## I. INTRODUCTION
L'ancrage postérieur au niveau de la mandibule a toujours été compliqué à obtenir lors de nos traitements orthodontiques.
Nous avons essayé un grand nombre de vis d'ancrage et de systèmes de plaques qui nous ont donné des résultats cliniques tout à fait acceptables mais qui avaient beaucoup d'inconvénients.
La zone de trigone rétro-molaire présente une muqueuse épaissé et un accès compliqué.
Les systèmes sont souvent difficiles à utiliser et à réactiver pour les orthodontistes. Ils sontgénants pour les patients qui sont féquement blessés, ce qui augmente significativement les rendez-vous d'urgence dans nos cabinets. Pour finir, ils nécessitent tous une réintervention chirurgicale au moment de leur dépose car ils sont enfouis pour être solidement ancrés en distal des dents mandibulaires.
Toutefois, cette zone est très intéressante pour un ancrage orthodontique car distaler des molaires mandibulaires ouvre de nouvelles voies dans de nombreux plans de traitement.
Nosusous sommesinspirésd'une technique developspée dans les annes 1930,par Vitali Abalakov, un alpinisme sovietique. Il revolutionna l'alpinisme en developpant un ancrage infaillible dans la glace, qui lui a permis de réaliser de nombreuses ascensions dans le Caucase.
Cette technique, quiporte son nom, fut une véritable révolution en alpinisme glacière et est encore utilisée de nos jours. Ce système est rapide àmettre en place, peu couteux (ne nécessite qu'un simple morceau de cordelette), très facile à déposer et ne laisse, au final, aucune trace dans la glace.
Il s'agit d'un ancrage d'une grande simplicité puisque ce n'est que la connexion, par une cordelette, de 2 trous dans la glace qui se rejoignent. Il est extrément fiable grâce au pont de glace qui emprisonne la corde.
 Situation finale de l'ancrage, vue de face. La cordelette est emprisonnée par un pont de glace.
Nous avons donc logiquement essayé d'utiliser l'idée géniale de cet alpiniste pour répondre à nos problématiques d'ancrage postérieur à la mandibule.
Nos proposons dans cet article un nouvel ancrage orthodontique, qui comme l'Abalakov dans les années 30, révolutionnera certainement l'ancrage dentaire. Avec cette technique, l'ancrage postérieur mandibulaire est désormais simple, fiable, peu couteux, ne nécessite pas de réintervention chirurgicale, est facilement ré-activable et surtout, est trèscomfortable.
Nos you presentons dans cet article un cas clinique ou une distalisation molaire et un redressement des incisives mandibulaires etait indispensablees afin d'obtenir un résultat de qualite:



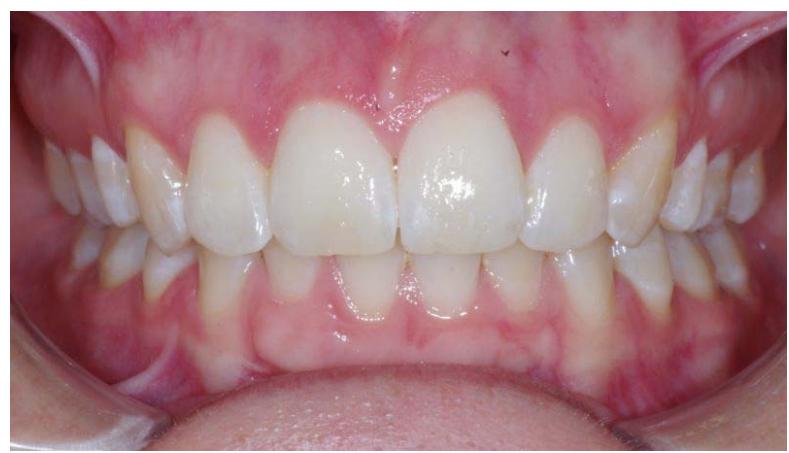
### Examen exobuccal
Cette paciente a déjà été traitée lorsqu'elle était adolescente. Elleprésentait une classe 2 dentaire et squelettique et son orthodontiste lui avait alors extrait quatre prémolaires définitives.
Elle présente aujourd'hui des troubles articulaires avec une limitation d'ouverture buccale, un sourire gingival et une rétogénie.
#### Examen endobuccal
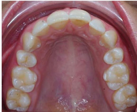
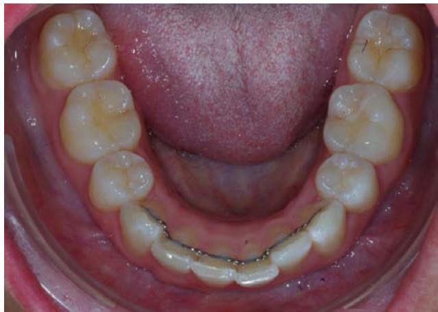
L'examen endobuccal montre une supraclusion incisive, une DDM et un sens transversal correct. Dans le sens sagittal, on note une classe Il dentaire.




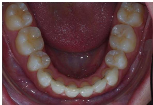
 Examen endobuccal
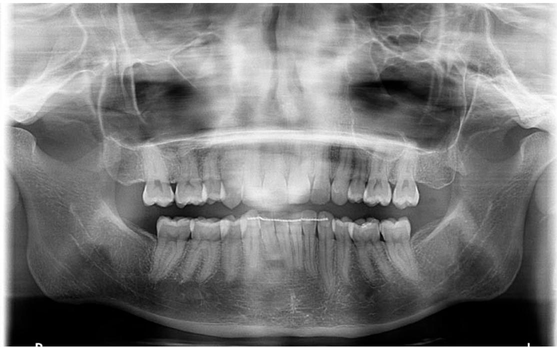
A l'examen radiographique, on observe que les dents de sagesse ont ete enlevees.
 Orthopantomographie de début de traitement.
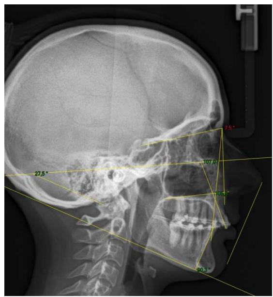
L'examen cephalométrique confirme le diagnostic de classe II squelettique par rétromandibulie et la forte vestibulo-version des incisives mandibulaires $(112^{\circ})$.
 Examen cephalométrique de début de traitement.
### a) Le traitement besoin est le suivant
Un protocole orthodontico-chirurgical d'une durée de 18 mois.
Nos proposons des ancrages mandibulaires de type Abalakov afin de préparer efficacement le geste d'avancée mandibulaire en redressant l'incisive inférieure.
Notre objectif est de distaler les molaires et de retrouver un axe mandibulaire correct de $90^{\circ}$. Cela permettra une propulsion mandibulaire efficace pour corriger la rétrogenie et obtenir une occlusion correcte en classe I avec des axes dentaires normalisés.
La paciente est apparueillee par le Docteur Raphael FILIPPI avec système multi-attache vestibulaire GC Orthodontics auotoligaturant en Roth.022x.028.
Les premiers fils mis en place sont des arcs Bio Edge.020x.020/F200 de chez GC (arcs à mémoire de forme).
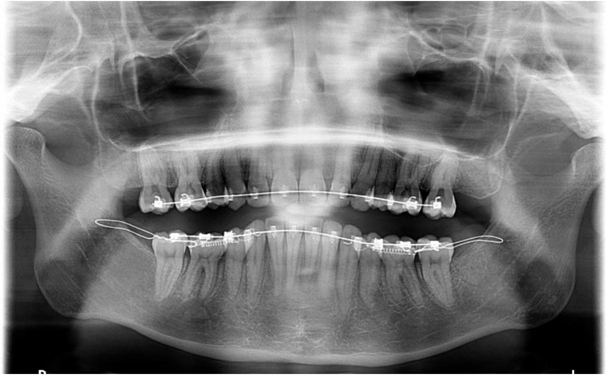
Les ancrages postérieurs mandibulaires par fil d'osteosynthèse sont positionnés par le Dr Paul CRESSEaux.
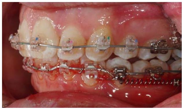
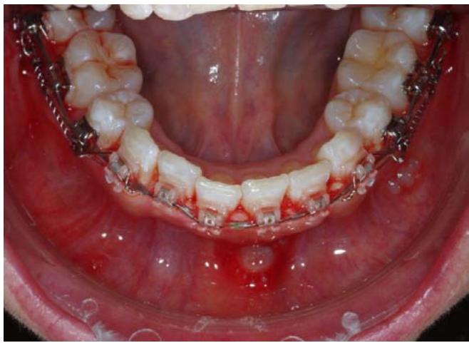
Les ancrages seront mis en place le jour de la pose des attaches et connectés immédiatement aux canines mandibulaires avec des ressorts NiTi de 300g des deux côtés.
Une chainette élastique est mise en place de 33 à 43 afin d'éviter de voir apparaitre des diastèmes entre les dents antérieures lors du recul. Le recul se fait en masse sans aucun effet parasite car la direction de traction est dans l'axe du fil inférieur. La chainette sera changée tous les mois lors des RDV de la paciente.

Orthopantomographie prise lors de la mise en traction du système. Les ressorts sont connectés entre les Abalakov et les canines mandibulaires en traction directe.
### b) La méthode chirurgicale
Nous n'utilisons pas de simples fils d'ostéosynthèse qui étaient utilisés il y a 20 ans, avant l'avènement de l'ostéosynthèse par plaque.
Ils sont placés en regard de la moitié de la hauteur coronaire molaire, ce qui correspond à la hauteur de collage de l'appareil multi-attache.
Ces fils peuvent être insérés sous anesthésie locale (une sedation intraveineuse peut la compléter). L'accès à la branche montante de la mandibule est équivalent à l'accès réalisé pourles extractions des dents de sagesse. Celles-ci sont d'ailleurs souvent extraites lors de l'opération, ce qui permet d'améliorer le recul de l'arcade inférieure donc le redressement incisif.
Une perforation de la branche montante est réalisée, sous irrigation, grâce à une fraise boule montée sur piece à main chirurgicale, afin de faire passer le fil d'osteosynthèse de part et d'autre, en protégeant le nerf lingual.
Un fil d'ostéosynthèse (de $4/10^{\text{ème}}$ de mm de diamètre) est ensuite inséré dans la perforation. Les deux brins seront toronnés et repliés au niveau de l'appareil d'orthodontie pendant le geste chirurgical afin de ne pas génér le patient. La mise en traction par l'orthodontiste peut avoir lieu rapidement après la mise en place du système.
Les suites opérateires sont simples et le plus souvent résumées à celles de l'extraction des dents de sagesse quand elles ont lieu dans le même temps.

L'ancrage est mis en traction par un ressort NiTi de 300 grammes mis en place de façon simple après l'intervention. L'extrémité postérieure du ressort NiTi est fixée sur la partie toronnée du fil d'osteosynthèse.
L'extrémité antérieure du ressort est connectée à l'appareil multi bagues inférieur par une ligature métallique. Il s'agit dans ce cas d'une traction directe.
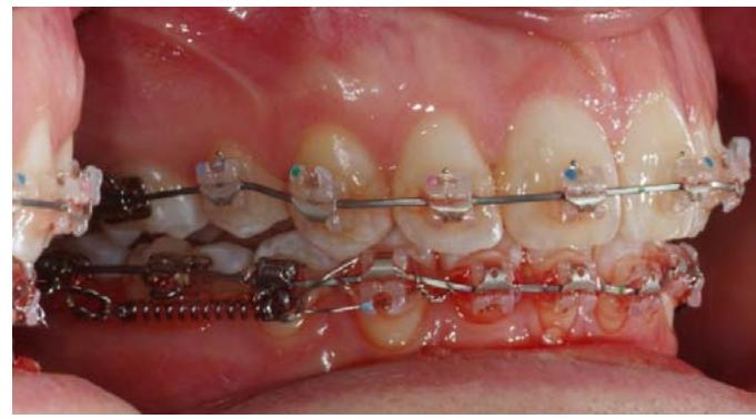
Dans le cas de notre paciente, la distalisation débute sur un arc à mémoire de forme de section.020 x.020.



Vue du système de traction du côté droit, gauche, puis en vue occlusale.
Les premiers résultats sont obtenus rapidement. La traction n'a pas besoin d'être reactivée à chaque rendez-vous.
Au bout de 6 mois de traction, le redressement incisif souhaité est obtenu et nous programmons l'intervention d'avancée mandibulaire.
La comparaison des télé radiographies permet d'objectiver le redressement incisif mandibulaire et la distalisation molaire mandibulaire obtenue. Nous observons également le maintain des axes incisifs au niveau de l'arcade maxillaire.
On note un redressement incisif très important. En effet, l'axe incisif mandibulaire est passé de $112^{\circ}$ à $90.3^{\circ}$ en 6 mois. Une distalisation molaire de 3 MMA également été obtenu. Les axes incisifs maxillaires ont été maintainus, ce qui correspond parfaitement à notre objectif de départ.


Télé radiographies de profil: comparaison entre l'image de début de traitement et l'image de contrôle après 6 mois de traction sur l'ancrage par fil dans la branche montante mandibulaire. L'angle incisif est passé de 112 à $90,3^{\circ}$.
Tout au long du traitement, le patient ne s'est plaint d'aucune gène due à ce système de traction et elle l'a même décrit comme «comfortable». Le système a été déposé au cours de la chirurgie orthognathique. L'opération a été réalisée par le Dr Paul CRESSEAUX, au cours du 7ème mois de traitement.
Grâce au bon redressement des axes incisifs et donc à une phase de décompensation pré-chirurgicale efficace, l'avancée mandibulaire a pu être suffisante et a permis de complètement corriger la classe Il squelettique et dentaire.
La phase de décompensation pré-chirurgicale a été obtenu très rapidement grâce à notre ancrage.
La durée totale de ce traitement orthodontico-chirurgical a donc finalement eté de 15 mois.
Les objectifs squelettiques, dentaires et fonctionnels ont eteatteints.


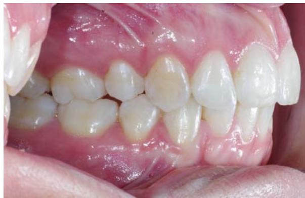
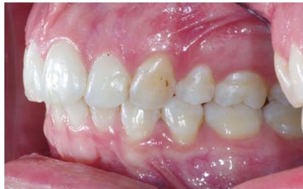
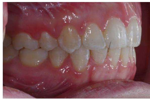
 Photos exobuccales de fin de traitement.




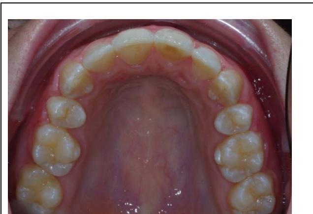
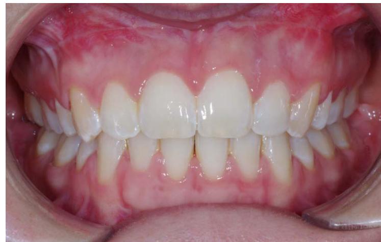
 Photos endobuccales de fin de traitement.
 Examen orthopantomographique de fin de traitement
 Examen cephalométrique de fin de traitement.
## II. CONCLUSION
L'ancrage par fil mandibulaire nous a fait entre dans une nouvelle dimension de l'ancrage orthodontique. comme souvent, les bonnes idees se déclinent dans différents domaines et l'ingéniosité de
Vitali ABALAKOV a révolutionné notre pratique orthodontique au quotidien.
La distalisation de dents mandibulaires est devenue une option orthodontique simple, comfortable pour les patients et aussi pour l'orthodontiste. Les résultats sont prédICTibles et le système ne constitue pas un surcoût pour le patient.
Les préparations orthodontiques des chirurgies d'avancée mandibulaire ou un redressement incisif important est nécessaire peuvent s'envisager sereinement et les indications d'extractions de prémolaires deviennent plus rares. Les corrections purement orthodontiques des classes III dentaires avec un recul des dents mandibulaires seront désormais abordées plus simplement.
Nous avons decide d'un commun accord entre les Docteurs Paul Cresseaux et Raphaël Filippi d'appeler cet ancrage osseux « un ABALAKOV »
Conflits d'intérêt: les auteur déclarent n'avoiraucun conflit d'intérêts
Generating HTML Viewer...
References
23 Cites in Article
Jonghan Yu,Jae Park,Mohamed Bayome,Sungkon Kim,Yoon-Ah Kook,Yoonji Kim,Chang-Hyen Kim (2016). Treatment effects of mandibular total arch distalization using a ramal plate.
Junji Sugawara,Takayoshi Daimaruya,Mikako Umemori,Hiroshi Nagasaka,Ichiro Takahashi,Hiroshi Kawamura,Hideo Mitani (2004). Distal movement of mandibular molars in adult patients with the skeletal anchorage system.
Yoon-Ah Kook,Jae Park,Mohamed Bayome,Sungkon Kim,Eugene Han,Chang Kim (2016). Distalization of the mandibular dentition with a ramal plate for skeletal Class III malocclusion correction.
C Bernard-Granger,R Filippi,P Cresseaux (2017). Quand l'alpinisme vient révolutionner l'ancrage orthodontique.
H-S Park,S-K Lee,O-W Kwon (2005). Group distal movement of teeth using microscrew implant anchorage.
Y-H Oh,H-S Park,T-G Kwon (2011). Treatment effects of microimplant-aided sliding mechanics on distal retraction of posterior teeth.
Fahad Alharbi,Mohammed Almuzian,David Bearn (2018). Miniscrews failure rate in orthodontics: systematic review and meta-analysis.
Y Findik,T Baykul,E Esenlik,M Turkkahraman (2017). Surgical difficulties, success, and complication rates of orthodontic miniplate anchorage systems: Experience with 382 miniplates.
Raymond Lam,Mithran Goonewardene,Brent Allan,Junji Sugawara (2018). Success rates of a skeletal anchorage system in orthodontics: A retrospective analysis.
De Clerck,Eeb Swennen,Grj (2011). Success rate of miniplate anchorage for bone anchored maxillary protraction.
K Chung,S-H Kim,Y Kook (2005). C-orthodontic microimplant for distalization of mandibular dentition in Class III correction.
Kyu-Rhim Chung,Seong-Hun Kim,Hyeran Choo,Yoon-Ah Kook,Jason Cope (2010). Distalization of the mandibular dentition with mini-implants to correct a Class III malocclusion with a midline deviation.
Yan Jing,Xianglong Han,Yongwen Guo,Jingyu Li,Ding Bai (2013). Nonsurgical correction of a Class III malocclusion in an adult by miniscrew-assisted mandibular dentition distalization.
L Poletti,A Silvera,Lth Ghislanzoni (2013). Dentoalveolar class III treatment using retromolar miniscrew anchorage.
Nan-Young Kim,Kyu-Rhim Chung,Seong-Hun Kim,Byambaa Byambaa Ariunzaya,Jin-Young Choi (2018). Upper Molar Distalization Using Biocreative Molar Appliance with Skeletal Anchorage Devices.
Cui Ye,Zhao Zhihe,Qing Zhao,Jun Ye (2013). Treatment Effects of Distal Movement of Lower Arch With Miniscrews in the Retromolar Area Compared With Miniscrews in the Posterior Area of the Maxillary.
J-K Lim,H Jeon,J Kim (2011). Molar distalization with a miniscrew-anchored sliding jig.
Marcel Farret,Milton Farret,Alessandro Farret (2016). Orthodontic camouflage of skeletal Class III malocclusion with miniplate: a case report.
Sung-Jin Kim,Tae-Hyun Choi,Hyoung-Seon Baik,Young-Chel Park,Kee-Joon Lee (2014). Mandibular posterior anatomic limit for molar distalization.
Y Choi,Y-J Kim,K-S Yang,D-Y Lee (2018). Bone availability for mandibular molar distalization in adults with mandibular prognathism.
Kiyoshi Tai,Jae Park,Mutsuhito Tatamiya,Yukio Kojima (2013). Distal movement of the mandibular dentition with temporary skeletal anchorage devices to correct a Class III malocclusion.
Carlos Tavares,Miguel Sheffer,Susiane Allgayer (2018). Surgery first using skeletal anchorage with tandem mechanics for mandibular molar distalization.
Haikun Hu,Jianwei Chen,Jing Guo,Fan Li,Zeping Liu,Shushu He,Shujuan Zou (2012). Distalization of the mandibular dentition of an adult with a skeletal Class III malocclusion.
No ethics committee approval was required for this article type.
Data Availability
Not applicable for this article.
How to Cite This Article
Paul Cresseaux. 2026. \u201cUne Nouvelle Technique D’ancrage Mandibulaire\u201d. Global Journal of Medical Research - J: Dentistry & Otolaryngology GJMR-J Volume 23 (GJMR Volume 23 Issue J1).
Explore published articles in an immersive Augmented Reality environment. Our platform converts research papers into interactive 3D books, allowing readers to view and interact with content using AR and VR compatible devices.
Your published article is automatically converted into a realistic 3D book. Flip through pages and read research papers in a more engaging and interactive format.
Our website is actively being updated, and changes may occur frequently. Please clear your browser cache if needed. For feedback or error reporting, please email [email protected]
Thank you for connecting with us. We will respond to you shortly.