## I. INTRODUCTION
Nephroblastoma, or Wilms' tumor, is a renal tumor occurring predominantly in children. It accounts for more than $90\%$ of malignant renal tumors in children and mainly affects children under 5 years of age [1-3]. Nephroblastoma is very different from adult kidney cancer, as it is an embryonic tumor, developing from the metanephros, whose differentiation and proliferation give rise to the kidney [3]. In most Western populations, nephroblastoma accounts for up to $6\%$ of all cancers diagnosed in children. In black populations in North America and Africa, the proportion is about $10\%$ [4]. It is rarely found in adults [5, 6]. In sub-Saharan Africa, nephroblastoma is among the five diseases that account for $70\%$ of childhood cancers [7]. Although Wilms' tumor is often curable in developed countries, affected children in middle-income countries experience poor outcomes. ABDALLAH FK et al in 2001 in an analysis of survival of nephroblastoma in Kenyan patients reported a two-year event-free survival (EFS) of $34.7\%$ 8 which contrasts with the survival rate of over $90\%$ at 5 years in developed countries. However, thanks to the Franco-African Pediatric Oncology Group
(FAOPG), a protocol adapted to the African context where patients are seen late with large abdominal masses has significantly improved the prognosis in French-speaking Africa [7, 9]. Ultrasonography, plays a key role in the management of Wilms' tumor, as the decision to initiate preoperative chemotherapy is made without pathological evidence, according to the 2001 International Society of Pediatric Oncology (ISOP) protocol [2, 10]. Nephroblastoma represents the third most common pediatric cancer (15%) after non-Hodgkin's malignant lymphoma and retinoblastoma according to the study carried out by ABDOUL KD et al in the Bamako pediatric oncology unit [9] in Mali. In the Democratic Republic of Congo (DRC), studies by MPUTU [11], LUNTALA [12], KONGOLO [13], PALANGI [14] and KAZADI [15] in the eighties and nineties had demonstrated that this serious pathology was frequent in our setting and posed a real problem of early diagnosis. A literature review of cases in the pediatric hemato-oncology unit of the CUK had reported between 2000 and 2018 a rate of 13% of cases of nephroblastoma, placing it in 4th position after retinoblastoma, lymphomas and leukemias [16]. Although some studies evaluating the frequency of nephroblastoma on the basis of conventional radiology data have already been carried out [10], no study to date has evaluated the contribution of ultrasonography in the management of nephroblastoma in the hospital setting of Kinshasa; hence the interest of the present study, whose mission is to describe the ultrasonographic profile of nephroblastoma in the university clinics of Kinshasa.
## II. MATERIALS AND METHODS
Type and period of the study: This was a descriptive documentary study of nephroblastoma cases diagnosed in the medical imaging department of the CUK during a period of six years from January 2016 to January 2021. Study population: this study included 45 patients, aged from 1.5 months to 10 years with a median age of 3.0 with extremes (2.0-4.0) years. Thirty patients were male and 15 females. Inclusion criteria: Any patient referred for suspicion of an abdominal mass with a lumbar contact; any patient who had undergone a renal Doppler ultrasound scan; and any patient with a complete medical record. Non-inclusion criteria: The following patients were not included in this study: patients who did not perform a renal Doppler ultrasound, patients who did not perform histopathological analysis after surgery, and patients with incomplete medical records. In relation to the parameters of interest and operational definitions we noted: a) Socio-demographic parameters: including age and sex of the patients;
b) Clinical parameters: including sensation of an abdominal mass with lumbar contact on palpation, hematuria, abdominal pain, altered general condition, digestive disorder and notion of abdominal trauma;
c) Biological parameters: hemoglobin, urea and creatinine;
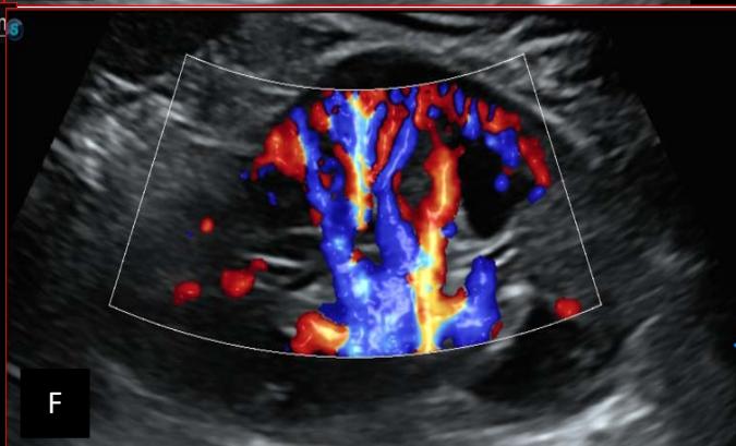
d) Ultrasonographic parameters: b.1) tumor location: right unilateral, left unilateral or bilateral; b.2) the renal take-off point: (upper pole, lower pole, medio renal, toto renal); b.3) the tumor volume, obtained by automatic multiplication of the height (h) times width (l) times thickness (e) with a conversion factor of 0.523 (h x I x e x 0.523); the product is expressed in cm3 or ml; b.4) the echostructure: which can be used to determine the size of the tumor; b.5) the size of the tumor: (h x I x e x 0.523)) the echostructure: which can be solid, mixed (solid-cystic) and or cystic; b.5) the necrotic-cystic zones: defined by the presence of empty patches of echoes within the tumor mass, b.5) the presence or absence of the tumor capsule: defined by a thin layer separating the b.6) Tumor echogenicity: defined by the brightness or not of the tumor in relation to the surrounding structures, which may be hypoechoic, hyperechoic or isoechoic; b.7) Spur sign: defined by the extension of the healthy renal parenchyma progressively connecting to the renal mass (fig.11), b.8) Contours: defined by the limits of the tumor and can be regular or irregular; b.9) Tumor rupture: defined by the presence of a perirenal or peri-tumoral collection, b.10) Calcifications: defined by the presence of intra-tumoral hyperechoic images with or without posterior shadow cone, b.11) displacement of the pyelocal cavities and/or vessels: defined by the displacement of intra-abdominal organs adjacent to the tumor, b.12) compensatory hypertrophy of the contralateral kidney: defined by an increase in size of the breast kidney, b.13) tumor vascularization (fig.12), b.14) loco-regional tumor extension: defined by the invasion of loco-regional structures by the tumor; the latter may be: the renal vein and or the inferior vena cava by a thrombosis (fig.12), the transmedian extension; defined by the overtaking of the median line by the tumor, the latter defined by the linea alba, the intraperitoneal effusion by an attack on peritoneal, the satellite nodule on the homolateral or contralateral kidney, adenomegaly (fig.13), and finally hepatic nodules.
e) The anatomopathological parameters sought were: e.1) the histological type of the tumour: (mixed, stromal, epithelial and blastematous), e.2) risk and stage according to the 2001 SIOP classification, and e.3) grouping of four stages into two main groups: stages I and II: considered as tumors with complete resection and stages III and IV considered as tumors with incomplete resection according to the ultrasonographic characteristics. As for data processing and statistical analysis, it should be noted that the data were collected on a collection form encoded using Excel 2013 software. After verification and cleaning of the database, they were exported to SPSS for Windows version 24 for analysis. Categorical variables were presented as absolute and relative frequencies (%), quantitative variables were summarized by measures of central tendency and dispersion. The mean and its standard deviation were reported for data with a Gaussian distribution; however, those that did not follow the Gaussian distribution were summarized as median and interquartile range (IQR). Pearson's chi-square or Fischer's exact test was used to compare proportions; Student's t-test compared means; and Mann Whitney U-test compared medians. For all tests used, the p value $< 0.05$ was the threshold of statistical significance.
## III. RESULTS
In relation to sociodemographic parameters; the median age in the present study was three years with the extremes ranging from two months to ten years [Figure 1]. The majority of patients were between two and four years of age (44.4%) [Figure 1]. The majority of patients were male (66.7%) with a sex ratio of 2:1 [Figure 2]. Median urea and creatinine values were 20.8 (13.4-27.1) mg/dl for urea and 0.60 (0.45-0.70) mg/dl for creatinine. The overall mean hemoglobin value was $8.5 \pm 1.9$ g/dl [Table 1]. Ultrasonography, was used in forty-five patients, or $100.0\%$. We noted twenty-two tumors in the left kidney, or $48.88\%$, nineteen tumors in the right kidney, or $42.22\%$, and bilateral localization in two patients, or $4.44\%$ [table 2]. The majority of tumors presented a solid, heterogeneous echostructure in twenty-four patients, i.e. $53.33\%$; solid tumors with necrotic-cystic patches were present in nineteen patients, i.e. $42.22\%$ [Table 2]. In relation to flight points: nineteen tumors were upper polar or $42.22\%$, eleven lower polar tumors or $24.44\%$, one mid-polar tumor or $2.22\%$ and twelve total renal tumors or $26.66\%$ [Table 2]. The median value of tumor volume was 985 (665-1196) ml with the extremes ranging from 100 ml to 6127ml. Spur sign was found in twelve patients or $26.66\%$. The tumor contours were irregular in thirty patients or $66.66\%$ and regular in thirteen patients or $28.88\%$ [Table 2]. The tumor capsule was intact in eighteen patients, or $17.77\%$, while tumor rupture was found in three patients, or $6.66\%$ [Table 2]. The pyelocalic cavities were repressed in four patients, or $8.88\%$ [Table 2]. In relation to tumor echogenicity, there were twenty-three hypoechoic tumors, or $51.11\%$ [Table 2]. In boys, twelve patients or $42.9\%$ had hypoechoic tumors, whereas in girls eleven patients or $73.33\%$ had hypoechoic tumors [Table 1-2]. Hyperechoic tumors were found in twelve patients, i.e. $26.66\%$; in boys nine patients, i.e. $32.1\%$ and in girls three patients, i.e. $20\%$ and iso echogenic tumors in eight patients of which seven boys and one girl. We found intra-tumor calcifications in nine patients, or $20\%$ [Table 2]. Compensatory hypertrophy of the contralateral kidney was found in four patients, i.e., $8.88\%$, and tumor vascularization was well objectified in seventeen patients, i.e., $37.77\%$ [Table 2]. The inventory of the parameters of locoregional tumor extension on ultrasonography reveals the following; reflow without invasion of neighboring structures was found in seventeen patients, i.e., $37.77\%$; adenomegaly was found in thirteen patients, i.e., $28.88\%$ [Table 2]. Venous thrombus was found in twelve patients, i.e. $26.66\%$, in five patients, i.e. $11.11\%$, the thrombus was located within the renal vein and in seven patients, i.e. $15.55\%$, the thrombus was located within the inferior vena cava [Table 2]. In seven patients $(15.55\%)$, we found a transmedian extension [Table 2]. Peritoneal fluid effusion was found in five patients $(11.11\%)$ and liver metastases in three patients $(6.66\%)$. The whole group had a median tumor volume of 560.6 (313.9- 843.4) ml [Table 2]. On the anatomopathological level twenty-nine patients, or $64.4\%$ had benefited from a histopathological examination after enlarged total uretero-nephrectomy, among which we note seventeen boys or $58.62\%$ and twelve girls or $26.66\%$ [table 5]. According to the histological types, sixteen patients, i.e. $55.17\%$, presented the mixed type; the stromal and regressive types were found in 3 patients, i.e. $10.34\%$ each; the blastomatous and epithelial types were found in 2 patients each, i.e. $6.89\%$ [Table 5]. We also found one case of partially differentiated cystic nephroblastoma $(3.44\%)$ [Table 5]. According to the tumor stage, stages I and III were in the majority, representing $39.3\%$ each; while stage II represented $17.9\%$ and stage IV $3.6\%$ [Figure 3]. We noted $85.7\%$ of tumors of intermediate risk against $7.1\%$ of low and high-risk tumors in the same proportions [Figure 4].
## IV. DISCUSSION
In our series, the median age in the study population was 36 months with the extremes ranging from 2 months to 120 months. The majority of patients were between 2 and 4 years of age, representing $44.4\%$ of cases. Diakité F et al [17] and Atanda AT et al [18] respectively in Guinea (2012) and Nigeria (2015) had found a mean age of about 5 years. Age extremes ranging from 13 to 130 months in the study of Diakité et al [17]. This difference could be explained by the improved management with the support of GFAOP. Molua, in his final thesis, found extremes of age from 12 to 60 months [1]. This statement is consistent with our observation and those of several authors [2,9,10,19]. In the present study, the male sex was the most affected with a sex ratio of 2/1. Kanté A. et al [20] had noted a slight female predominance. Our observation is similar to those of Atanda AT et al [18] and Diakité F. et al [17]; however, no statistically significant association has been demonstrated. In our series, the clinical signs were dominated by the discovery of abdominal distension $(71.1\%)$, followed by general signs $(44.4\%)$, abdominal mass with lumbar contact $(35.6\%)$, abdominal pain $(31.1\%)$, hematuria $(24.4\%)$, constipation $(2.2\%)$ and trauma $(2.2\%)$. These results are consistent with those of Bouzhir AM et al [21]. according to data from the
National Cancer Institute in the USA \[21\]: asymptomatic abdominal distension: is the most frequent clinical presentation found in children during bathing or dressing. Abdominal pain is seen in $40\%$ of cases; macroscopic hematuria in $18\%$, microscopic hematuria in $24\%$ and hypertension present in almost $25\%$ of patients at the time of discovery of nephroblastoma. The latter is secondary to activation of the renin-angiotensin-aldosterone system. Symptoms of alteration of the general state, namely: anorexia, weight loss and fever may occur in less than $10\%$ of cases. Other manifestations related to complications may also be indicative of nephroblastoma, including vascular obstruction, distant metastases that may be pulmonary or hepatic, pulmonary embolism, collateral venous circulation, and varicocele due to obstruction of the inferior vena cava. Renal function studied by urea and plasma creatinine was normal in our study. This could be explained by the unilaterality of the renal involvement. Indeed, in case of unilateral damage, we think that the remaining healthy renal parenchyma could contribute to the preservation of the function. These data agree with those of Molua [1] and those of the literature. Our study did not find any association with congenital malformations or genetic predisposition syndromes to nephroblastoma. This could be explained by the absence of genetic testing in patients with nephroblastoma in our series. In our series, abdominopelvic Doppler ultrasound was performed in $100.0\%$ of patients. It found a right renal location in 19 patients $(42.22\%)$, a left renal location in 22 patients $(48.88\%)$, i.e. a unilateral involvement of $91.10\%$ and a bilateral involvement in four patients, i.e. $8.89\%$. Bouzhir MA et al [21] note that abdominal ultrasound performed in all patients $(100\%$ of cases) showed a slight predominance of right renal tumors, i.e. $50\%$ and left renal tumors $46.7\%$ of cases; while bilateral involvement $3.3\%$ of cases. Our observations are similar to those of Diakite F. et al [17]. In our study, the majority of tumors had a solid and heterogeneous echoculture in $55.8\%$ of patients. In some previous studies (LAIGLE V. et al in Nantes in 2011), tumor heterogeneity on ultrasonography represented a discriminating feature, nephroblastoma being more heterogeneous than other renal tumors; however, this feature remains at the limit of significance $(p = 0.05)$ and this was not confirmed on ultrasonography. In relation to the flight point in the present series, 19 cases $(44.2\%)$ were superior polar, 11 cases $(25.6\%)$ inferior polar, i.e. a frequency of $69.8\%$ of polar development, 1 case $(2.3\%)$ medial-renal and 12 cases $(27.9\%)$ occupied the entire renal parenchyma. According to the literature, nephroblastoma usually develops at one renal pole but can also be multifocal, disorganizing and displacing normal anatomical elements of the kidney [23,24]. In the present study, the spur sign accounted for $27.9\%$ (12cases). Zrig A. et al [25] in Tunisia in 2014 had found the spur sign in 45 patients out of 113 observations or $39.8\%$. This low rate can be attributed to the large tumor volume at tumor discovery in our series. In most cases, the mass is well limited [23]. In our series, we found masses with irregular contours in $69.8\%$. This high rate of irregularity of the contours could be justified by the initial ultrasound performed at an advanced stage of the tumor. The mass may appear encapsulated [23], in our series we found $41.9\%$ (18 cases) of encapsulated tumor and this could be related to the local stage of the mass (stage I and II and III) which is determined after nephrectomy and histopathological analysis. Most of the tumors were hypoechoic in $53.5\%$ (23 cases), hyperechoic tumors in $27.9\%$ (12 cases) and iso echogenic in $18.6\%$ (8 cases); hypoechoic masses were more noticed in girls, hyper and iso echogenic more noticed in boys with a significant statistical analysis $(p = 0.037)$. However, this data is subject to the small sample size of our study, thus opening up a boulevard for future research that may confirm or refute this hypothesis. Calcifications are possible in renal tumors but not very frequent. They are associated with the corbelling sign, invasion of the medullary canal and forward displacement of the aorta; thus posing a problem of differential diagnosis with neuroblastoma [2]. In our series, we found nine lesions with calcifications $(20.9\%)$, thus arguing in favor of an advanced stage tumor (III or IV); with possibility of incomplete resection at surgery and significant statistical analysis $(p = 0.001)$. In relation to locoregional extension: venous thrombosis is classically described as a sign pointing to a nephroblastoma. In our series, we found 12 patients with venous thrombosis, i.e. $26.66\%$; among them, 5 patients, i.e. $41.66\%$, had benefited from a histopathological analysis after nephrectomy, the diagnosis of nephroblastoma was confirmed. LAIGLE et al [2] found 4 cases of nephroblastoma, two of tumors were non-nephroblastoma, 6 cases $(10\%)$ out of 60 and the 2 cases were false negative on ultrasound and thrombosis present on CT. The high rate of venous thrombosis in this study could be justified by the late discovery of the tumor on the one hand and by the ability of the radiologist to look for it before any case of nephroblastoma on the other. According to the literature [2], it is known that large nodes can be found in reaction to the tumor, without tumor invasion. Their presence may be responsible for false positive lymph node metastases. During the operation, the surgeon has no intraoperative morphological criteria to differentiate metastatic adenopathy from reactionary adenopathy. Only histological data can be used to determine this difference, which is why the SIOP recommends systematic lymph node biopsies. However, their absence could be reassuring as to the lymph node status. In our series, we found thirteen patients $(28.88\%)$ with adenomegaly of which ten patients had undergone nephrectomy and histopathological analysis which showed six patients with completely resected tumors (i.e. stage I and II) and four patients with incompletely resected tumors (i.e. stage III and IV) and the difference was statistically insignificant $(p = 0.609)$, justifying that any adenomegaly would not mean tumor invasion. In our series, we found patients with metastasis in $17.7\%$ or eight patients. Metastases were localized only to the lungs in five patients and to the liver in two patients. The simultaneous localization of the liver and lung in one patient, i.e. a hepatic localization in $37.5\%$ of the metastatic patients, this high rate of liver metastases could be justified by the late discovery of the tumor. In the literature, liver metastases are much rarer [10]. KADRI N. et al in Morocco in 2021 [37], found three patients with liver metastases out of thirteen metastatic patients, i.e. a proportion of $23\%$. These three cases had simultaneous metastases in the lung. MOULOT MO et al [19] in Ivory Coast 2018 had found metastatic cases in $18.6\%$ $(n = 10)$. Chest X-ray was performed in all patients i.e. $100\%$ to look for lung metastasis. In this study $64.4\%$ $(n = 29)$ of patients had undergone histological analysis after extended nephrectomy. All patients had benefited from histology in the studies conducted by LAIGLE V and MOLUA [1,2]. This low rate of histology in our series could be explained by the lack of financial means for some parents, the absence of surgery for some patients, the non-availability of the histological report in the patient's file and death before a possible nephrectomy. However, this cohort remains representative with figures usually described, with a clear predominance of nephroblastoma, representing $93.1\%$ (27 cases) in this series, the figures in the literature range from 87 to $93\%$ [1,2,10,23]. In our study, a large majority of patients presented with intermediate risk tumors at $85.7\%$, whereas FOFANA N.S et al [22] found $62.5\%$ of high-risk tumors. This difference could be explained by the fact that in the latter study only metastatic nephroblastoma's are concerned. Our study is similar to that of BOUZHIR M. A et al [21] and KADRI N. et al [26] who noted a predominance of tumors of intermediate risk respectively of $83.3\%$ and $45\%$. Concerning the ultrasonographic characteristics of the renal tumors according to the clinico-pathological stage; the right location, the regular tumor contours and the spur sign were more associated with tumors with complete resection, whereas the left location, the irregular contours as well as the intra-tumoral calcifications were associated with tumors with incomplete resection with statistically significant analyses for laterality $(p = 0.021)$, contours $(p = 0.014)$, calcifications $(p = 0.001)$. The spur sign did not show a statistically significant analysis $(p = 0.132)$ but there were eight cases or $50\%$ of completely resected tumors versus 2 cases or $20\%$ of incompletely resected tumors. Elements such as reflow without invasion of neighboring structures and pleural effusion pleaded in favour of an incompletely resected tumour but were not statistically significant $(p = 0.092$ and $p = 0.142)$. However, these results are taken with reservation, and we hope to carry out a study with a larger sample to confirm or refute these data. Regarding the limitations of this study, it should be noted that its retrospective nature, the lack of systematic histopathological analysis in all patients, the low rate of CT scan and the lack of nephrectomy in some patients were the main limitations of this study. As strengths: the present series, is a first study performed in our setting and having used cross-sectional imaging (US and CT).
## V. CONCLUSION
This study, which aimed to establish the ultrasonographic profile of nephroblastoma at the university clinics of Kinshasa, allowed us to make the following observations: children under 5 years of age, predominantly male, with a median age of three years, were referred for abdominal bloating, moderate anemia with disturbance of renal function; in whom abdominal palpation revealed an abdominal mass with positive lumbar contact. The ultrasonography performed in all patients with good histopathological correlation showed the following characteristics a predominance of the left renal localization, of a solid, hypoechoic, heterogeneous tumor, with a median tumor volume of 560.6 (313.9-843.4) ml, dotted with necrotic-cystic patches, with as the most frequent upper polar take-off point, a less frequent spur sign, tumor contours frequently irregular in more than half of the patients, less frequent capsular rupture, less frequent compensatory hypertrophy of the contralateral kidney, less frequent intra-tumor vascularization, frequent repression of neighboring organs; Thrombotic impregnation was found in a quarter of patients; peritoneal fluid effusion, adenomegaly and liver metastases were less frequent. On the anatomopathological level, the mixed type was the most frequently encountered, followed by the stromal and regressive types; stages I and III were in the majority and nearly $90\%$ of patients represented the intermediate risk. In view of the above, ultrasonography represents the imaging means adapted to the socioeconomic conditions of our population for the initial diagnosis, the assessment of locoregional and distant extension without forgetting the follow-up of the children having benefited from chemotherapy and surgery.
## VI. PROTECTION OF HUMAN AND ANIMAL
Rights The authors declare that this study did not involve experiments on patients, subjects, or animals. Confidentiality of Data: The authors declare that this study does not contain any personal data that could identify the patient or subject. Funding of the Study This study did not receive specific funding from any public or private institution.
Conflict of Interest Statement: All the authors do not have any possible conflicts of interest.
Frederick Tshibasu Tshienda: writing and proofreading.
#### 2. Oscar Mokambo Eputa: writing and proofreading,
3. René Ngiyulu Makwala: Proofreading.4. Nadia Cherif Idrissi El Ganouni: proofreading, 5. Jean Mukaya Tshibola: proofreading.
Table 1: Distribution of patients according to clinical and biological parameters
<table><tr><td>Parameters</td><td>Whole group
n=45</td><td>Male
n=30</td><td>Female
n=15</td><td>P</td></tr><tr><td>Abdominal distension</td><td>32(71,1)</td><td>22(73,3)</td><td>10(66,7)</td><td>0,447</td></tr><tr><td>Palpated abdominal mass</td><td>16(35,6)</td><td>11(36,7)</td><td>5(33,3)</td><td>0,548</td></tr><tr><td>Hematuria</td><td>11(24,4)</td><td>6(20,0)</td><td>5(33,3)</td><td>0,266</td></tr><tr><td>Abdominal pain</td><td>14(31,1)</td><td>9(30,0)</td><td>5(33,3)</td><td>0,539</td></tr><tr><td>General signs</td><td>20(44,4)</td><td>14(46,7)</td><td>6(40,0)</td><td>0,460</td></tr><tr><td>Digestive disorder</td><td>1(2,2)</td><td>0(0,0)</td><td>1(6,7)</td><td>-</td></tr><tr><td>Notion of trauma</td><td>1(2,2)</td><td>1(3,3)</td><td>0(0,0)</td><td>-</td></tr><tr><td>Urea (mg/dl)</td><td>20,8(13,4-27,1)</td><td>20,5(11,9-29,3)</td><td>21,0(10,2-28,0)</td><td>0,664</td></tr><tr><td>Créatinine(mg/dl)</td><td>0,60(0,45-0,70)</td><td>0,59(0,40-0,70)</td><td>0,60(0,40-0,70)</td><td>0,311</td></tr><tr><td>Hb(g/dl)</td><td>8,5±1,9</td><td>8,8±1,9</td><td>8,9±2,0</td><td>0,879</td></tr></table>
Table 2: Ultrasonographic characteristics according to clinicopathological stages and tumor extension according to stage
<table><tr><td>Variables</td><td>Total resection tumor
n=16</td><td>Incompletely resected
tumor
n=10</td><td>P</td></tr><tr><td>○ Clinical-pathological stages</td><td></td><td></td><td></td></tr><tr><td>Tumor location</td><td></td><td></td><td>0,021</td></tr><tr><td>Right kidney</td><td>11(68,8)</td><td>2(20,0)</td><td></td></tr><tr><td>Left kidney</td><td>5(31,3)</td><td>8(80,0)</td><td></td></tr><tr><td>Echostructure</td><td></td><td></td><td>0,412</td></tr><tr><td>Solid</td><td>10(62,5)</td><td>5(50,0)</td><td></td></tr><tr><td>Mixed</td><td>6(37,5)</td><td>5(50,0)</td><td></td></tr><tr><td>Flight point</td><td></td><td></td><td>0,503</td></tr><tr><td>Superior pole</td><td>9(56,3)</td><td>4(40,0)</td><td></td></tr><tr><td>Lower pole</td><td>5(31,3)</td><td>3(30,0)</td><td></td></tr><tr><td>kidney toto</td><td>2(12,5)</td><td>3(20,0)</td><td></td></tr><tr><td>Spur sign</td><td>8(50,0)</td><td>2(20,0)</td><td>0,132</td></tr><tr><td>Contours</td><td></td><td></td><td>0,014</td></tr><tr><td>Irregular</td><td>7(43,8)</td><td>7(70,0)</td><td></td></tr><tr><td>Regular</td><td>9(56,3)</td><td>3(30,0)</td><td></td></tr><tr><td>Presence of the tumor capsule</td><td>8(50,0)</td><td>5(50,0)</td><td>0,656</td></tr><tr><td>Tumor rupture
(suspicion)</td><td>0(0,0)</td><td>1(10,0)</td><td></td></tr><tr><td>PC cavitydischarge</td><td>0(0,0)</td><td>1(10,0)</td><td></td></tr><tr><td>Echogenicity</td><td></td><td></td><td>0,266</td></tr><tr><td>Hypoechogenic</td><td>11(68,8)</td><td>7(70,0)</td><td></td></tr><tr><td>Hyperechogenic</td><td>2(12,5)</td><td>3(30,0)</td><td></td></tr><tr><td>Isoechogenic</td><td>3(18,8)</td><td>0(0,0)</td><td></td></tr><tr><td>Necrosis</td><td>9(56,3)</td><td>6(60,0)</td><td>0,588</td></tr><tr><td>Hemorrhage</td><td>2(12,5)</td><td>0(0,0)</td><td></td></tr><tr><td>Calcifications</td><td>1(6,9)</td><td>7(70,0)</td><td>0,001</td></tr><tr><td>Hypertrophy compensatory</td><td>1(6,3)</td><td>2(20,0)</td><td>0,323</td></tr><tr><td>Vascularization</td><td>6(37,5)</td><td>3(30,0)</td><td>0,517</td></tr><tr><td>○ Tumor extension according to stage</td><td></td><td></td><td></td></tr><tr><td>Transmedian extension</td><td>2(12,5)</td><td>3(30,0)</td><td>0,274</td></tr><tr><td>Repression without invasion</td><td>6(37,5)</td><td>7(70,0)</td><td>0,092</td></tr><tr><td>Intraperitoneal effusion</td><td>1(6,3)</td><td>3(30,0)</td><td>0,142</td></tr><tr><td>Satellitenodule</td><td>0(0,0)</td><td>1(10,0)</td><td></td></tr><tr><td>Presence of thrombus</td><td>4(25,0)</td><td>1(10,0)</td><td>0,343</td></tr><tr><td>Renalvein</td><td>2(12,5)</td><td>1(10,0)</td><td>0,677</td></tr><tr><td>inferior vena cava</td><td>2(12,5)</td><td>1(10,0)</td><td>0,677</td></tr><tr><td>Proximal segment</td><td>0(0,0)</td><td>1(10,0)</td><td>-</td></tr><tr><td>Presence of adenomegaly</td><td>6(37,5)</td><td>4(40,0)</td><td>0,609</td></tr><tr><td>Hepaticmetastasis</td><td>0(0,0)</td><td>2(20,0)</td><td>-</td></tr></table>
Table 3: Distribution of patients according to parameters of locoregional tumor extension on ultrasonography
<table><tr><td>Variables</td><td>Actual number</td><td>Percentage</td></tr><tr><td>o Histological type of tumors</td><td></td><td></td></tr><tr><td>Mixed type nephroblastoma</td><td>16</td><td>55,2</td></tr><tr><td>Nephroblastoma, stromal type</td><td>3</td><td>10,3</td></tr><tr><td>Nephroblastoma, régressive type</td><td>3</td><td>10,3</td></tr><tr><td>Nephroblastoma blastematous type</td><td>2</td><td>-</td></tr><tr><td>Nephroblastoma epithelial type</td><td>2</td><td>-</td></tr><tr><td>Inflammatory mass</td><td>1</td><td>-</td></tr><tr><td>Partially cystic differentiated nephroblastoma</td><td>1</td><td>-</td></tr><tr><td>Mesoblasticnephroma</td><td>1</td><td>-</td></tr><tr><td>Total</td><td>29</td><td>100,0</td></tr><tr><td>o Tumor risk</td><td></td><td></td></tr><tr><td>Intermediate Risk</td><td></td><td>85,8</td></tr><tr><td>High risk</td><td></td><td>7,1</td></tr><tr><td>Low risk</td><td></td><td>7,1</td></tr><tr><td>Total</td><td></td><td>100</td></tr></table>
 Figure 1: Distribution of children according to age.
 Figure 2: Distribution of children by age.
 Figure 3: Distribution according to tumor stage.
 Figure 4: Distribution by tumor risk.








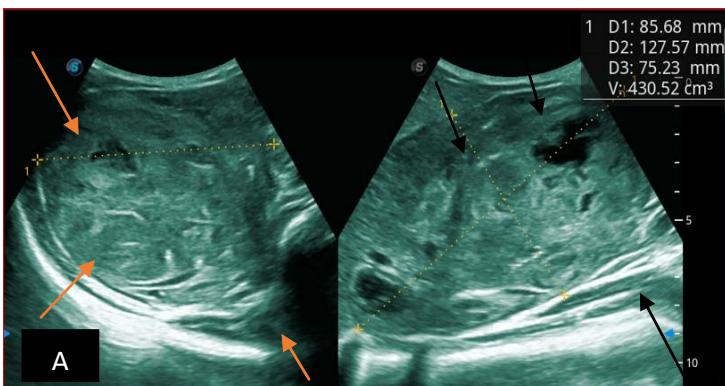
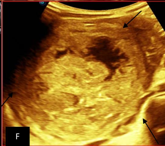
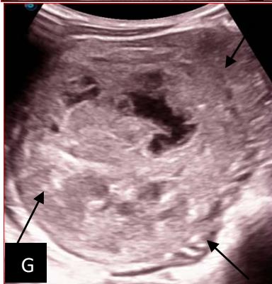
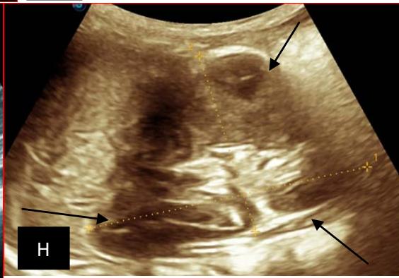
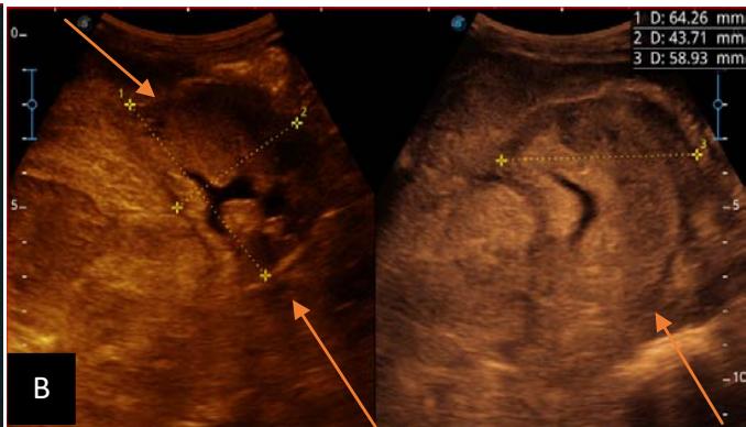
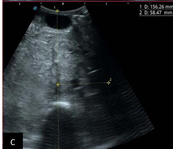
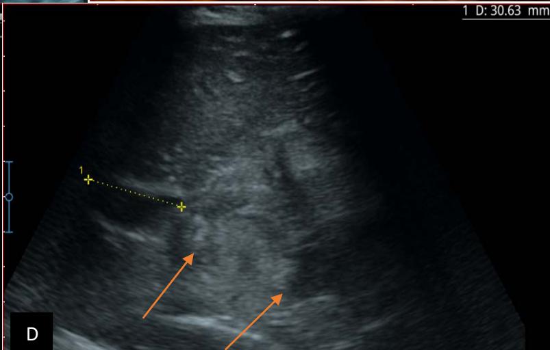
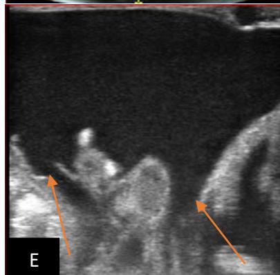
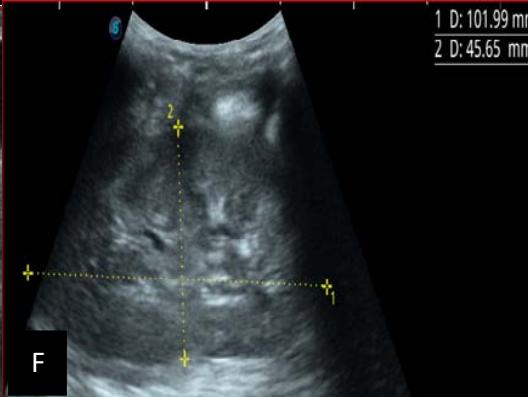
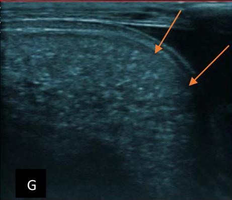
 Figure 5: Abdominopelvic ultrasound control after 6 courses of chemotherapy in the same 3 year old patient with a ruptured left renal nephroblastoma; Images A, F, G, and H: show regression of the solid, endo and exo renal, left nephroblastoma mass treated with 6 courses of chemotherapy (current volume 430 ml vs) Images: B, C, and: show persistence of thrombotic permeation pan vena cava and ipsilateral renal. Image E: shows a volumetric regression of the intra-lesional hematic collection, at the tumor rupture estimated at 34.49 ml VS, Image I: represents the right kidney in B mode which is of normal echoculture. Source: Dr. Frederick Tshibasu Tshienda database.









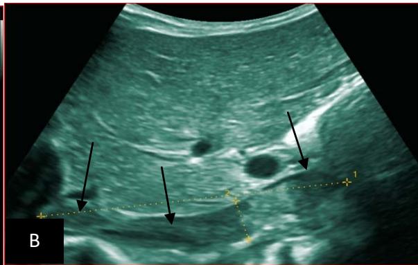
 Figure 6: 9-year-old sickle cell patient, referred for abdominal bloating with significant collateral venous circulation, in whom we noted: Image A: mass, Image B: healthy renal stump, inferior polar; Image C: left transmedian extension, Image D: thrombosis of the vena cava segments: supra, retro and sub hepatic, sparing a part of the supra hepatic vena cava segment over $30~\mathrm{mm}$. Image: Ascites of great abundance, Image F: normal left kidney, Image G: splenic microcalcifications, Image H: celiac adenopathy, Image I: sub pleural pulmonary nodules with the biggest measuring $3.88 \times 3.81 \mathrm{~mm}$, Image j: left pleurisy of great abundance. Source: Dr. Frederick Tshibasu Tshienda database.





 Figure 7: 7-year-old patient with normal renal Doppler ultrasound examination: Images A and B: normal morphology of the right kidney in B-mode; Image C: normal vascularization of the right kidney in color Doppler mode. Images C and D: represent a normal morphology of the left kidney in B mode. Image F: represents normal vascularization of the left kidney in color Doppler mode. Source: Dr. Frederick Tshibasu Tshienda database.



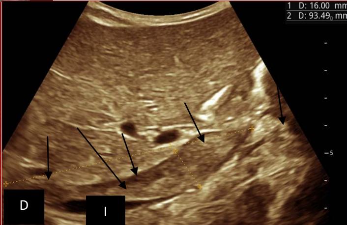
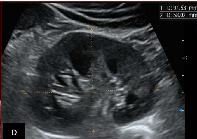
 Figure 8: Patient aged 6 years, referred for abdominal bloating, in whom we noted: Image A: illustrates a right endo and exo renal solid mass, in B mode, heterogeneous, interspersed with hypo, iso and hyperechoic areas.
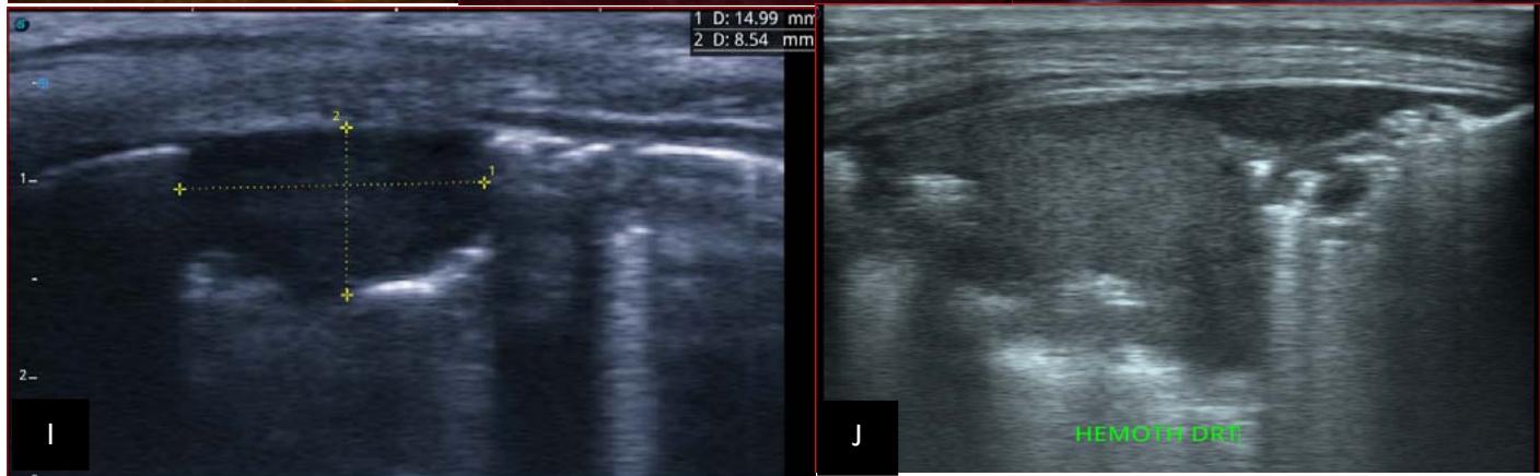
Images B and C: illustrate an echogenic thrombotic impregnation of the inferior vena cava. Images D-E-F: in B mode, illustrate pan-hepatic nodular lesions related to liver metastases Image G: in B mode illustrates hypoechoic coelio-mesenteric adenopathies. Images H-I: illustrates sub pleural lung parenchymal nodules in relation to lung metastases. Image J: in B mode, illustrating an echogenic pulmonary effusion, related to a hemothorax
Generating HTML Viewer...
References
26 Cites in Article
A Molua (1996). Contribution of radiology in the diagnosis of nephroblastoma.
V Laigle,Querat CT scan of renal tumors in children managed according to the SIOP protocol, Nantes retrospective study of 62 cases over 10 years.
A Collins,M Demarche,M Dresse,P Forget,J Lombet,P Jamblin (2009). Renal tumors in children. A single center study of 31 cases.
M-A Weidner (2015). Raising breast cancer awareness.
A Tahri,N Benchekroun,M Karkouri,Z Dahami,S Sahraoui,A Acharki,A Benider,S Squalli,S Benjelloun,A Kahlain (2001). Le néphroblastome de l'adulte. À propos de trois cas.
N Haouas,W Sahraoui,K Sridi (2005). Nephroblastoma of the adult.
M Gombé,J Godet,G Magueye Cancers in Francophone Africa.
Jason Axt,Fatmah Abdallah,Meridith Axt,Jessie Githanga,Erik Hansen,Joel Lessan,Ming Li,Joyce Musimbi,Michael Mwachiro,Mark Newton,James Ndung’u,Festis Njuguna,Ancent Nzioka,Oliver Oruko,Kirtika Patel,Robert Tenge,Flora Ukoli,Russel White,James O’neill,Harold Lovvorn (2013). Wilms tumor survival in Kenya.
A Doumbia,P Togo,T Fousseyni Management of nephroblastoma in Bamako: about 18 cases.
C Desvignes,A Aschero,B Bourlière-Najean,N Colavolpe,K Chaumoître,G Gorincour,P Petit (2013). SFIPP CO-02 - IRM de la torsion d’annexe en pédiatrie..
N Bianda,M Kazadi,J Mputu-Yamba (1993). Profile of abdominal masses in children and adolescents in Kinshasa.
M Luntala (1982). Elements of approach for the ideal treatment of Wilms' tumor at the University Clinics of Kinshasa.
K Kongolo (1990). Problematic of the treatment of nephroblastoma at the University Clinics of Kinshasa.
M Palangi (1987). Profil épidémiologique et anatomoclinique des tumeurs malignes solides de l'enfant Zaïrois.
M Kazadi (1994). Abdominal masses in children and adolescents at the University Clinics of Kinshasa.
(2019). Examen de spécialiste Hémato-Oncologie Pédiatrique.
Mlt Camara,S Bangoura,M Traore,A Traore,A Bah,A Tolno,F Diakite,M Kaba (2019). Aspects échographiques des anévrismes des fistules artério-veineuses chez les hémodialysés chroniques.
Akinfenwataoheed Atanda,Lofty-Johnchuhwuemeka Anyanwu,Oladoyinjareenat Atanda,Aminumohammad Mohammad,Lawalbarau Abdullahi,Aliyuumar Farinyaro (2015). Wilms′ tumour: Determinants of prognosis in an African setting.
M Moulot,M Ehua,K Agbara,J Kopoin,D Coulibaly,K Yao (2018). Nephroblastoma in pediatric surgery at chu de treichville (abidjan -cote d'ivoire).
A Kante (2017). Nephroblastoma in Mali: about a follow-up of 40 cases.
M Bouzhir,Clinical (2021). paraclinical, epidemiological and therapeutic aspects of nephroblastoma.
N Fofana (2012). Metastatic nephroblastoma at the pediatric oncology unit of CHU Gabriel Touré: clinical, radiological, therapeutic and evolutionary aspects.
Marie‐amelyne Le Rouzic,Ludovic Mansuy,Marie‐agnès Galloy,Jacqueline Champigneulle,Valérie Bernier,Pascal Chastagner (2019). Agreement between clinicoradiological signs at diagnosis and radiohistological analysis after neoadjuvant chemotherapy of suspected Wilms tumor rupture: Consequences on therapeutic choices.
C Roux (2020). Molecular classification of Wilms' Tumors by RNA-Seq analysis.
A Zrig (2014). Figure 1: Example of magnetic resonance imaging (MRI) data (Bakas et al., 2017a; Bakas et al., 2017b; Bakas et al., 2018; Clark et al., 2013; Menze et al., 2014), CC0: Public Domain)..
Tariq Ahbala,Mohamed Benchouk,Momamed Lamine Elmansouri,Wafaeait Belaid,Khalid Rabbani,Abdelouahed Louzi (2021). SMALL BOWEL OBSTRUCTION DUE TO MECKELS DIVERTICULUM IN ADULTS: CASE REPORT.
No ethics committee approval was required for this article type.
Data Availability
Not applicable for this article.
How to Cite This Article
Tshibasu Tshienda. 2026. \u201cUltra Sonographic Profile of Nephroblastoma at the University Clinics of Kinshasa\u201d. Global Journal of Medical Research - D: Radiology, Diagnostic GJMR-D Volume 23 (GJMR Volume 23 Issue D1).
Explore published articles in an immersive Augmented Reality environment. Our platform converts research papers into interactive 3D books, allowing readers to view and interact with content using AR and VR compatible devices.
Your published article is automatically converted into a realistic 3D book. Flip through pages and read research papers in a more engaging and interactive format.
Our website is actively being updated, and changes may occur frequently. Please clear your browser cache if needed. For feedback or error reporting, please email [email protected]
Thank you for connecting with us. We will respond to you shortly.