Colin Calleja Cooperative, Collaborative, and Related Strategies’ Effect on Learning in Children with Autism
Konstantinos Voumvourakis et al. Reliability and Validity Evaluation of the ‘’CLOX: an executive clock drawing task’’ in a Greek Population with Neurological and Autoimmune Diseases
Amelia Dias Teixeira et al. The link between Social Anxiety and Peripheral Inflammatory Markers in patients with Schizophrenia diagnoses
Michael Raymond Binder, M.D et al. A Precision Medicine Approach to the Treatment of Psychiatric Disorders
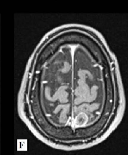
Laryssa Garcia de Almeida et al. Neurological Wilson Disease in a Young Brazilian Adult: A Case Report