Male Meiotic and Taxonomical Studies in Withania Somnifera (L.) Dunal

Vishnu Prasad Bhala
Vishnu Prasad Bhala
Rakesh Chandra Verma
Rakesh Chandra Verma
Vikram University

Send Message

To: Author

Male Meiotic and Taxonomical Studies in Withania Somnifera (L.) Dunal

Article Fingerprint

ReserarchID

0464X

Male Meiotic and Taxonomical Studies in Withania Somnifera (L.) Dunal Banner

AI TAKEAWAY

Connecting with the Eternal Ground
  • English
  • Afrikaans
  • Albanian
  • Amharic
  • Arabic
  • Armenian
  • Azerbaijani
  • Basque
  • Belarusian
  • Bengali
  • Bosnian
  • Bulgarian
  • Catalan
  • Cebuano
  • Chichewa
  • Chinese (Simplified)
  • Chinese (Traditional)
  • Corsican
  • Croatian
  • Czech
  • Danish
  • Dutch
  • Esperanto
  • Estonian
  • Filipino
  • Finnish
  • French
  • Frisian
  • Galician
  • Georgian
  • German
  • Greek
  • Gujarati
  • Haitian Creole
  • Hausa
  • Hawaiian
  • Hebrew
  • Hindi
  • Hmong
  • Hungarian
  • Icelandic
  • Igbo
  • Indonesian
  • Irish
  • Italian
  • Japanese
  • Javanese
  • Kannada
  • Kazakh
  • Khmer
  • Korean
  • Kurdish (Kurmanji)
  • Kyrgyz
  • Lao
  • Latin
  • Latvian
  • Lithuanian
  • Luxembourgish
  • Macedonian
  • Malagasy
  • Malay
  • Malayalam
  • Maltese
  • Maori
  • Marathi
  • Mongolian
  • Myanmar (Burmese)
  • Nepali
  • Norwegian
  • Pashto
  • Persian
  • Polish
  • Portuguese
  • Punjabi
  • Romanian
  • Russian
  • Samoan
  • Scots Gaelic
  • Serbian
  • Sesotho
  • Shona
  • Sindhi
  • Sinhala
  • Slovak
  • Slovenian
  • Somali
  • Spanish
  • Sundanese
  • Swahili
  • Swedish
  • Tajik
  • Tamil
  • Telugu
  • Thai
  • Turkish
  • Ukrainian
  • Urdu
  • Uzbek
  • Vietnamese
  • Welsh
  • Xhosa
  • Yiddish
  • Yoruba
  • Zulu
Font Type
Font Size
Font Size
Bedground

Abstract

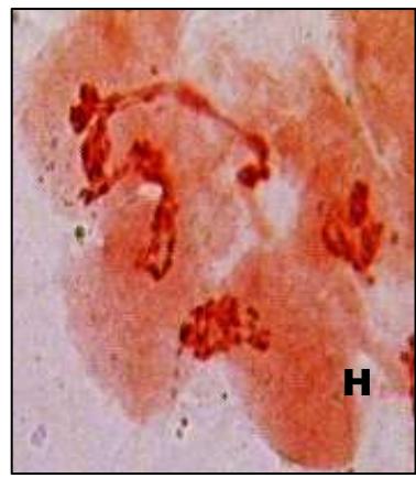
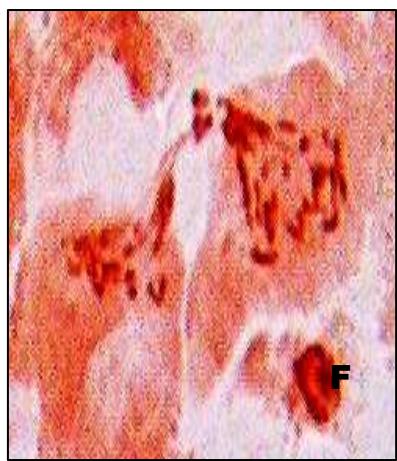
Detailed male meiosis has been made in one species of genus Withania collected from Ujjain region of Madhya Pradesh, India. The study revealed 2n=48 for the species. In addition to this, some cells showed the occurrence of various meiotic irregularities for example, lagging chromosomes (1.76%), chromatin bridges (1.76%) and cytomixis (0.87%). The fertility of pollen grains was also determined which was observed 97.52%. The species are widely used for various medicinal purposes by local/tribal people of the state.

Generating HTML Viewer...

References

24 Cites in Article
  1. Q Ahmad,E Britten,D Byth (1984). Effect of interacting genetic factors and temperature on meiosis and fertility in soybean×Glycine soja hybrids.
  2. A Bajpai,A Singh (2006). Meiotic behavior of Carica papaya L. spontaneous chromosome instability and elimination in important cvs in North Indian conditions.
  3. M Baum,E Lagudah,R Appels (1992). Wide Crosses in Cereals.
  4. Gianni Bedini,Fabio Garbari,Lorenzo Peruzzi (2012). Does chromosome number count? Mapping karyological knowledge on Italian flora in a phylogenetic framework.
  5. Creucí Caetano-Pereira,Maria Pagliarini (2001). A new meiotic abnormality in<i>Zea mays</i>: multiple spindles associated with abnormal cytokinesis in both divisions.
  6. Marta Cifuentes,Laurie Grandont,Graham Moore,Anne Chèvre,Eric Jenczewski (2010). Genetic regulation of meiosis in polyploid species: new insights into an old question.
  7. A De Muyt,R Mercier,C Mezard,M Grelon (2009). Meiotic recombination and crossovers in plants.
  8. W Gottschalk (1978). Open problems in polyploidy research.
  9. Olivier Hamant,Hong Ma,W Cande (2006). GENETICS OF MEIOTIC PROPHASE I IN PLANTS.
  10. Yuannian Jiao,Norman Wickett,Saravanaraj Ayyampalayam,André Chanderbali,Lena Landherr,Paula Ralph,Lynn Tomsho,Yi Hu,Haiying Liang,Pamela Soltis,Douglas Soltis,Sandra Clifton,Scott Schlarbaum,Stephan Schuster,Hong Ma,Jim Leebens-Mack,Claude Depamphilis (2011). Ancestral polyploidy in seed plants and angiosperms.
  11. P Kumar,V Singhal (2008). Cytology of Caltha palustris L. (Ranunculaceae) from cold regions of Western Himalayas.
  12. J Morrison,T Rajhathy (1960). Frequency of Quadrivalents in Autotetraploid Plants.
  13. Sarah Otto,Jeannette Whitton (2000). POLYPLOID INCIDENCE AND EVOLUTION.
  14. L Qu,N Vorsa (1999). Desynapsis and spindle abnormalities leading to 2n pollen formation in Vaccinium darrowi.
  15. P Rai,G Kumar (2010). The genotoxic potential of two heavy metals in inbred lines of maize (Zea mays L.).
  16. Justin Ramsey,Douglas Schemske (1998). PATHWAYS, MECHANISMS, AND RATES OF POLYPLOID FORMATION IN FLOWERING PLANTS.
  17. Claudicéia Risso-Pascotto,Maria Pagliarini,Cacilda Valle (2003). A mutation in the spindle checkpoint arresting meiosis II in<i>Brachiaria ruziziensis</i>.
  18. Masoumeh Rezaei,Ahmad Arzani,Badraldin Sayed-Tabatabaei (2010). Meiotic behaviour of tetraploid wheats (Triticum turgidum L.) and their synthetic hexaploid wheat derivates influenced by meiotic restitution and heat stress.
  19. G Stebbins (1985). Polyploidy, Hybridization, and the Invasion of New Habitats.
  20. V Singhal,D Kaur (2009). Spontaneous occurrence of meiotic spindle abnormalities in 'Long Headed Poppy' (Papaver dubium L.) from Indian cold regions.
  21. Kelian Sun,Kimberly Hunt,Bernard Hauser (2004). Ovule Abortion in Arabidopsis Triggered by Stress.
  22. Douglas Soltis,Victor Albert,Jim Leebens‐mack,Charles Bell,Andrew Paterson,Chunfang Zheng,David Sankoff,Claude De Pamphilis,P Wall,Pamela Soltis (2009). Polyploidy and angiosperm diversification.
  23. L Viccini,C Carvalho (2002). Meiotic chromosomal variation resulting from irradiation of pollen in maize.
  24. Patricia Wadsworth,Wei-Lih Lee,Takashi Murata,Tobias Baskin (2011). Variations on theme: spindle assembly in diverse cells.

Funding

No external funding was declared for this work.

Conflict of Interest

The authors declare no conflict of interest.

Ethical Approval

No ethics committee approval was required for this article type.

Data Availability

Not applicable for this article.

How to Cite This Article

Vishnu Prasad Bhala. 2026. \u201cMale Meiotic and Taxonomical Studies in Withania Somnifera (L.) Dunal\u201d. Global Journal of Science Frontier Research - C: Biological Science GJSFR-C Volume 22 (GJSFR Volume 22 Issue C1).

Download Citation

Male Melotic and Taxonomical Studies in Withinia Samplerang.
Journal Specifications

Crossref Journal DOI 10.17406/GJSFR

Print ISSN 0975-5896

e-ISSN 2249-4626

Keywords
Classification
GJSFR-C Classification DDC Code: 572.877 LCC Code: QH443
Version of record

v1.2

Issue date
April 20, 2022

Language
en
Experiance in AR

Explore published articles in an immersive Augmented Reality environment. Our platform converts research papers into interactive 3D books, allowing readers to view and interact with content using AR and VR compatible devices.

Read in 3D

Your published article is automatically converted into a realistic 3D book. Flip through pages and read research papers in a more engaging and interactive format.

Article Matrices
Total Views: 1688
Total Downloads: 49
2026 Trends
Related Research
Our website is actively being updated, and changes may occur frequently. Please clear your browser cache if needed. For feedback or error reporting, please email [email protected]

Request Access

Please fill out the form below to request access to this research paper. Your request will be reviewed by the editorial or author team.
X

Quote and Order Details

Contact Person

Invoice Address

Notes or Comments

This is the heading

Lorem ipsum dolor sit amet, consectetur adipiscing elit. Ut elit tellus, luctus nec ullamcorper mattis, pulvinar dapibus leo.

High-quality academic research articles on global topics and journals.

Male Meiotic and Taxonomical Studies in Withania Somnifera (L.) Dunal

Vishnu Prasad Bhala
Vishnu Prasad Bhala <p>Vikram University</p>
Rakesh Chandra Verma
Rakesh Chandra Verma

Research Journals