Neurological Wilson Disease in a Young Brazilian Adult: A Case Report

Laryssa Garcia de Almeida
Laryssa Garcia de Almeida
Ilana Werneck Augsten
Ilana Werneck Augsten
Yan da Silva Raposo
Yan da Silva Raposo
Hiago Antunis Silva
Hiago Antunis Silva
Patrícia Marques Mendes
Patrícia Marques Mendes
Igor Pereira Matos de Oliveira
Igor Pereira Matos de Oliveira
Eduardo Mendonça Werneck da Silva
Eduardo Mendonça Werneck da Silva

Send Message

To: Author

Neurological Wilson Disease in a Young Brazilian Adult: A Case Report

Article Fingerprint

ReserarchID

73WB2

Neurological Wilson Disease in a Young Brazilian Adult: A Case Report Banner

AI TAKEAWAY

Connecting with the Eternal Ground
  • English
  • Afrikaans
  • Albanian
  • Amharic
  • Arabic
  • Armenian
  • Azerbaijani
  • Basque
  • Belarusian
  • Bengali
  • Bosnian
  • Bulgarian
  • Catalan
  • Cebuano
  • Chichewa
  • Chinese (Simplified)
  • Chinese (Traditional)
  • Corsican
  • Croatian
  • Czech
  • Danish
  • Dutch
  • Esperanto
  • Estonian
  • Filipino
  • Finnish
  • French
  • Frisian
  • Galician
  • Georgian
  • German
  • Greek
  • Gujarati
  • Haitian Creole
  • Hausa
  • Hawaiian
  • Hebrew
  • Hindi
  • Hmong
  • Hungarian
  • Icelandic
  • Igbo
  • Indonesian
  • Irish
  • Italian
  • Japanese
  • Javanese
  • Kannada
  • Kazakh
  • Khmer
  • Korean
  • Kurdish (Kurmanji)
  • Kyrgyz
  • Lao
  • Latin
  • Latvian
  • Lithuanian
  • Luxembourgish
  • Macedonian
  • Malagasy
  • Malay
  • Malayalam
  • Maltese
  • Maori
  • Marathi
  • Mongolian
  • Myanmar (Burmese)
  • Nepali
  • Norwegian
  • Pashto
  • Persian
  • Polish
  • Portuguese
  • Punjabi
  • Romanian
  • Russian
  • Samoan
  • Scots Gaelic
  • Serbian
  • Sesotho
  • Shona
  • Sindhi
  • Sinhala
  • Slovak
  • Slovenian
  • Somali
  • Spanish
  • Sundanese
  • Swahili
  • Swedish
  • Tajik
  • Tamil
  • Telugu
  • Thai
  • Turkish
  • Ukrainian
  • Urdu
  • Uzbek
  • Vietnamese
  • Welsh
  • Xhosa
  • Yiddish
  • Yoruba
  • Zulu
Font Type
Font Size
Font Size
Bedground

Abstract

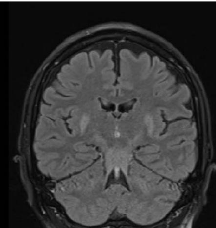
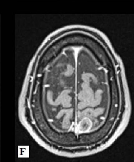
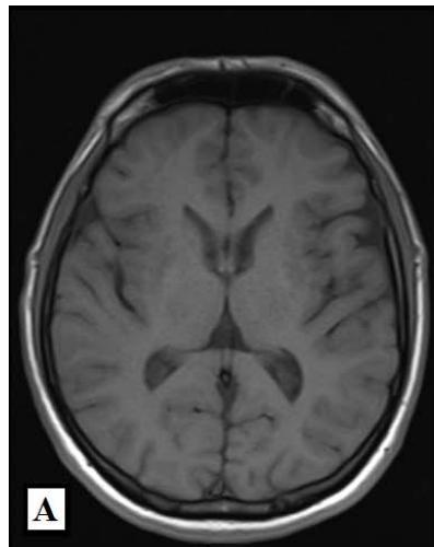
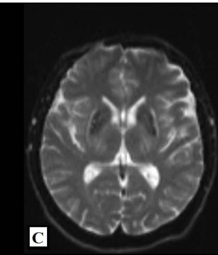
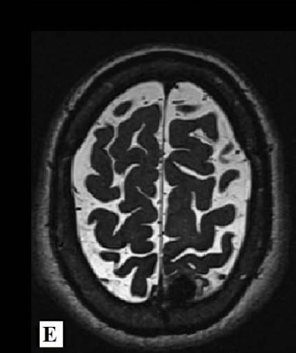
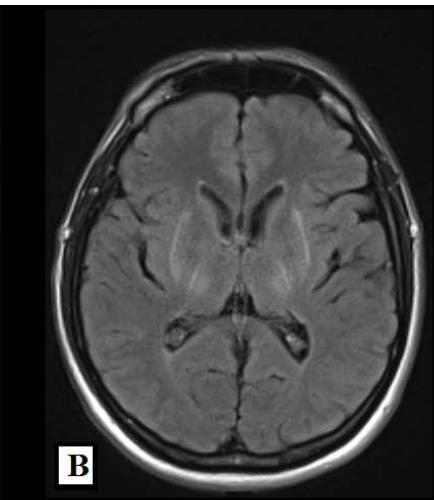
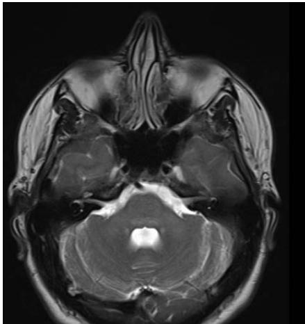
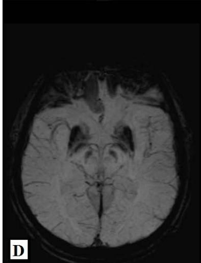
We report a rare case of Wilson’s Disease with neurologic features in a 31-year-old man. This disease consists of a disturbance of copper metabolism secondary to a mutation in the gene responsible for encoding the tissue transporter and the enzyme that incorporates the excess element into bile, generating toxic accumulation in the liver, cornea, and central nervous system. According to his wife, the patient had been treated for an unspecified mood disorder. The clinical picture was characterized by depressive mood, anhedonia, and anxiety. He had his first seizure episode on December 3rd, 2021. He progressed with dysarthria, ataxic gait, dystonia of the right-hand flexor muscles, and intermittent urinary incontinence. Marked worsening was observed after the diagnosis of COVID-19 in February 2022. At the clinical evaluation on March 24th, risorius muscle dystonia (risus sardonicus), resting tremor, and Kayser Fleischer rings at slit-lamp examination was also noted.

Generating HTML Viewer...

References

26 Cites in Article
  1. P Bull,G Tomás,J Rommens,J Forbes,D Cox (1993). The Wilson disease gene is a putative copper transporting P-type ATPase similar to the Menkes gene Bull PC, Thomas GR, Rommens JM, Forbes JR, Cox DW. Nature Genet 1993;5:327–337.
  2. R Tanzi,K Petrukhin,E Chernov,J Pellequer,W Wasco,B Ross (1993). The Wilson disease gene is a copper transporting ATPase with homology to the Menkes disease gene.
  3. M Faoucher,Caroline (2019). The psychopharmacology of Wilson disease and other metabolic disorders.
  4. Peter Hedera (2019). Wilson's disease: A master of disguise.
  5. G Loudianos,V Dessi,M Lovicu,A Angius,A Figus,F Lilliu (1999). Molecular characterization of Wilson disease in the Sardinian population-evidence of a founder effect.
  6. M Reilly,L Daly,M Hutchinson (1993). An epidemiological study of Wilson's disease in the Republic of Ireland..
  7. C Olsson,E Waldenström,K Westermark,U Landegre,A Syvanen (2000). Determination of the frequencies of ten allelic variants of the Wilson disease gene (ATP7B), in pooled DNA samples.
  8. Louise Azevedo Lobo- Lopes,Sebastião Eurico De Melo- Souza,Vicente Filho,Marco Borges (2021). Mielopathy related to copper deficiency after bariatric surgery: case report / Mielopatia relacionada à deficiência de cobre após cirurgia bariátrica: relato de caso.
  9. Eve Roberts,Michael Schilsky (2008). Diagnosis and treatment of Wilson disease: An update.
  10. M Lorincz (2018). Wilson disease and related copper disorders.
  11. Iury Tussolini,Gabrielle Tussolini,João Tussolini,Luciano Pontes,Mario Rocha Junior,Patrícia Da Silva (2023). Doença de Menkes: relato de um caso raro na Amazônia.
  12. Juan Ortiz,Álvaro Morillo Cox,Willians Tambo,Noha Eskander,Martín Wirth,Margarita Valdez,Maria Niño (2020). Neurological Manifestations of Wilson's Disease: Pathophysiology and Localization of Each Component.
  13. J Walshe (1962). Wilson's Disease: The Presenting Symptoms.
  14. T Saito (1987). Presenting symptoms and natural history of Wilson disease.
  15. Walter Oder,Georg Grimm,Harald Kollegger,Peter Ferenci,Barbara Schneider,Lüder Deecke (1991). Neurological and neuropsychiatric spectrum of Wilson's disease: a prospective study of 45 cases.
  16. Alexandre Machado,Hsin Fen Chien,Marta Mitiko Deguti,Eduardo Cançado,Raymundo Soares Azevedo,Milberto Scaff,Egberto Reis Barbosa (2006). Neurological manifestations in Wilson's disease: Report of 119 cases.
  17. James Burke,Praveen Dayalu,Bin Nan,Fred Askari,George Brewer,Matthew Lorincz (2011). Prognostic significance of neurologic examination findings in Wilson disease.
  18. Anna Członkowska,Tomasz Litwin,Karolina Dzieżyc,Michal Karliński,Johan Bring,Carl Bjartmar (2018). Characteristics of a newly diagnosed Polish cohort of patients with neurological manifestations of Wilson disease evaluated with the Unified Wilson’s Disease Rating Scale.
  19. S Rubinstein,A Young,K Kluin,G Hill,A Aisen,T Gabrielsen (1987). Clinical assessment of 31 patients with Wilson's disease. Correlations with structural changes on magnetic resonance imaging.
  20. Edmund Cauza,Theresia Maier-Dobersberger,Claudia Polli,Klaus Kaserer,Ludwig Kramer,Peter Ferenci (1997). Screening for Wilson's disease in patients with liver diseases by serum ceruloplasmin.
  21. Xueying Xu,Sokhon Pin,Muraya Gathinji,Ralph Fuchs,Z Harris (2004). Aceruloplasminemia: An Inherited Neurodegenerative Disease with Impairment of Iron Homeostasis.
  22. Zeynep Tümer (2013). An Overview and Update of<i>ATP7A</i>Mutations Leading to Menkes Disease and Occipital Horn Syndrome.
  23. Peter Ferenci (2004). Pathophysiology and Clinical Features of Wilson Disease.
  24. Matthew Lorincz (2010). Neurologic Wilson's disease.
  25. L Prashanth,S Sinha,A Taly,A.Mahadevan,M Vasudev,S Shankar (2010). Spectrum of epilepsy in Wilson's disease with electroencephalographic, MR imaging and pathological correlates.
  26. Wolfgang Stremmel,Uta Merle,Ralf Weiskirchen (2019). Clinical features of Wilson disease.

Funding

No external funding was declared for this work.

Conflict of Interest

The authors declare no conflict of interest.

Ethical Approval

No ethics committee approval was required for this article type.

Data Availability

Not applicable for this article.

How to Cite This Article

Laryssa Garcia de Almeida. 2026. \u201cNeurological Wilson Disease in a Young Brazilian Adult: A Case Report\u201d. Global Journal of Medical Research - A: Neurology & Nervous System GJMR-A Volume 23 (GJMR Volume 23 Issue A3).

Download Citation

Detailed image from a research journal sample.
Journal Specifications

Crossref Journal DOI 10.17406/gjmra

Print ISSN 0975-5888

e-ISSN 2249-4618

Keywords
Classification
GJMR-A Classification NLM: WL 350
Version of record

v1.2

Issue date
August 2, 2023

Language
en
Experiance in AR

Explore published articles in an immersive Augmented Reality environment. Our platform converts research papers into interactive 3D books, allowing readers to view and interact with content using AR and VR compatible devices.

Read in 3D

Your published article is automatically converted into a realistic 3D book. Flip through pages and read research papers in a more engaging and interactive format.

Article Matrices
Total Views: 1214
Total Downloads: 55
2026 Trends
Related Research
Our website is actively being updated, and changes may occur frequently. Please clear your browser cache if needed. For feedback or error reporting, please email [email protected]

Request Access

Please fill out the form below to request access to this research paper. Your request will be reviewed by the editorial or author team.
X

Quote and Order Details

Contact Person

Invoice Address

Notes or Comments

This is the heading

Lorem ipsum dolor sit amet, consectetur adipiscing elit. Ut elit tellus, luctus nec ullamcorper mattis, pulvinar dapibus leo.

High-quality academic research articles on global topics and journals.

Neurological Wilson Disease in a Young Brazilian Adult: A Case Report

Laryssa Garcia de Almeida
Laryssa Garcia de Almeida
Ilana Werneck Augsten
Ilana Werneck Augsten
Yan da Silva Raposo
Yan da Silva Raposo
Hiago Antunis Silva
Hiago Antunis Silva
Patrícia Marques Mendes
Patrícia Marques Mendes
Igor Pereira Matos de Oliveira
Igor Pereira Matos de Oliveira
Eduardo Mendonça Werneck da Silva
Eduardo Mendonça Werneck da Silva

Research Journals