Md. Motiur Rahman et al. MLC Transmission and Dosimetric Leaf Gap Measurement Using CU Values from Integrated Images of Varian VitalBeam LINAC.
Dr. Sana Shaikh et al. Axillary Nodal Metastases – Prediction by Ultrasound and Digital Mammogram Features of Primary Breast Malignancy
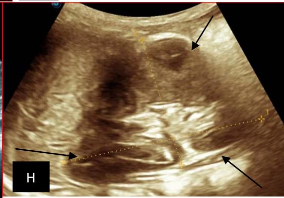
Tshibasu Tshienda et al. Ultra Sonographic Profile of Nephroblastoma at the University Clinics of Kinshasa
Pietro Pitrone et al. Cervical Lymphangiomas in Children: Non-Surgical Treatment with Focus on Sclerotherapy. Literature Review
Dr. Rohith Sandesari et al. The Comparision Study of Lung Computerised Tomography Severity Score and Vaccinations Status in COVID-19 Patients