## I. INTRODUÇÃO
tumor neuroendocrino é derivado das celulas enterocromafins-like nas criptas de Lieberkuhn. Considerado raro, com incidência de 1-2/100.000 habitantes, mas esta vem augmentando com o advento de melhores tecnicas diagnósticas. O local mais comumente acometido é o trato gastrointestinal (TGI), afetando principalmente intestino delgado, apéndice cecal e reto.
A maioria dos casos é assintomática, sentindo o diagnóstico não tardio. Esse, tem por base da dosagem de aminas, comumente secretadas pelos tumores, além da tomografia computadorizada, exame de escolha para determinar metástases. O tratamento curativo é a ressecção cirúrgica do tumor.$^{1,3}$O objetivo deste trabalho é relatar um caso$^{4}$de tumor neuroendocrino localizado no ileo distal e ressaltar a importância do diagnóstico e ressecção precoce.
## II. RELATO DE CASO
J. B. S., 56 anos, encaminhado ao Hospital Municipal de Maringá - PR queixando-se de dor abdominal difusa, tipo cólica, de forte intensidade há 20 horas, associada à vômitos. Sem-history de perda de peso prévia, febre ou hiporexia e astenia. Portador de hipertensão arterial sistêmica (HAS), Diabetes Mellitus tipo 2 e hipercolesterolemia. Em uso de Metformina, Losartana, Sinvastatina, Gliclazida e Omeprazol. Tabagista (30征求意见) e etilista social. Sem-history familiar para neoplasias. No exame físico, bom estado geral, descorado $1 + / 4+$, hidratao, afebril, eupneico. Pressão arterial 140/80 mmHg, frequência cardíaca 80 bpm, frequência respiratória 18 rpm e temperatura
$36,8^{\circ}C$. Abdome: globoso, flácido, peu distendido e timpânico, doloroso à palpação difusamente, mais intenso em fossa ilíaca direita, ruidos hidroáreos presentes. Sem dor a descompressação.
Apresentou: Hb 16,3 g/dl; VG de $49.3\%$; 12.650 leucocitos/mm3; 4% de bastões e 256.000 plaquetas e Proteina C reativa (PCR) de 19,8 mg/l (Referência: até 5mg/l). Tomografia Computadorizada (TC): "Discrete aumento do conteudo liquido/gasoso no intestino delgado com algunos níveis hidroáreos;PEGua quantidade de liquido livre na cavidade pelvica; diverticulos no sigmoide sem processo inflamatório". Paciente foi submetido à laparotomia exploradora por abdome agudo obstruito. No intra-operatório, identificado poucoera quantidade de liquido livre, grande distensão de todo o delgado, a partir do ângulo de Treitz até seu terço médio, com punto abrupto de aconteamento no qual a palpação identificou-se nódulo endurecido e aderida à luz intestinal, causando a obstruição. Realizada enterectomía segmentar com enteroenteroanastomose mecânia. Paciente iniciou dieta no segundo pos-operatório e receivebu alta no quinto pos-operatório, sem intercorréncias. No anató-mo-patológico da peça: "Neoplasia neuroendocrina bem diferenciada, grau 1 histológico (G1), medindo 0,5 cm no maior eixo, localizo em intestino delgado. A profundidade da invasão foi até a subserosa, com indices mitólico de 1 mitose/10 CGA e estadiamento patológico (TNM, 8a ed, 2017) pT3 pN0. Não foram detectados invasão angiolinfática, necrose tumoral, infiltração perineural, depositos tumorais em mesentério. A margem cirúrgica proximal e distal estavam livres e a margem cirúrgica radial está vivre e distando 1,5 cm da lesão. O tecido adiposo mesentérico está vivre de neoplasia".
Aceite do comité de ética:
CAAE: 35552720.2.0000.5539;
Número do parecer: 4.194.802
## III. DISCUSSão
Os tumores neuroendocrinos (TNE) são tumores bem diferenciados, derivados da hyperplasia e crescimento descentcontrolado do sistema cellularneuroendocrino difuso, que são localizadas em various orgaos, acometendo o TGI $(55\%)$,SYSTEMA respiratorio $(30\%)$ ou locais mais raramente, rins e ovários. Originam-se nas celulas enterocromafins nas cristas de Lieberkuhn e surgem de celulas intra-epiteliais.3, 5 O local mais comum de acometimento é o intestino delgado $(29\%)$, seguido pelo reto $(14\%)$, estomago e apéndice $(5\%)$.6
São neoplasias raras, com incidência de 1-2/100.000 habitantes[1], consideradas um mal silencioso, por ficarem tantos anos assintomáticos (5-7 anos).<sup>7,8</sup> Geralmente o diagnóstico é tardio, embora a incidência dos TNEs vem aumento devido ao advento de melhores tecnicas endoscópicas e de imagem.2 A incidência superou os adenocarcinomas.2 Os fatores de risco mais descriços na literatura são os considerados não comportamentais, com predominança feminina em pacientes com até 60 anos, e maior riscos em afroamericanos, hispanicos e asiáticos, àslem da forte associação entre-history familiar positiva de cancer.9 Outros estudos relatem maior prevalência em homens.1,10
Aparentam ser esporádicos, mas también há um componente genétrico relacionado, a delegação no gene suppressor tumoral PLC beta3 que leva ao crescimento cellular descontrolado. E já foi descririto también em sindromes famírias, neoplasias neuroendocrinas multiplas (NEM-1 e NEM-2) que acometem individuos mais jovens.[11]
De acordo com seu sítio de origem, aparem differentes perfis de produção hormonal: tumores com origem embrionária no intestino anterior (Foregut), acometem o trato respiratório e o timo, na fase adulta, e são responsaveis pela liberação, principalmente de 5-hidroxitriptofano e ACTH, causando rubor facial. Não no intestino medio (Midgut), se manifestam em jejuno, ileo e colón direito, sentido os de maior frequência e com maior liberação de serotonina. [12, 13, 14] Quando originários do intestino posterior (Hindgut), acometem o colón esquerdo e o reto, possuindo baixa Produção de serotonina, sentido assim, rara a apareção como sindrome carcinóide. [12] Na maior dos casos, possuem crescimento lento, o grau de diferenciação e a taxa de proliferação (taxa mitólica e KI-67) predizem o comportamento clínico. [3, 15, 16]
O sintoma mais comum (40%) é a dor abdominal, devido efeito mecanico compressor do tumor, isquemia mesentérica, resposta desmoplásica secundária ao tumor, por comprometimento vascular/metástases e enterorragia.3, 13 Com oavançar da doença, pode surgir a sindrome carcinóide: Rubor facial, diarreia secretría, broncoespaso, cianose e flutuação da pressão arterial.11, 17 Essa sindrome acomete uma minoria dos pacientes e quando ocorre, indica fases mais avançadas da doença e prováveis metástases.11
TNEs possuem grande potencial de metastase estas chances dependentes do tamanho do tumor, localização e grau histológico.18, 19 No caso dos intestinais, quando menos de 1 cm as chances de metastases são circa de $2\%$ e quando maiores que 1-2cm tem chances de $50 - 90\%$.13,20
Devido aos fatores citados acima, as classificações dos tumores neuroendocrinos são complexas e confusas. A maior das classificações, leva em conta principalmente a taxa de proliferação (índice de mitose e Ki-67) e a extensão da disseminação tumoral. Índice ki-67 \<3% classifica o como de baixo grau, de 3-20% grau intermediário e
> 20% de alto grau. Pela classificação da OMS, as neoplasias neuroendocrinas são separatadas eminous 1985年之前,以神经元为基底的细胞群落。在这些细胞群落中,有30%的细胞是神经元,而其余细胞都是神经元。
Quanto a secreção de hormônios, os tumores podem ser classificados em funzonais ou não functionais. São considerados, àsda, como fatores de gravidade o grau de invasão angiolinfática, necrose tumoral, infiltração perineural e a invasão a tecidos vizinhos ou resíduos tumorais nas proximidades.[19, 21] A classificação TNM leva em conta a profundidade/invasão, acometimento de linfonodos e metástases.[22]
De acordo com o atual (oitava edicao, 2017)SYSTEMA DE estadiamento TNM do American Joint Committee on Cancer (AJCC)/Union for International Cancer Control (UICC),esses tumores são divididos em dos groupedismutores jejunoileais (tabela 1) e duodenal/ampola (tabela 2).23
Quando há a suspeita do tumor, os exames indicados são: pesquisa na urinária do acido 5-hidroxiindolacétrico (5-HIAA),util em pacientes com TNEs do intestino medio,PGA. dosagem da cromogranina poais augmentam proporcionalmente com o aumento da carga tumoral.15, 24,25 Quanto aos exames de imagem, poder auxiliar a
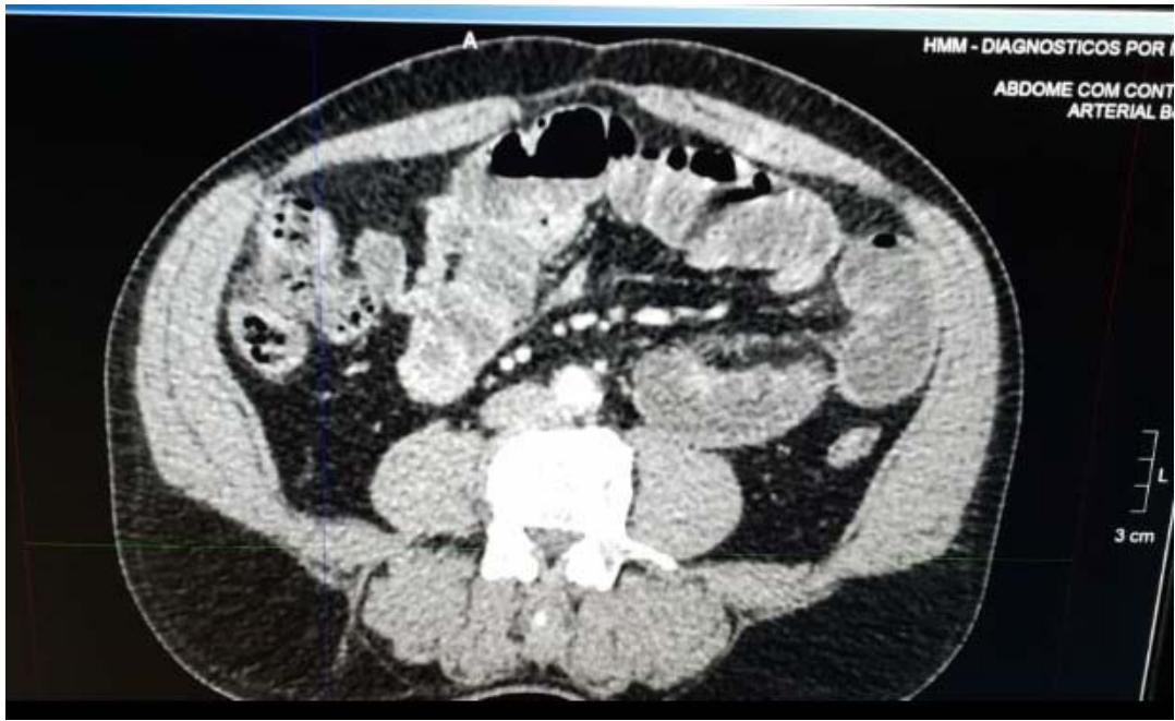
 a) Elementos De Apoio Para Analise Dos Resultados E Discussao i. Tabelas, quadros, figuras e quadros: Imagem 1: Tomografia Computadorizada (TC) do caso relatado tomografia computadorizada (TC), ultrasonografia endoscópica e endorretal (USER), ressonência nuclear magnética (RNM) e videocápsula endoscópica pode ser úteis para diagnóstico, localização e estadiamento da doença.[24]
O tratamento depende do grau do tumor; pacientes com tumores grau 1 e sem metástase, se beneficiam com ressecção local do tumor e tratamento clínico para os sintomas (antagonistes de serotonina); já em casos de metástases irressecáveis ou tumores de graus elevados, o tratamento é a quimioterapia, pode ser beneficiados com terapia antitumoral.[2,3,23,26]
Com relacion ao caso descririto, um TNE bem diferenciado (grau 1), localizo e sem metástases, o tratamento definitivo foi a excisão cirúrgica àsda investigação de outros TNEs no intestino durante a cirurgia, não que em $25\%$ dos casos é encontrarao TNEs multiplos no local.[27,28]
De acordo com um estudo epidemiológico de 2017, foram confirmados como fatores prognósticos, a idade, sexo, local de acometimento, indice de proliferação, grau de diferenciação e estaggio do tumor, sentido que as taxas de sobrevia melhoraram muito com as melhorias na terapia e no reconhecimento mais precoce.[21] A sobrevia nosproximos 10 anos em casos de TNE intestinal depende principalmente do estaggio do tumor, sentido que no estaggio 1 ha $95\%$ de chance; no estaggio 2A ha $95\%$,no estaggio 2B ha $77\%$,no estaggio 3A ha $68\%$,no estaggio 3B ha $77\%$ e no estaggio 4 ha $42\%$.[23,29,30]
Tabela 1: Estadiamento TNM dos tumores neuroendocrinos do jejuno e ileo - AJCC/UICC $8^{\text{a}}$ edicao.
Neuroendocrine tumors of the jejunum and ileum TNM staging AJCC UICC 8th edition
Primary tumor (T)
<table><tr><td>T category</td><td>T criteria</td></tr><tr><td>TX</td><td>Primary tumor cannot be assessed</td></tr><tr><td>T0</td><td>No evidence of primary tumor</td></tr><tr><td>T1</td><td>Invades lamina propria or submucosa and less than or equal to 1cm in size</td></tr><tr><td>T2</td><td>Invades muscularis propria or greater than 1cm in size</td></tr><tr><td>T3</td><td>Invades through the muscularis propria into subserosal tissue without penetration of overlying serosa</td></tr><tr><td>T4</td><td>Invades visceral peritoneum (serosal) or other organs or adjacent structures</td></tr></table>
Regional lymph nodes (N)
<table><tr><td>N category</td><td>N criteria</td></tr><tr><td>NX</td><td>Regional lymph nodes cannot be assessed</td></tr><tr><td>N0</td><td>No regional lymph node metastasis has occurred</td></tr><tr><td>N1</td><td>Regional lymph node metastasis less than 12 nodes</td></tr><tr><td>N2</td><td>Large mesenteric masses (>2 cm) and/or extensive nodal deposits (12 or greater), especially those that encase the superior mesenteric vessels</td></tr></table>
Distant metastasis (M)
Tabela 2: Estadiamento TNM dos tumores neuroendocrinos do duodeno e ampola de Vater - AJCC/UICC $8^{\text{a}}$ edicao.
<table><tr><td>M category</td><td>M criteria</td></tr><tr><td>M0</td><td>No distant metastasis</td></tr><tr><td>M1</td><td>Distant metastasis</td></tr><tr><td>M1a</td><td>Metastasis confined to liver</td></tr><tr><td>M1b</td><td>Metastases in at least one extrahepatic site (eg, lung, ovary, nonregional lymph node, peritoneum, bone)</td></tr><tr><td>M1c</td><td>Both hepatic and extrahepatic metastases</td></tr></table>
Fonte: STROSBERG, Jonathan. Staging, treatment, and post treatment surveillance of nonmetastatic, well-differentiated gastrointestinal tract neuroendocrine (carcinoid) tumors. UpToDate, 2020.
Neuroendocrine tumors of the duodenum and ampulla of Vater TNM staging AJCC UICC 8th edition
T category T criteria TX Primary tumor cannot be assessed T1 Tumor invades the mucosa or submucosa only and is ≤1 cm (duodenal tumors). Tumor ≤1 cm and confined within the sphincter of Oddi (ampullary tumors). T2 Tumor invades the muscularis propria or is >1 cm (duodenal). Tumor invades through sphincter into duodenal submucosa or muscularis propria, or is >1 cm (ampullary). T3 Tumor invades the pancreas or peripancreatic adipose tissue T4 Tumor invades the visceral peritoneum (serosa) or other organs
<table><tr><td>T category</td><td>T criteria</td></tr><tr><td>TX</td><td>Primary tumor cannot be assessed</td></tr><tr><td>T1</td><td>Tumor invades the mucosa or submucosa only and is ≤1 cm (duodenal tumors). Tumor ≤1 cm and confined within the sphincter of Oddi (ampullary tumors).</td></tr><tr><td>T2</td><td>Tumor invades the muscularis propria or is >1 cm (duodenal). Tumor invades through sphincter into duodenal submucosa or muscularis propria, or is >1 cm (ampullary).</td></tr><tr><td>T3</td><td>Tumor invades the pancreas or peripancreatic adipose tissue</td></tr><tr><td>T4</td><td>Tumor invades the visceral peritoneum (serosa) or other organs</td></tr></table>
Regional lymph nodes (N)
<table><tr><td>N category</td><td>N criteria</td></tr><tr><td>NX</td><td>Regional lymph nodes cannot be assessed</td></tr><tr><td>N0</td><td>No regional lymph node involvement</td></tr><tr><td>N1</td><td>Regional lymph node involvement</td></tr></table>
Distant metastasis (M)
<table><tr><td>M category</td><td>M criteria</td></tr><tr><td>M0</td><td>No distant metastasis</td></tr><tr><td>M1</td><td>Distant metastases</td></tr><tr><td>M1a</td><td>Metastasis confined to liver</td></tr><tr><td>M1b</td><td>Metastases in at least one extrahepatic site (eg, lung, ovary, nonregional lymph node, peritoneum, bone)</td></tr><tr><td>M1c</td><td>Both hepatic and extrahepatic metastases</td></tr></table>
## IV. CONCLUSão
Generating HTML Viewer...
References
26 Cites in Article
Célia Maia Cruz (2013). Síndrome de Crowned Dens.
Eduardo Linhares (2011). Tumores neuroendócrinos do intestino delgado: Experiência do Instituto Nacional do Câncer em 12 anos.
Jonathan Strosberg (2019). CARE guidelines for case reports: explanation and elaboration document.
Eugene Woltering (2017). Neuroendocrine Tumors.
Guido Rindi A common classification framework for neuroendocrine neoplasms: an International Agency for Research on Cancer (IARC) and World Health Organization (WHO) expert consensus proposal.
Luis Fernandes,; César,Pucca,; Luiz,Delcio Matos (2002). Diagnóstico e tratamento de tumores carcinóides do trato digestivo.
Irvin Modlin,Andras Sandor An analysis of 8305 cases of carcinoid tumors.
Manal Hassan Risk factors associated with neuroendocrine tumors: A U.S.-based casecontrol study.
Douglas Kamei,Rafael Shiguihara,Fernando Araújo (2020). Neuroendocrine tumor of the small intestine: case report.
Rachel Riechelmann Diretrizes para o tratamento de tumores neuroendócrinos pelo grupo brasileiro de pesquisa em tumos gastrointestinal.
Schilioma Zaterka,J Eiseig (2016). Tratado de Gastroenterologia da Graduação à Pós-graduação. 2a edição.
D Sabiston (2014). Tratado de cirurgia: A base Biológica da prática Cirúrgica Moderna.
Nicole Araujo,; Almeida De,Pantaroto,; André,Célia Oliveira,Tosello De (2012). Tumores neuroendoćrinos: revisaõ de literature.
John Hainsworth,Anthony Greco,Jonathan Strosberg (2020). Neuroendocrine neoplasms of unknown primary site.
Izabela Biazi,; Mendes,Fernando Sesti,Spinosa (2016). Tumor neuroendoćrino de reto: relato de caso.
Aart Van Der Lely,Wouter Herder (2005). Carcinoid syndrome: diagnosis and medical management.
Matias Riihimäki The epidemiology of metastases in neuroendocrine tumors.
Jann Henning,; Neuroendocrine tumors of midgut and hindgut origin: tumor-node-metastasis classification determines clinical outcome.
E Paulson,V Mcdermott,M Keogan,D Delong,M Frederick,R Nelson (1998). Carcinoid metastases to the liver: role of triple-phase helical CT..
David Klimstra,Zhaohai Yang,Alezandre Dal Pizzol,; César (2010). Pathology, classification, and grading of neuroendocrine neoplasms arising in the digestive system.
Jonathan Strosberg,Jonathan Strosberg,Dermot Toole (2019). Diagnosis and Management of Upper Gastrointestinal Neuroendocrine Tumors.
Faidon-Marios; Laskaratos,Martyn Caplin Treatment challenges in and outside a network setting: Gastrointestinal neuroendocrine tumours.
Gianfranco Fave,; Delle ENETS Consensus Guidelines for the management of patients with gastroduodenal neoplasms.
Ulrich-Frank; Pape ENETS Consensus Guidelines for the management of patients with neuroendocrine neoplasms from the jejuno-ileum and the appendix including goblet cell carcinomas.
Arvind Dasari Trends in the Incidence, Prevalence, and Survival Outcomes in Patients with Neuroendocrine Tumors in the United States.
Anna Dolcetta‐capuzzo,Valentina Villa,Luca Albarello,Giulia Franchi,Marco Gemma,Marina Scavini,Saverio Di Palo,Elena Orsenigo,Emanuele Bosi,Claudio Doglioni,Marco Manzoni (2012). Gastroenteric neuroendocrine neoplasms classification: Comparison of prognostic models.
Explore published articles in an immersive Augmented Reality environment. Our platform converts research papers into interactive 3D books, allowing readers to view and interact with content using AR and VR compatible devices.
Your published article is automatically converted into a realistic 3D book. Flip through pages and read research papers in a more engaging and interactive format.
Our website is actively being updated, and changes may occur frequently. Please clear your browser cache if needed. For feedback or error reporting, please email [email protected]
Thank you for connecting with us. We will respond to you shortly.