tumores de partes moles: Tumores de origem desconhecida.
  7. Davi Bellan,Reynaldo Jesus-Garcia Filho,Jairo Garcia,Marcelo Petrilli,Dan Viola,Murillo Schoedl,Antonio Petrilli (2012). Sarcoma de Ewing: epidemiologia e prognóstico dos pacientes tratados no Instituto de Oncologia Pediátrica, IOP-GRAACC-UNIFESP.

Funding

No external funding was declared for this work.

Conflict of Interest

The authors declare no conflict of interest.

Ethical Approval

No ethics committee approval was required for this article type.

Data Availability

Not applicable for this article.

How to Cite This Article

Matheus Amorim Grigorio. 2026. \u201cClinical and Epidemiological Profile of Patients with Ewings Sarcoma\u201d. Global Journal of Medical Research - B: Pharma, Drug Discovery, Toxicology & Medicine GJMR-B Volume 23 (GJMR Volume 23 Issue B3).

Download Citation

A detailed clinical and epidemiological profile of Ewing's Sarcoma, highlighting diagnosis, treatment, and patient outcomes.
Journal Specifications

Crossref Journal DOI 10.17406/gjmra

Print ISSN 0975-5888

e-ISSN 2249-4618

Keywords
Classification
GJMR-B Classification NLM: QV 744
Version of record

v1.2

Issue date
January 2, 2024

Language
en
Experiance in AR

Explore published articles in an immersive Augmented Reality environment. Our platform converts research papers into interactive 3D books, allowing readers to view and interact with content using AR and VR compatible devices.

Read in 3D

Your published article is automatically converted into a realistic 3D book. Flip through pages and read research papers in a more engaging and interactive format.

Article Matrices
Total Views: 1084
Total Downloads: 58
2026 Trends
Related Research
Our website is actively being updated, and changes may occur frequently. Please clear your browser cache if needed. For feedback or error reporting, please email [email protected]

Request Access

Please fill out the form below to request access to this research paper. Your request will be reviewed by the editorial or author team.
X

Quote and Order Details

Contact Person

Invoice Address

Notes or Comments

This is the heading

Lorem ipsum dolor sit amet, consectetur adipiscing elit. Ut elit tellus, luctus nec ullamcorper mattis, pulvinar dapibus leo.

High-quality academic research articles on global topics and journals.

Clinical and Epidemiological Profile of Patients with Ewings Sarcoma

Henrique Hollanda Larangeira
Henrique Hollanda Larangeira
Tábata de Oliveira Silva
Tábata de Oliveira Silva
Rafaela da Silva Schottz
Rafaela da Silva Schottz
Ingrid Fabric Gouveia Lima
Ingrid Fabric Gouveia Lima
Lina Borges Cavalcante
Lina Borges Cavalcante
Marcus Antonio Studart da Cunha Frota
Marcus Antonio Studart da Cunha Frota
Janaína Gomes da Rocha
Janaína Gomes da Rocha
Lorena de Sousa Moura
Lorena de Sousa Moura

Research Journals