Barnabas Kayalto Nutritional values and varietal characteristics of two Moringa oleifera Lam. morphotypes from Chad
Marcelo Cardoso Da Ventura et al. Diphylla Ecaudata Spix, 1823 in the Caatinga-Cerrado Ecotone: From Feeding Plasticity to Rabies Propagation in Northeastern Brazil
Antonella Marchesi et al. Effect of the Intravaginal Inoculation of Phytobiotics in a Murine Experimental Model
Estephan Mendez De Leon et al. Characterization of Canine Patients with Heart Disease based on Age at the Pet`a Vet Veterinary Clinic in Guatemala City, Guatemala
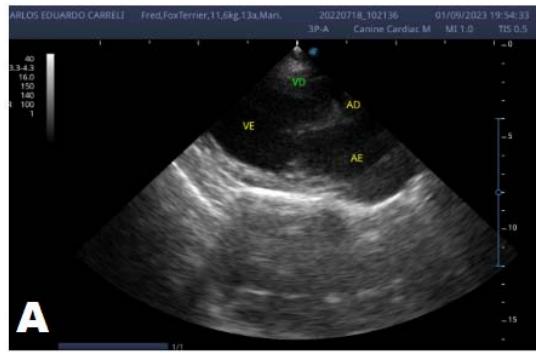
Keren Souza et al. Evolution of Degenerative Myxomatous Mitral Valve Disease in a Canine Fox Terrier: A Case Report
Poberezhets E. et al. Effectiveness of the use of DAFS-25 in the Standard Hepatitis Treatment Regimen for Dogs