Harsh Bansal et al. Imaging Modalities for Preoperative Staging of Rectal Cancer in Developing Countries : A Comparative Study of F-FDG PET/CT And MRI
Cláudio Roberto Tavares Pereira Filho et al. Influence of Tooth Loss and Malocclusions on Condylar Position: Analysis by Cone Beam Computed Tomography
R.V. Yarmoshuk et al. Neuronavigation Assistance. Decreased Radiation Exposure during Spinal Surgery in Patients with Severe Combined Trauma
Md. Motiur Rahman et al. MLC Transmission and Dosimetric Leaf Gap Measurement Using CU Values from Integrated Images of Varian VitalBeam LINAC.
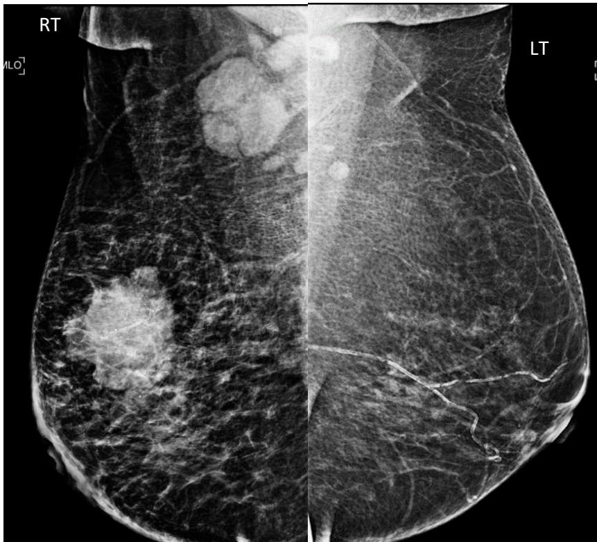
Dr. Sana Shaikh et al. Axillary Nodal Metastases – Prediction by Ultrasound and Digital Mammogram Features of Primary Breast Malignancy