Rafael Linard Avelar et al. Effect of Modified Palatoplasty on Velopharyngeal Closure Assessed by Nasopharyngoscopy and Hypernasality Test
Rafael Linard Avelar Evaluation of the Incidence and Risk Factors of Nausea and Postoperative Vomiting in Oral and Maxillofacial Surgeries
Cristhiane Amaral Down Syndrome – Trisomy of Chromosome 21: Medical Considerations, Physiological, and Oral Health Perspectives
Ana Beatriz Macedo Vieira Costa et al. Tooth Loss among Cancer Patients: Prevalence and Factors Associated with the Position and Number of Missing Teeth
Luan Carlos Miranda de Aquino et al. Evaluation of the Knowledge of Dentists from the State of Alagoas about the Preventive Means for Periodontal Disease
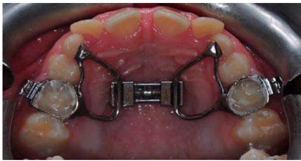
Kenan Ferati et al. Diagnosis and Orthodontic Treatment of Obstructive Sleep Apnea Syndrome Children—A Systematic Review