This study investigated the benefits of Merlot grape pomace extract (EBUM) in experimental acetaminophen-induced intoxication. Swiss mice received the respective treatments for 7 days: Control (saline), Silymarin (100 mg/Kg), EBUM: 100 mg/Kg and 500 mg/Kg. On the seventh day, the acetaminophen control, Silymarin and EBUM received a single dose of acetaminophen 500 mg/kg. After 24 hours, the mice were sacrificed, the blood and liver were collected for analysis of serum transaminases (ALT and AST), bilirubin, hepatic markers of oxidative stress and histopathological analysis. EBUM was able to prevent acetaminopheninduced hepatic necrosis with a significant reduction (p
## I. INTRODUÇÃO
hepatite medicamentosa, também conhecida como lesão hepática induzida por medicamentos ou Drug Induced Liver Injury (DILI), constitui uma forma de reação adversa a medicamentos (Lunardelli et al., 2020). Podendo se manifestar dentro de um período de um a noventas dias após a administração de um medicamento (Silva et al., 2023).
A avaliação laboratorial da hepatite tóxica é abrangente e diversificada, especialmente em relação ao tipo de medicamento envolvido. Alterações nos níveis séricos das enzimas hepáticas aspartato aminotransferase (ALT) e alanina aminotransferase (AST) são consistentemente detectadas, juntamente com elevações na bilirrubina e modificações no tecido hepático (Mancilha et al., 2020).
O acetaminofeno (APAP) é um fármaco de alta biodisponibilidade, que possui potente ação analgésica e antipirética e discretos efeitos anti-inflamatórios. Quando biotransformado, origina metabólitos sulfatados e glucuronidados, inativos por conjugação. Além disso, uma pequena fração é excretada inalterada na urina e a fração restante é metabolizada pelo sistema enzimático citocromo CYP450 com ênfase para as enzimas CYP3A4 e CYP1A2, as quais levam a formação do N-acetil-p-benzoquinoneimina (NAPQl). A glutationa desempenha o papel crucial de conjugação e desintoxicação do NAPQi. Entretanto, em situações de ingestão elevada do medicamento, observa-se uma redução nos níveis de glutationa, resultando na liberação do metabólito para se ligar aos hepatócitos, desencadeando assim, danos ao fígado (Sousa et al., 2023); Ribeiro et al., 2023; Vieira & Franca, 2015).
A ingestão de altas doses de APAP tem sido relatada em diversos estudos que demonstram a correlação da overdose com a insuficiência hepática aguda (IHAl). A ingestão máxima diária de APAP é de 4 g/dia, de acordo com o Food and Drug Administration (FDA), órgão regulamentador americano. Nos Estados Unidos e no Reino Unido os casos de IHAl e mortes associadas à overdose chegam à $50\%$ e $70\%$ respectivamente. Em contrapartida, países como Alemanha e Espanha aparentam ter comportamento diferente em relação à automedicação, visto que apenas 3 a $9\%$ dos casos de IHAI ocorrem por sobredosagem de APAP (Bunchorntavakul & Reddy, 2018; Blieden et al., 2014).
A hepatotoxicidade do APAP vem sendo estudada exaustivamente nos últimos anos e grande parte dos mecanismos envolvidos nesse processo encontram-se elucidados (Torres et al., 2019). Desta forma, é possível utilizar o APAP como indutor de dano hepático em modelo animal com a finalidade de estudar sua toxicidade e de avaliar o uso de potenciais substâncias hepatoprotetoras.
Os antioxidantes são compostos presentes em vários vegetais que fazem parte da dieta humana. Em concentrações inferiores às do substrato oxidável, essas substâncias têm a capacidade de eficazmente inibir ou retardar o processo de oxidação (Macedo et al., 2020).
Um dos agentes antioxidantes que opera de maneira semelhante à glutationa é a N-acetilcisteína (NAC). Esta substância reage com os radicais livres nos grupos sulfidrila, doando elétrons e se transformando em cistina. Além disso, pode atuar como substrato na síntese de glutationa hepática. Dessa forma, a NAC desempenha um papel significativo no tratamento de lesões hepáticas originadas por radicais livres, como aquelas decorrentes da hepatotoxicidade induzida pelo APAP (Oliveira & Costa, 2021).
A NAC tem sido reconhecida como o antídoto primário para casos de overdose de APAP, sendo administrada tanto por via intravenosa quanto oral. Atualmente, a NAC é considerada o tratamento padrão e essencial para casos de intoxicação por APAP (Moreira, 2016).
Os resíduos resultantes do processamento de frutas constituem uma fonte valiosa de compostos bioativos, que demonstram potencial aplicação na produção de cosméticos e fármacos com propriedades anti-inflamatórias e antioxidantes (Haghighatdoost et al., 2020). O Extrato de Bagaço de Uva (EBU), frequentemente subutilizado, emerge como uma fonte significativa de compostos fenólicos, oferecendo benefícios nas áreas alimentícia, cosmética e farmacológica (Nascimento, 2019). A composição diversificada do EBU, compreendendo sementes, cascas e engaço, revela uma considerável quantidade de componentes bioativos, como óleos essenciais, fibras, proteínas e complexos fenólicos (Bocsan et al., 2022).
O resveratrol é um polifenol natural identificado em diversas espécies de plantas, sendo uma delas a videira (Vitis vinifera). É considerado um potente antioxidante e neutralizador de radicais livres. O EBU é uma fonte rica de polifenóis antioxidantes (Chupradit, et, al. 2022), que por sua vez possuem propriedades benéficas para a saúde, prevenindo o câncer e a eliminação de radicais livres, doenças cardiovasculares, inflamações e distúrbios relacionados ao envelhecimento, além de capacidade hepatoprotetora (Dezena et, al. 2023).
O presente estudo objetivou investigar o efeito hepatoprotetor do Extrato de Bagaço de Uva Merlot (EBUM) em lesão hepática induzida experimentalmente por APAP em camundongos Swiss.
## II. METODOLOGIA
### a) Obtenção do Extrato Hidroalcóolico do Bagaço de Uva Merlot (EBUM)
Os EBUM utilizados nesta pesquisa foram obtidos pela Empresa de Pesquisa Agropecuária e Extensão Rural (EPAGRl), o qual foi transportado ao laboratório e secos em estufa de aeração. Para a obtenção do extrato foi pesado 20 g de bagaço de uva Merlot e adicionadas em 100 mL de solvente água e etanol (50:50 v/v). As soluções foram trituradas em um liquidificador industrial por 3 minutos, após a trituração a solução foi filtrada em bomba de vácuo para a extração do solvente e os filtrados obtidos foram concentrados por destilação a pressão reduzida com auxílio de um rotaevaporador. Após a evaporação do etanol, as amostras foram levadas ao liofilizador. Assim obtendo o EBUM).
### b) Animais e Delineamento Experimental
Foram utilizados 70 camundongos albinos, machos, da linhagem Swiss, com 60 dias de idade e pesando aproximadamente 25 g. Os animais não foram submetidos a condições de estresse ou qualquer tipo de sofrimento. Não houve restrição de água ou alimento. O experimento foi conduzido dividindo-se os animais em 7 grupos com 10 animais cada. O grupo 1 foi denominado grupo controle (G1), recebendo apenas solução salina. Os grupos denominados 2 a 5, receberam, durante 7 dias, o seguinte tratamento: grupo 2 (APAP 500 mg/kg, em solução salina, no sétimo dia); grupo 3 (silimarina 100 mg/kg, em solução salina, durante 7 dias e APAP 500 mg/kg, em solução salina, no sétimo dia); grupo 4 (EBUM 100 mg/kg, em solução salina, durante 7 dias e APAP 500 mg/kg em solução salina, no sétimo dia); grupo 5 (EBUM 500 mg/kg, em solução salina, durante 7 dias e APAP 500 mg/kg em solução salina, no sétimo dia); grupo 6 (EBUM 100 mg/kg, em solução salina, durante 7 dias); grupo 7 (EBUM 500 mg/kg, em solução salina, durante 7 dias). No oitavo dia todos os animais foram eutanasiados. A descrição do experimento está demonstrada na Figura 1.







 Figura 1: Delineamento experimental representando a divisão de grupos do estudo.
Este estudo foi encaminhado ao Comitê de Ética para Uso de Animais CEUA-UNOESC para realização dos ensaios com camundongos, obtendo parecer favorável sob número 75/2018.
### c) Coleta do Material Biológico e Processamento Histológico
- Ao final do tratamento os animais foram eutanasiados, segundo protocolo do comitê de ética e pesquisa com animais. A eutanásia deu-se após utilização de quetamina injetável acrescido de lidocaína. O sangue foi coletado em tubo seco através de punção cardíaca, e as amostras de soro foram armazenas a - ${ 20 ^ { \circ } } \mathrm { C }$ até a análise. Imediatamente após, o fígado foi coletado, pesado e dividido em duas seções, uma para análise histopatológica e outra para avaliação do estresse oxidativo.
d) Análise de Biomarcadores Séricos de Dano Hepático
- A função hepática foi avaliada por meio das determinações dos níveis séricos de transaminases (Aspartato aminotransferase (AST), Alanina aminotransferase (ALT)) e bilirrubina total (BT). Em tais determinações, foram utilizados kits reagentes da Labtest Diagnóstica S.A., e as análises foram realizadas conforme instruções do fabricante (Labtest, Lagoa Santa-MG).
e) Preparo dos Homogeneizados Para Avaliação do Estresse Oxidativo
O tecido hepático foi retirado para avaliação dos parâmetros oxidativos, Substâncias Reativas ao Ácido Tiobarbitúrico (TBARS), Glutationa Reduzida (GSH) e Catalase (CAT). Para determinação de TBARS e CAT foi preparado um homogeneizado de fígado em tampão fosfato 0,2 M pH 7,4, e para determinação de GSH foi preparado um extrato ácido com ácido tricloroacético $12\%$. As amostras foram misturadas em homogeneizador e centrifugados a 12000 rpm por 4 min à $4 ^ { \circ } \mathrm { C }$.As alíquotas necessárias foram utilizadas nos testes propostos e o restante foi armazenado congelado.
fAvaliação dos Parâmetros Oxidativos
A avaliação da peroxidação lipídica foi realizada através da determinação dos níveis hepáticos de TBARS. Este método avalia o dano celular, como descrito por Bird e Draper (1984), e baseia-se na oxidação provocada por espécies reativas de oxigênio em biomoléculas tais como lipídios, carboidratos, ácidos nucléicos, levando à formação de substâncias que reagem com o ácido tiobarbitúrico (TBARS). O nível da lipoperoxidação é indicado pela formação de malondialdeído (MDA) e outras substâncias que reagem ao TBARS. A absorbância foi monitorada a 535nm. A concentração de TBARS na amostra foi calculada a partir da curva analítica de MDA e os resultados foram expressos como μmol de MDA/mg de proteína.
A avaliação da concentração de GSH foi realizada pelo método de Tietze (1969). Grupamentos sulfidrilas da GSH interagem com DTNB (ácido 5.5'- ditiobis (ácido 2-nitrobenzóico), obtendo-se o GSTNB (forma oxidada da GSH), há liberação de TNB (ácido 5- tio-2-nitrobenzóico). Sendo assim, a intensidade de cor produzida pelo TNB é diretamente proporcional à atividade da glutationa redutase sobre a GsTNB e dos níveis de GSH intracelular. A absorbância foi monitorada a 412 nm. Os resultados foram expressos em mM/mg proteína.
Atividade da enzima antioxidante CAT foi avaliada pelo método descrito por Aebi (1984), que quantifica a velocidade de decomposição do peróxido de hidrogênio (10mM) em 240nm, pela enzima presente nas amostras. Os resultados foram expressos em mol ${ \sf H } _ { 2 } \mathrm { O } _ { 2 } / \mathrm { m i n } / \mathrm { m g }$ de proteína.
A determinação do teor proteico das amostras foi realizada por dosagem espectrofotométrica através da curva padrão de albumina bovina pela técnica de Lowry (1951).
### d) Processamento Histológico
As amostras para análise histológica foram fixadas em formalina tamponada neutra a $10\%$ embebida em parafina, cortadas na espessura de $4 \mu \mathsf { m }$ coradas com hematoxilina e eosina; posteriormente avaliadas por microscopia óptica e classificadas conforme os seguintes escores: escore 0 (sem necrose); escore 1 (necrose $< 10\%$ do fígado); escore 2 (necrose entre $10\%$ do fígado); escore 3 (necrose entre $25 \mathrm { - } 50\%$ do fígado); escore 4 (necrose $50\%$ do fígado) (LIU et al., 2018).
### e) Análise Estatística
Para análise estatística os resultados da dosagem da AST, ALT, BT, TBARS, GSH e CAT, foram tabuladosutiizandooftwaricrosoftExce analisados estatisticamente no programa Prisma 9.0.0.
A diferença entre os grupos foi comparada pelo teste ANOVA ONE-WAY seguido pelo teste de Turkey de múltiplas comparações. As diferenças observadas durante a análise foram consideradas estatisticamente significativas quando a probabilidade foi menor que 0,05 $( 5\% )$.
## III. RESUlTadOS
### a)Biomarcadores Séricos de Dano Hepático
A administração de uma dose toxica de 500 mg/Kg de APAP em camundongos Swiss (G2) aumentou significativamente os níveis séricos de AST, ALT e BT (Figura 2), quando comparado ao grupo controle (G1). Os grupos tratados com EBUM 100 (G4) e 500 mg/Kg (G5) preveniram significativamente $( \mathsf { p } < \mathrm { ~ \mathsf { 0 } ~ }, 0001 )$ - dano hepático induzido por APAP, quando comparado ao grupo G2. O grupo G3 trato com silimarina 100 mg/Kg foi capaz de prevenir significativamente $( \rho < \ 0.0001$ )o aumento dos níveis séricos de BT e AST induzido pelo APAP sem, no entanto, reduzir os níveis de ALT.
Conforme pode ser observado na Figura 2, os animais tratados somente com EBUM (G6 e G7) não apresentaram modificações no nível sérico de ALT, AST e BT quando comparado ao grupo controle (G1) que recebeu somente salina.


 Figura 2: Análise de biomarcadores séricos de dano hepático em camundongos Swiss intoxicados com dose única de acetaminofeno (500 mg/Kg) e pré-tratados com silimarina ou Extrato de Bagaço de Uva Merlot (EBUM). Aspartato amino transferase (A) e Alanina aminotransferase (A). Cada barra representa a média ±o desvio padrão da média. # $( \mathsf { p } < 0,0001$ ) comparado com G1, $^ { \star } ( \mathsf { p } < 0,0001$ )comparado com G2.
) Biomarcadores Hepáticos de Estresse Oxidativo
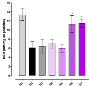
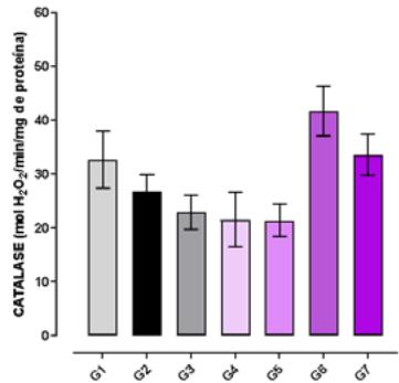
Os resultados mostrados na Figura 3 indicam que o tratamento dos camundongos Swiss com APAP na dose 500 mg/Kg foi capaz de induzir um estresse oxidativo, aumentando significativamente os níveis hepáticos de TBARS e reduzindo os níveis de GSH (Figura 3A e 3B). Quando os animais foram submetidos ao pré-tratamento durante 7 dias com silimarina ou
EBUM o dano hepático oxidativo induzido por APAP foi prevenido (Figuras 3A, 3B e 3C).
Os animais submetidos ao tratamento somente com EBUM (G6 e G7), melhoram as defesas antioxidantes com redução significativa (G7) nos níveis de TBARS (Figura 3A).
 Panel label: A.
 Panel label: B.
 Figua Efeito do Extrato de Bagaço de Uva Merlot (EBU) nos parâmetros de estresse oxidativo em camundongos Swiss intoxicados com dose única de acetaminofeno $( 500 \mathrm { \ m g / K g ) }$. Ácido Tiobarbitúrico (TBARS). Glutationa reduzida (GSH). Catalase (CAT). Cada barra representa a média ± o desvio padrão da média. # $( \mathsf { p } < 0,0001 )$ ) comparado com grupo controle G1; \*\*\* $( \mathsf { p } < 0,0001$ ) comparado com G2; * $( \mathsf { p } < 0,05 )$ comparado com G1.
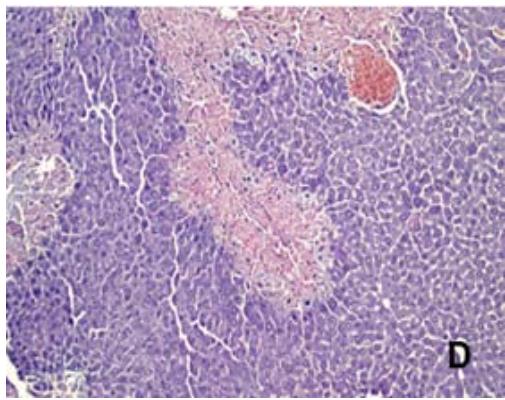
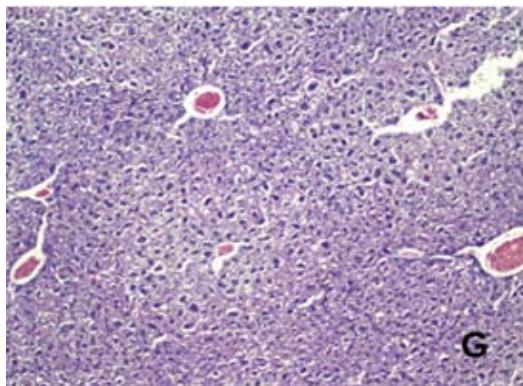
### c) Análise Histológica
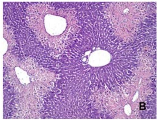
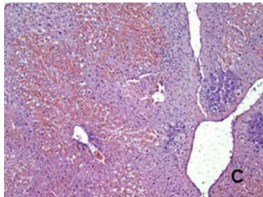
Na análise histológica, observou-se que o G2 (Tabela 1 e Figura 4B), que recebeu uma dose de APAP (500 mg/kg), apresentou necrose centrolobular multifocal, com predominância no escore 3 (3/6, $50\%$ ) ou seja, apresentando um nível de necrose de até $50\%$ do fígado. O G3 (Tabela 1 e Figura 4C) que recebeu pré-tratamento com silimarina (100mg/ Kg), demonstrou predominância nos escores 3 (2/6, $33,3\% )$ e 4 (2/6, $33,3\% )$, apresentando um nível de necrose hepático de
0 G6 e G7 não apresentaram desenvolvimento de necrose, mostrando morfologia hepática normal similar ao G1, conforme a Tabela 1 e Figuras 4A, 4F e 4G.
$50\%$ na maioria dos animais. O G4 (Tabela 1 e Figura 4D), que recebeu a dose de APAP $( 500 \mathrm { \ m g / k g ) }$ e pré- tratamento com EBUM (100 mg/Kg), exibiu predominância do escore 3 (4/6, 66,6%), mostrando um nível de necrose de até $50\%$ do fígado. O G5, que recebeu a dose de APAP (500mg/kg) e pré-tratamento com EBUM (500 mg/Kg), houve predominância do escore 2 (4/6, 66,6%), (Tabela 1 e Figura 4E), com um nível de necrose hepática igual ou inferior a $25\%$.
Tabela: Análise Histológica do tecido hepático de camundongos tratados com EBUM, classificadas por escore.
<table><tr><td>Grupos</td><td>APAP</td><td>N</td><td></td><td colspan="4">Escore [n (%)]</td></tr><tr><td></td><td></td><td></td><td>0</td><td>1</td><td>2</td><td>3</td><td>4</td></tr><tr><td>Grupo1</td><td>-</td><td>6</td><td>6 (100)</td><td>0 (0)</td><td>0 (0)</td><td>0 (0)</td><td>0 (0)</td></tr><tr><td>Grupo 2</td><td>500 mg/kg</td><td>6</td><td>0 (0)</td><td>1(16.7)</td><td>1(16.7)</td><td>3(50)</td><td>1 (16,7)</td></tr><tr><td>Grupo 3</td><td>500 mg/kg</td><td>6</td><td>0 (100)</td><td>1 (16,7)</td><td>1 (16,7)</td><td>2 (33,3)</td><td>2 (33,3)</td></tr><tr><td>Grupo 4</td><td>500 mg/kg</td><td>6</td><td>1 (16,7)</td><td>1 (16,7)</td><td>0 (0)</td><td>4(66,6)</td><td>0 (0)</td></tr><tr><td>Grupo 5</td><td>500 mg/kg</td><td>6</td><td>0(0)</td><td>0 (0)</td><td>4(66,6)</td><td>2 (33,3)</td><td>0 (0)</td></tr><tr><td>Grupo 6</td><td></td><td>6</td><td>6 (100)</td><td>0 (0)</td><td>0(0)</td><td>0(0)</td><td>0 (0)</td></tr><tr><td>Grupo 7</td><td></td><td>6</td><td>6 (100)</td><td>0(0)</td><td>0(0)</td><td>0(0)</td><td>0(0)</td></tr></table>
Escore 0 (sem necrose); escore 1 (necrose $< 10\%$ do fígado); escore 2 (necrose entre $10 \mathrm { - } 25\%$ do fígado); escore 3 (necrose entre $25 \mathrm { - } 50\%$ do fígado); escore 4 (necrose $> 50\%$ do fígado). Esses resultados podem ser visualizados na Figura 4, que inclui fotomicrografias representativas e a porcentagem de área de necrose hepática.






 FAnálisehistopatológicao tecido hepáticocamundogos Swiss intoxicados codosúicaacetaminof iotatagtiai çõot ivtoopticaqãt quantoFieesentauotivamenteagns fora corada hematoxilina e eosina (HE) e capturadas com um aumento de $100 \times$.
## IV. DIScussÃo
Estudos demonstraram toxicidade e injúria no fígado, induzidos por doses elevadas de APAP (S. Torres et al., 2019; Chao et al., 2018; Ramachandran & Jaeschke, 2019), assim como a elevação dos níveis séricos das transaminases e BT, importantes indicadores de lesão hepática. Essas transformações levam a uma alteração da homeostase, elevando a permeabilidade da membrana celular, resultando em edema, perda de conteúdo celular e dano aos hepatócitos (Ahmed et al., 2019).
Neste estudo foi observado que o G2, o qual não recebeu nenhum pré-tratamento, apresentou um aumento significativo das atividades da AST, ALT e BT quando comparado ao grupo G1 que recebeu somente solução salina, indicando que a dose de 500 mg/Kg foi capaz de induzir o dano hepático. O decréscimo da atividade da AST pelo G3, G4 e G5, quando comparado ao G2 mostrou que a silimarina (G3), assim como o EBUM (G4 e G5) possuem efeito hepatoprotetor frente ao APÀP. Outros estudos corroboram com estes achados quando o dano hepático foi induzido por tetracloreto de carbono e os animais tratados com silimarina ou extrato de bagaço de uva (Papackova et al. 2018, Miao et al. 2023).
A atividade da BT demonstrou significativo decréscimo frente ao uso do bagaço de uva, quando comparados os grupos G3, G4 e G5 com o G2. Este resultado se mostra similar ao de Chupradit et al. (2022) que através da ingestão do resveratrol, polifenol encontrado no bagaço da uva, demonstrou melhora na atividade da BT e das enzimas hepáticas. Resultado de estudo de Andrade et al. (2021) também evidenciam que o teor de polifenóis e flavonóides contidos no EBUM possuem alta capacidade antioxidante e com isso possível efeito hepatoprotetor frente a indutores de dano ocasionados pelo estresse oxidativo.
A elevação significativa na concentração de TBARS nos camundongos que receberam overdose de APAP reflete a peroxidação lipídica, um marcador de dano celular. O pré-tratamento com extrato de bagaço de uva resultou em uma redução significativa nos níveis de TBARS nos grupos G4, G5, G6 e G7, indicando uma capacidade eficaz de reduzir a peroxidação lipídica associada ao estresse oxidativo. Esses resultados corroboram com as descobertas de Li et al. (2018), que, ao avaliar os efeitos do extrato de semente de uva em ratos submetidos a uma dieta rica em gordura, observaram uma supressão significativa nos níveis de TBARS, indicando um impacto positivo na redução da peroxidação lipídica hepática. A união desses achados reforça a eficácia do extrato de bagaço de uva na proteção contra danos oxidativos em diferentes contextos experimentais.
O estudo de Choleva et al. (2022) concentrouse no potencial antioxidante do EBU, com ênfase em participantes submetidos a uma refeição padrão com alto teor de gordura. Notavelmente o EBU demonstrou uma redução significativa nos níveis de TBARS, indicando uma capacidade eficaz de diminuir a peroxidação lipídica associada ao estresse oxidativo. Essa diminuição persistente sugere um impacto antioxidante consistente do EBUM nesse grupo específico.
A GSH desempenha um papel fundamental na neutralização de espécies reativas de oxigênio e na detoxificação de compostos prejudiciais. Este achado é consistente com estudos anteriores, como o de Queiroz (2022), que destacou a importância da glutationa na detoxificação de substâncias tóxicas, incluindo o APAP. O aumento nos níveis de GSH sugere uma capacidade do EBUM, 100 mg/kg e 500 mg/kg em fortalecer a propriedade antioxidante endógena do fígado. O estudo de Ugan et al. (2023), corrobora com o presente estudo mostrando que o aumento de GSH é importante para prevenir danos hepáticos induzidos pelo APAP.
Papackova et al. (2018), em condições semelhantes a este estudo, verificaram uma diminuição acentuada nos níveis de GSH após a administração de APAP, assim como demonstrando nos grupos que receberam o pré-tratamento com silimarina ou EBÚM (G3, G4 e G5) quando comparado ao grupo que recebeu somente o APAP (G2).
O pré-tratamento com EBUM foi capaz de reduzir o dano hepático oxidativo induzido pelo APAP, diminuindo a peroxidação lipídica sem, no entanto, aumentar os níveis hepáticos de GSH ou a atividade da CAT, como observado na Figura 3B e 3C. Estes achados sugerem que a presença de fenóis no extrato de bagaço de uva pode ter atuado como um hepatoprotetor uma vez que, a peroxidação lipídica foi reduzida. Esses resultados alinham-se com os achados de Chedea et al. (2019), que também observaram um aumento na atividade da CAT em suínos submetidos a uma dieta enriquecida com bagaço de uva, sugerindo uma resposta similar em diferentes modelos animais. Li et al. (2019) em seu estudo observaram que ratos alimentados com uma dieta rica em gordura apresentaram níveis diminuídos de CAT, entre outras enzimas antioxidantes. No entanto, a suplementação com extrato de semente de uva, especialmente na concentração mais elevada, resultou em uma recuperação significativa dos níveis de CAT, indicando uma resposta positiva do antioxidante frente ao estresse oxidativo provocado pela dieta rica em gordura. Esses achados complementam os resultados obtidos no estudo atual, reforçando a capacidade do EBUM, especialmente em concentrações específicas, de modular a atividade da CAT em situações de estresse oxidativo.
O EBUM quandoadministrado nas concentrações de 100 mg/Kg ou 500 mg/Kg (G6 e G7) mostram-se seguros visto não ter alterado os níveis séricos das enzimas hepáticas AST, ALT e BT, além de ter melhores desempenhos frente à parâmetros analisados de estresse oxidativo, evidenciado pela determinação da GSH (Figura 3B). A morfologia das células hepáticas também não foi alterada, conforme demonstrado nas Figuras 4F e 4G.
Os resultados relatados nos grupos G6 e G7 atestaram ainda a segurança e a eficácia do uso do EBUM, nas concentrações de 100 mg/kg e 500 mg/kg quando analisados os parâmetros de estresse oxidativo induzido pelo APAP. Este achado pode estar relacionado aos teores de polifenóis e flavonóides encontrados no EBUM. O teor desses compostos já foi retratado no estudo de Andrade et al. (2021) o qual afirmou sobre os efeitos benéficos do EBU Bordeaux, na redução do estresse oxidativo.
A análise histológica fornece uma perspectiva morfológica das alterações hepáticas, corroborando os achados dos marcadores séricos. O estudo de S. Torres et al., 2019) mostraram que a administração combinada de ácido valpróico (VPA) e APAP em camundongos resultou em lesão hepática marcante e necrose centrolobular, em acordo com o presente estudo, que evidenciou a predominância de necrose centrolobular no G2, o qual recebeu overdose de APAP, dado consistente com a toxicidade hepática induzida pela mesma substância.
O G5, que recebeu a dose de 500 mg/kg de APAP e pré-tratamento com 500 mg/kg de EBUM demonstrou predominância do escore 2, ou seja, com nível de necrose igual ou inferior à $25\%$, indicando que esta concentração foi hepatoprotetora, quando comparada ao G4 e G3. Essa relação dose-resposta destaca a eficácia do extrato em preservar a integridade do tecido hepático.
Os grupos G6 e G7, que receberam apenas o EBUM, não apresentaram desenvolvimento de necrose, indicando um perfil de segurança e ausência de toxicidade associada ao EBUM. Ugan et al. (2023) em estudo recente ratifica o uso de fisetina, um flavonóide encontrado em diversas frutas, em promover a proteção dos danos hepáticos induzidos por APAP.
## V. CONcluSÃO
Os compostos presentes no bagaço de uva mostraram resultados positivos quanto a atividade hepatoprotetora e antioxidante. Diante do que foi apresentado, evidenciou-se a atividade hepatoprotetora do extrato de bagaço de uva, nas concentrações de 100 mg/kg e 500 mg/kg, como demonstrado na redução significativa das enzimas hepáticas AST e ALT e da bilirrubina, redução do estresse oxidativo (TBARS e GSH) e da necrose hepática induzida pelo APA.
Conforme demonstrado, as atividades antioxidantes e hepatoprotetoras dos compostos presentes no EBUM poderiam gerar novas alternativas em fármacos que atuassem na proteção das células hepáticas, associados à medicamentos agressores ou na prevenção de doenças como na esteatose hepática, visto que uso de medicamentos naturais com propriedades antioxidantes vem sendo alvo de consumidores.
Embora o estudo tenha constatado resultados positivos frente à necrose hepática, algumas limitações podem ter contribuído para um desfecho mais assertivo. O uso de apenas um tipo de uva, assim como a dose de EBUM estudado; utilização de apenas um agente agressor (APAP); o número limitado de camundongos; análise de outras enzimas associadas à biotransformação, como do citocromo P450 e de marcadores inflamatórios poderiam trazer resultados mais evidentes.
Sugere-se que investigações futuras explorem diferentes doses do extrato, variedades de uvas ou métodos de administração para elucidar melhor os efeitos potenciais do bagaço de uva. Estudos voltados para alvos moleculares específicos podem proporcionar uma compreensão mais aprofundada dos mecanismos envolvidos na atividade hepatoprotetora e antioxidante desses compostos.
### AgraDECimeNtos
Por fim, expressamos nossa profunda gratidão ao Grupo de Pesquisa Translacional em Moléculas Bioativas, a Fundação de Amparo à Pesquisa e Inovação do Estado de Santa Catarina - FAPESC, pelo financiamento concedido ao _ projeto intitulado "SUBPRODUTOS DA VINIFICAÇÃO: INVESTIGAÇÃO DO POTENCIAL FARMACOLÓGICO PARA APLICAÇÃO COMO UM PRODUTO FARMACÊUTICO OU COSMÉTICO", projeto aprovado na Chamada Pública FAPESC (número 15/2021) - Programa de Ciência, Tecnologia e Inovação de Apoio a Grupos de Pesquisa da Associação Catarinense das Fundações Educacionais - ACAFE aprovado pela FAPESC à Dra. Claudriana Locatelli coordenadora do projeto. Reconhecemos também o Programa de Pós-Graduação em Desenvolvimento e Sociedade da Universidade Alto Vale do Rio do Peixe UNIARP e ao Programa de Pós-Graduação em Biociências e Saúde da Universidade do Oeste de Santa Catarina - UNOESC pela oportunidade e suporte oferecidos. Este trabalho foi possível graças ao comprometimento e colaboração de todos os envolvidos, e sua contribuição é inestimável para o avanço da ciência. Agradecemos sinceramente a todos que tornaram este estudo uma realidade.
Generating HTML Viewer...
References
35 Cites in Article
H Aebi (1984). Unknown Title.
Hugo Aebi (1984). [13] Catalase in vitro.
Hijab Ahmed,Johanna Hannan,John Apolzan,Oluwatobiloba Osikoya,Spencer Cushen,Steven Romero,Styliani Goulopoulou (2019). A free-choice high-fat, high-sucrose diet induces hyperphagia, obesity, and cardiovascular dysfunction in female cycling and pregnant rats.
Lucas Andrade,Fernanda Hollas,Claudriana Locatelli (2021). ANTIOXIDANT AND PHOTOPROTECTOR EFFECT FROM GRAPE MARC HYDROALCOHOLIC EXTRACT: IN VITRO ASSAYS/ EFEITO ANTIOXIDANTE E FOTOPROTETOR DO EXTRATO HIDROALCOÓLICO DE BAGAÇO DE UVA: ENSAIOS IN VITRO.
R Bird,H Draper (1984). [35] Comparative studies on different methods of malonaldehyde determination.
M Blieden,L Paramore,D Shah,R Ben-Joseph (2014). A perspective on the epidemiology of acetaminophen exposure and toxicity in the United States.
Ioana Bocsan,Dan Măgureanu,Raluca Pop,Antonia Levai,Ștefan Macovei,Ioana Pătrașca,Veronica Chedea,Anca Buzoianu (2022). Antioxidant and Anti-Inflammatory Actions of Polyphenols from Red and White Grape Pomace in Ischemic Heart Diseases.
Chalermrat Bunchorntavakul,K Reddy (2018). Acetaminophen (APAP or N-Acetyl-p-Aminophenol) and Acute Liver Failure.
Xiaojuan Chao,Hua Wang,Hartmut Jaeschke,Wen‐xing Ding (2018). Role and mechanisms of autophagy in acetaminophen‐induced liver injury.
Veronica Chedea,Laurentiu Palade,Rodica Pelmus,Catalin Dragomir,Ionelia Taranu (2019). Red Grape Pomace Rich in Polyphenols Diet Increases the Antioxidant Status in Key Organs—Kidneys, Liver, and Spleen of Piglets.
M Choleva,E Matalliotaki,S Antoniou,E Asimomyti,A Drouka,M Stefani,M Yannakoulia,E Fragopoulou (2022). Postprandial metabolic and oxidative stress responses to grape pomace extract in healthy normal and overweight/obese women: A randomized, doubleblind, placebo-controlled crossover study.
Supat Chupradit,Dmitry Bokov,Mohammad Zamanian,Mahsa Heidari,Elham Hakimizadeh (2022). Hepatoprotective and therapeutic effects of resveratrol: A focus on anti‐inflammatory and antioxidative activities.
Renan Dezena,Sthéfani Schiavon,Matheus Landi,Gustavo Da Silva,Gisele Gonçalves (2023). Effectiveness of resveratrol as a hepatoprotector in a rat model of paracetamol-induced liver injury.
F Haghighatdoost,A Gholami,M Hariri (2020). Effect of grape polyphenols on selected inflammatory mediators: A systematic review and meta-analysis randomized clinical trials.
Li Li,Wang Huali,Ai Min,Pan Jian (2018). Prevention of Obesity-Induced Nonalcoholic Fatty Liver Disease Using Grape Pomace Extract.
Wei Liu,Zi Wang,Jin-Gang Hou,Yan-Dan Zhou,Yu-Fang He,Shuang Jiang,Ying-Ping Wang,Shen Ren,Wei Li (2018). The Liver Protection Effects of Maltol, a Flavoring Agent, on Carbon Tetrachloride-Induced Acute Liver Injury in Mice via Inhibiting Apoptosis and Inflammatory Response.
Michele Lunardelli,Matheus Becker,Carine Blatt (2020). TRADUÇÃO E VALIDAÇÃO DE ALGORITMO PARA IDENTIFICAÇÃO DE LESÃO HEPÁTICA INDUZIDA POR MEDICAMENTOS.
E Macedo,L De,V Zancanaro,C Locatelli (2020). Produtos Antioxidantes Com Atividade Contra a Hepatotoxicidade Induzida Pelo Acetominofeno em Ensaios in Vivo: Uma Revisão Sistêmatica de Literatura.
D Mancilha,C Oliveira,S Figueiredo,F De Araújo Paula,M Rodrigues,D Carneiro,S Duarte (2020). Revista Farmácia Generalista.
Wenjun Miao,Rong Huang,Xiaoli Huang,Fei Gao,Xiangpeng Leng,Qiu Li (2023). Physicochemical Properties and In Vivo Hepatoprotective Effect of Polysaccharides from Grape Pomace.
J Moreira (2016). Intoxicações por paracetamol : metabolismo, mecanismos de toxicidade e novas abordagens da terapêutica.
M Nascimento,S (2019). Unknown Title.
C Oliveira,B Costa (2021). Hepatotoxicidade Causada Pelo Uso Excessivo do Paracetamol.
I Queiroz (2022). Análise temporal da hepatotoxicidade induzida peloparacetamol.
Universidade Federal De Ouro Preto Unknown Title.
A Ramachandran,H Jaeschke (2019). Acetaminophen hepatotoxicity.
Beatriz Ribeiro,Leonardo De Andrade,Sebastian Rinaldi Neto (2023). OS RISCOS DO USO INDISCRIMINADO E IRRACIONAL DO PARACETAMOL..
G Silva,Chiozzi Da,A Watanabe,S Tomás Gonçalves,E Louro,R Kenji Nakamura Cuman (2023). Lesão hepática induzida pela Fenitoína.
Piter Sousa,Mayana Andrade,Ana Mendes,Maria De Souza,Lucielly De Carvalho,Ana Ramos,Christian Nolasco,Bárbara Pires,Cleber Leite,Brian Dos Santos (2023). HEPATOTOXICIDADE POR PARACETAMOL.
Frank Tietze (1969). Enzymic method for quantitative determination of nanogram amounts of total and oxidized glutathione: Applications to mammalian blood and other tissues.
Luciana Torres,Patrícia Oliveira,Cibério Macêdo,Thaísa Wanderley (2019). HEPATOTOXICIDADE DO PARACETAMOL E FATORES PREDISPONENTES.
Explore published articles in an immersive Augmented Reality environment. Our platform converts research papers into interactive 3D books, allowing readers to view and interact with content using AR and VR compatible devices.
Your published article is automatically converted into a realistic 3D book. Flip through pages and read research papers in a more engaging and interactive format.
This study investigated the benefits of Merlot grape pomace extract (EBUM) in experimental acetaminophen-induced intoxication. Swiss mice received the respective treatments for 7 days: Control (saline), Silymarin (100 mg/Kg), EBUM: 100 mg/Kg and 500 mg/Kg. On the seventh day, the acetaminophen control, Silymarin and EBUM received a single dose of acetaminophen 500 mg/kg. After 24 hours, the mice were sacrificed, the blood and liver were collected for analysis of serum transaminases (ALT and AST), bilirubin, hepatic markers of oxidative stress and histopathological analysis. EBUM was able to prevent acetaminopheninduced hepatic necrosis with a significant reduction (p
Our website is actively being updated, and changes may occur frequently. Please clear your browser cache if needed. For feedback or error reporting, please email [email protected]
Thank you for connecting with us. We will respond to you shortly.