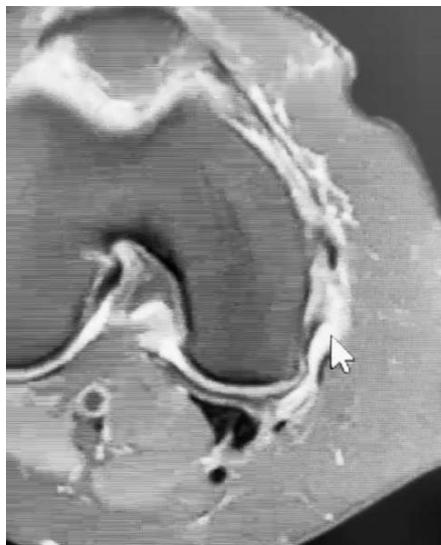
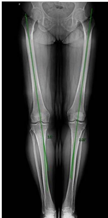
Ligamentopraxia of the Medial Complex in Knees with Medial Conflict

Dr. Marco Antonio Schueda Dr. Marco Antonio Schueda
Dr. Marco Antonio Schueda Dr. Marco Antonio Schueda
Dr. Marco Antonio Schueda
Dr. Marco Antonio Schueda
Universidade do Contestado

Send Message

To: Author

Ligamentopraxia of the Medial Complex in Knees with Medial Conflict

Article Fingerprint

ReserarchID

FYP13

Ligamentopraxia of the Medial Complex in Knees with Medial Conflict Banner

AI TAKEAWAY

Connecting with the Eternal Ground
  • English
  • Afrikaans
  • Albanian
  • Amharic
  • Arabic
  • Armenian
  • Azerbaijani
  • Basque
  • Belarusian
  • Bengali
  • Bosnian
  • Bulgarian
  • Catalan
  • Cebuano
  • Chichewa
  • Chinese (Simplified)
  • Chinese (Traditional)
  • Corsican
  • Croatian
  • Czech
  • Danish
  • Dutch
  • Esperanto
  • Estonian
  • Filipino
  • Finnish
  • French
  • Frisian
  • Galician
  • Georgian
  • German
  • Greek
  • Gujarati
  • Haitian Creole
  • Hausa
  • Hawaiian
  • Hebrew
  • Hindi
  • Hmong
  • Hungarian
  • Icelandic
  • Igbo
  • Indonesian
  • Irish
  • Italian
  • Japanese
  • Javanese
  • Kannada
  • Kazakh
  • Khmer
  • Korean
  • Kurdish (Kurmanji)
  • Kyrgyz
  • Lao
  • Latin
  • Latvian
  • Lithuanian
  • Luxembourgish
  • Macedonian
  • Malagasy
  • Malay
  • Malayalam
  • Maltese
  • Maori
  • Marathi
  • Mongolian
  • Myanmar (Burmese)
  • Nepali
  • Norwegian
  • Pashto
  • Persian
  • Polish
  • Portuguese
  • Punjabi
  • Romanian
  • Russian
  • Samoan
  • Scots Gaelic
  • Serbian
  • Sesotho
  • Shona
  • Sindhi
  • Sinhala
  • Slovak
  • Slovenian
  • Somali
  • Spanish
  • Sundanese
  • Swahili
  • Swedish
  • Tajik
  • Tamil
  • Telugu
  • Thai
  • Turkish
  • Ukrainian
  • Urdu
  • Uzbek
  • Vietnamese
  • Welsh
  • Xhosa
  • Yiddish
  • Yoruba
  • Zulu
Font Type
Font Size
Font Size
Bedground

Generating HTML Viewer...

References

44 Cites in Article
  1. David Felson,Allan Naimark,Jennifer Anderson,Lewis Kazis,William Castelli,Robert Meenan (1987). The prevalence of knee osteoarthritis in the elderly. the framingham osteoarthritis study.
  2. D Hamerman (1995). Clinical implications of osteoarthritis and ageing..
  3. J Ledingham,M Regan,A Jones,M Doherty (1993). Radiographic patterns and associations of osteoarthritis of the knee in patients referred to hospital..
  4. A Guccione,D Felson,J Anderson,J Anthony,Y Zhang,Pwf Wilson,M Kelly-Hayes,P Wolf,B Kreger,W Kannel (1994). The effects of specific medical conditions on the functional limitations of elders in the Framingham study.
  5. Paul Dieppe,Kenneth Brandt (2003). What is important in treating osteoarthritis? Whom should we treat and how should we treat them?.
  6. Felix Eckstein,Michael Schnier,Michael Haubner,J??rgen Priebsch,Christian Glaser,Karl-Hans Englmeier,Maximilian Reiser (1998). Accuracy of Cartilage Volume and Thickness Measurements With Magnetic Resonance Imaging.
  7. O Schipplein,T Andriacchi (1991). Interaction between active and passive knee stabilizers during level walking.
  8. A Baliunas,D Hurwitz,A Ryals,A Karrar,J Case,J Block,T Andriacchi (2002). Increased knee joint loads during walking are present in subjects with knee osteoarthritis.
  9. D Hurwitz,A Ryals,J Case,J Block,T Andriacchi (2002). The knee adduction moment during gait in subjects with knee osteoarthritis is more closely correlated with static alignment than radiographic disease severity, toe out angle and pain.
  10. T Miyazaki,M Wada,H Kawahara,M Sato,H Baba,S Shimada (2002). Dynamic load at baseline can predict radiographic disease progression in medial compartment knee osteoarthritis.
  11. L Sharma,D Hurwitz,E Thonar,J Sum,M Lenz,D Dunlop,T Schnitzer,G Kirwanmellis,T Andriacchi (1998). Knee Adduction Moment, Serum Hyaluronan Level, and Disease Severity in Medial Tibiofemoral Osteoarthritis.
  12. Leena Sharma,J Song,D Felson,Sbs Cahue,Ems Shamiyeh,D Dunlop (2001). The Role of Knee Alignment in Disease Progression and Functional Decline in Knee Osteoarthritis.
  13. L Sharma,D Dunlop,T Andriacchi,K Hayes,J Song,S Cahue,A Ryals,A Chang,D Hurwitz (2003). The adduction moment and knee osteoarthritis (OA): a longitudinal study.
  14. Rui Cerejo,Dorothy Dunlop,September Cahue,David Channin,Jing Song,Leena Sharma (2002). The influence of alignment on risk of knee osteoarthritis progression according to baseline stage of disease.
  15. F Cicuttini,A Wluka,J Hankin,Y Wang (2004). Longitudinal study of the relationship between knee angle and tibiofemoral cartilage volume in subjects with knee osteoarthritis.
  16. Tetsuto Sasaki,Kazunori Yasuda (1987). Clinical Evaluation of the Treatment of Osteoarthritic Knees Using a Newly Designed Wedged Insole.
  17. Kazunori Yasuda,Tetsuto Sasaki (1987). The Mechanics of Treatment of the Osteoarthritic Knee with a Wedged Insole.
  18. K Ogata,M Yasunaga,H Nomiyama (1997). The effect of wedged insoles on the thrust of osteoarthritic knees.
  19. S Crenshaw,F Pollo,E Calton (2000). Effects of lateralwedged insoles on kinetics at the knee.
  20. D Kerrigan,Jennifer Lelas,Joyce Goggins,Greg Merriman,Robert Kaplan,David Felson (2002). Effectiveness of a lateral-wedge insole on knee varus torque in patients with knee osteoarthritis.
  21. Robert Butler,Stephanie Marchesi,Todd Royer,Irene Davis (2007). The effect of a subject‐specific amount of lateral wedge on knee mechanics in patients with medial knee osteoarthritis.
  22. J Giffin,William Stanish,Scott Mackinnon,Donald Macleod (1995). Application of a Lateral Heel Wedge as a Nonsurgical Treatment for Varum Gonarthrosis.
  23. J Maillefert,C Hudry,G Baron,P Kieffert,P Bourgeois,D Lechevalier,A Coutaux,M Dougados (2001). Laterally elevated wedged insoles in the treatment of medial knee osteoarthritis: a prospective randomized controlled study.
  24. T Pham,J-F Maillefert,C Hudry,P Kieffert,P Bourgeois,D Lechevalier,M Dougados (2003). Laterally elevated wedged insoles in the treatment of medial knee osteoarthritis.
  25. Kristin Baker,Joyce Goggins,Hui Xie,Karen Szumowski,Michael Lavalley,David Hunter,David Felson (2007). A randomized crossover trial of a wedged insole for treatment of knee osteoarthritis.
  26. Kim Bennell,Kelly-Ann Bowles,Craig Payne,Flavia Cicuttini,Richard Osborne,Anthony Harris,Rana Hinman (2007). Effects of laterally wedged insoles on symptoms and disease progression in medial knee osteoarthritis: a protocol for a randomised, double-blind, placebo controlled trial.
  27. Haining Peng,Aichun Ou,Xiaohong Huang,Chen Wang,Lei Wang,Tengbo Yu,Yingze Zhang,Yi Zhang (2021). Osteotomy Around the Knee: The Surgical Treatment of Osteoarthritis.
  28. Gunter Spahn,Jürgen Fritz,Dirk Albrecht,Peter Angele,Stefan Fickert,Matthias Aurich,Gunther Hofmann,Phillip Niemeyer (2017). Koinzidenz und Therapie von Beinachsdeviationen bei degenerativen Knorpelschäden des Kniegelenks. Ergebnisse aus dem Deutschen KnorpelRegister DGOU.
  29. Young Na,Beom Lee,Do Hwang,Eun Choi,Jae Sim (2018). Can osteoarthritic patients with mild varus deformity be indicated for high tibial osteotomy?.
  30. Jae Ang,Sim (2018). Unknown Title.
  31. J Crues,J Mink,T Levy,M Lotysch,D Stoller (1987). Meniscal tears of the knee: accuracy of MR imaging..
  32. D Stoller,C Martin,J Crues,L Kaplan,J Mink (1987). Meniscal tears: pathologic correlation with MR imaging..
  33. M Rodrigues (2010). CamanhoGL Avaliação da cartilagem do joelho pela ressonância magnética.
  34. Maria Peccin,Rozana Ciconelli,Moisés Cohen (2006). Questionário específico para sintomas do joelho "Lysholm Knee Scoring Scale": tradução e validação para a língua portuguesa.
  35. Sung-Do Cho,Yoon-Seok Youm,Jong-Hyun Kim,Hye-Yong Cho,Kwang-Ho Kim (2016). Patterns and Influencing Factors of Medial Meniscus Tears in Varus Knee Osteoarthritis.
  36. Uyen-Sa D. T. Nguyen,Yuqing Zhang,Yanyan Zhu,Jingbo Niu,Bin Zhang,David Felson (2011). Increasing Prevalence of Knee Pain and Symptomatic Knee Osteoarthritis: Survey and Cohort Data.
  37. Shane Anderson,A Loeser,R (2010). Why is osteoarthritis an age-related disease? Best.
  38. D Felson (2013). Osteoarthritis as a disease of mechanics.
  39. Ernest Vina,C Kwoh (2018). Epidemiology of osteoarthritis: literature update.
  40. Francis Berenbaum,Ian Wallace,Daniel Lieberman,David Felson (2018). Modern-day environmental factors in the pathogenesis of osteoarthritis.
  41. David Hunter,Sita Bierma-Zeinstra (2019). Osteoarthritis.
  42. Sharon Hame,Reginald Alexander (2013). Knee osteoarthritis in women.
  43. Huibin Long,Xinying Zeng,Qiang Liu,Haidong Wang,Theo Vos,Yunfei Hou,Chutong Lin,Yudian Qiu,Kai Wang,Dan Xing,Yuqing Zhang,Maigeng Zhou,Jianhao Lin (2020). Burden of osteoarthritis in China, 1990–2017: findings from the Global Burden of Disease Study 2017.
  44. Yuqing Zhang,Joanne Jordan (2010). Epidemiology of Osteoarthritis.

Funding

No external funding was declared for this work.

Conflict of Interest

The authors declare no conflict of interest.

Ethical Approval

No ethics committee approval was required for this article type.

Data Availability

Not applicable for this article.

How to Cite This Article

Dr. Marco Antonio Schueda Dr. Marco Antonio Schueda. 2026. \u201cLigamentopraxia of the Medial Complex in Knees with Medial Conflict\u201d. Global Journal of Medical Research - H: Orthopedic & Musculoskeletal System GJMR-H Volume 23 (GJMR Volume 23 Issue H1).

Download Citation

High-quality knee medical research journal article.
Journal Specifications

Crossref Journal DOI 10.17406/gjmra

Print ISSN 0975-5888

e-ISSN 2249-4618

Keywords
Classification
GJMR-H Classification NLM: WE 17.8
Version of record

v1.2

Issue date
June 12, 2023

Language
en
Experiance in AR

Explore published articles in an immersive Augmented Reality environment. Our platform converts research papers into interactive 3D books, allowing readers to view and interact with content using AR and VR compatible devices.

Read in 3D

Your published article is automatically converted into a realistic 3D book. Flip through pages and read research papers in a more engaging and interactive format.

Article Matrices
Total Views: 1217
Total Downloads: 27
2026 Trends
Related Research
Our website is actively being updated, and changes may occur frequently. Please clear your browser cache if needed. For feedback or error reporting, please email [email protected]

Request Access

Please fill out the form below to request access to this research paper. Your request will be reviewed by the editorial or author team.
X

Quote and Order Details

Contact Person

Invoice Address

Notes or Comments

This is the heading

Lorem ipsum dolor sit amet, consectetur adipiscing elit. Ut elit tellus, luctus nec ullamcorper mattis, pulvinar dapibus leo.

High-quality academic research articles on global topics and journals.

Ligamentopraxia of the Medial Complex in Knees with Medial Conflict

Dr. Marco Antonio Schueda
Dr. Marco Antonio Schueda

Research Journals